Leishmania infantum

Lua error in Module:Autotaxobox at line 156: attempt to index a nil value.

Leishmania infantum
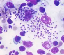
Several "Leishmania infantum" amastigotes in a bone marrow smear from a naturally infected dog
Several Leishmania infantum amastigotes in a bone marrow smear from a naturally infected dog
Scientific classification edit
Species:
[[Template:Taxonomy/Template:Speciesbox/getGenus]]Template:Taxon italics
Binomial name
[[Template:Taxonomy/Template:Speciesbox/getGenus]]Template:Taxon italics
Nicolle, 1908
Synonyms
  • Leishmania chagasi

Template:Speciesbox/parameterCheck

Leishmania infantum is the causative agent of infantile visceral leishmaniasis in the Mediterranean region[1] and in Latin America, where it has been called Leishmania chagasi.[2][3] It is also an unusual cause of cutaneous leishmaniasis,[4] which is normally caused by specific lineages (or zymodemes). Wild canids and domestic dogs are the natural reservoir of this organism. The sandfly species Lutzomyia longipalpis serves as the primary vector for the transmission of the disease.[5]

Leishmania infantum is closely related to Leishmania donovani, and some authors believe that these two species are so close as to actually be subspecies of each other;[6] however, phylogenetic analyses can easily distinguish between the two groups despite no difference in morphology in the species complex. Some isolates formerly labelled L. donovani may be actually L. infantum.[2][7]


Comparative bioinformatic analyses showed that the size of the L. infantum BRCA2 protein is approximately three times smaller (125 kD) than its human counterpart. Furthermore, analyses revealed that LiBRCA2 possesses key features of the BRCA2 family. The smaller size of the Leishmania BRCA2 DNA repair protein has been exploited to better understand its function in homologous recombination and its interaction with the LiRAD51 recombinase.[8]

References

  1. 1 2 Aoun, K.; Bouratbine, A. (2014). "Cutaneous Leishmaniasis in North Africa: a review". Parasite. 21: 14. doi:10.1051/parasite/2014014. PMC 3952656. PMID 24626301.
  2. 1 2 Lukeš J, et al. (2007). "Evolutionary and geographical history of the Leishmania donovani complex with a revision of current taxonomy". Proceedings of the National Academy of Sciences. 104 (22): 9375–80. Bibcode:2007PNAS..104.9375L. doi:10.1073/pnas.0703678104. PMC 1890502. PMID 17517634.
  3. Maurício IL, Stothard JR, Miles MA (May 2000). "The strange case of Leishmania chagasi". Parasitol. Today (Regul. Ed.). 16 (5): 188–9. doi:10.1016/S0169-4758(00)01637-9. PMID 10782075.
  4. BenSaid M, Guerbouj S, Saghrouni F, et al. (2006). "Occurrence of Leishmania infantum cutaneous leishmaniasis in central Tunisia". Transactions of the Royal Society of Tropical Medicine and Hygiene. 100 (6): 521–6. doi:10.1016/j.trstmh.2005.08.012. PMID 16356518.
  5. Alexander, Bruce; Lopes de Carvalho, Renata; McCallum, Hamish; Pereira, Marcos Horácio (December 2002). "Role of the Domestic Chicken (Gallus gallus)in the Epidemiology of Urban Visceral Leishmaniasis in Brazil"". Emerging Infectious Diseases. 8 (12): 1480–5. doi:10.3201/eid0812.010485. PMC 2738513. PMID 12498667.
  6. Le Blancq SM, Peters W (1986). "Leishmania in the Old World: 4. The distribution of L. donovani sensu lato zymodemes". Trans. R. Soc. Trop. Med. Hyg. 80 (3): 367–77. doi:10.1016/0035-9203(86)90320-2. PMID 3798531.
  7. Kuhls K, Mauricio IL, Pratlong F, Presber W, Schönian G (2005). "Analysis of ribosomal DNA internal transcribed spacer sequences of the Leishmania donovani complex". Microbes Infect. 7 (11–12): 1224–34. doi:10.1016/j.micinf.2005.04.009. PMID 16002315.
  8. Genois MM, Mukherjee A, Ubeda JM, Buisson R, Paquet E, Roy G, Plourde M, Coulombe Y, Ouellette M, Masson JY (August 2012). "Interactions between BRCA2 and RAD51 for promoting homologous recombination in Leishmania infantum". Nucleic Acids Res. 40 (14): 6570–84. doi:10.1093/nar/gks306. PMC 3413117. PMID 22505581.
This article is issued from Wmcloud. The text is licensed under Creative Commons - Attribution - Sharealike. Additional terms may apply for the media files.