Lunate dislocation

Lunate dislocation
Other names: Isolated lunate dislocation[1]
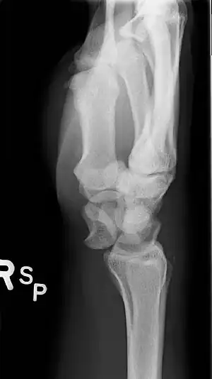
A lateral X-ray of the wrist showing a lunate dislocation
SpecialtyOrthopedics
SymptomsWrist pain and swelling[2]
ComplicationsMedian nerve injury[1]
CausesSignificant trauma, with bending back of the wrist[3]
Diagnostic methodX-rays[1]
Differential diagnosisPerilunate dislocation[3]
TreatmentJoint reduction followed by splinting, surgery[1]
FrequencyUncommon[2]

A lunate disclocation is a type of wrist dislocation where the lunate is rotated and out of place.[3] Symptoms include wrist pain and swelling.[2] It is variable whether or not the wrist appears abnormal.[2] Complications may include injury to the median nerve.[1]

The underlying cause generally involves significant trauma, with bending back of the wrist.[3] Diagnosis is generally by X-rays; though, up to 25% of the time they are missed.[1]

Management generally requires surgery.[4] Though, joint reduction followed by splinting may be carried out before surgery occurs.[2] Surgery may occur 3 to 5 days later as long as the radial nerve is normal and the join reduced.[1] In those who are treated rapidly, outcomes are generally reasonable, though osteoarthritis is common.[2]

A lunate dislocation is uncommon.[2] When it occurs, typically younger people are affected.[1] Early descriptions dates from the 1940s by Russell.[5][6]

Diagnosis

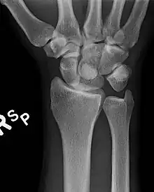
An AP Xray showing a lunate dislocation

References

  1. 1 2 3 4 5 6 7 8 "Lunate Dislocation". fpnotebook.com. Archived from the original on 3 December 2023. Retrieved 26 February 2024.
  2. 1 2 3 4 5 6 7 Bentley, TP; Hope, N; Journey, JD (January 2024). "Wrist Dislocation". PMID 29939534. {{cite journal}}: Cite journal requires |journal= (help)
  3. 1 2 3 4 Dixon, Andrew. "Lunate dislocation | Radiology Reference Article | Radiopaedia.org". Radiopaedia. Archived from the original on 21 September 2023. Retrieved 25 February 2024.
  4. "Lunate Dislocation". Core EM. Archived from the original on 25 February 2024. Retrieved 26 February 2024.
  5. Huang, C; You, D; Guo, W; Qu, W; Hu, Y; Li, R; Zhu, Z (July 2019). "First-stage scapholunate fusion for the treatment of a chronic lunate dislocation: A case report". Medicine. 98 (28): e16453. doi:10.1097/MD.0000000000016453. PMID 31305477.
  6. RUSSELL, TB (November 1949). "Inter-carpal dislocations and fracture-dislocations; a review of 59 cases". The Journal of bone and joint surgery. British volume. 31B (4): 524–31, illust. PMID 15397134.
This article is issued from Wmcloud. The text is licensed under Creative Commons - Attribution - Sharealike. Additional terms may apply for the media files.