Management of acute coronary syndrome

Management of acute coronary syndrome
Acute coronary syndromes are commonly caused by a blood clot forming on an atherosclerotic plaque in a coronary artery. Oxygen delivery to a part of heart muscle is blocked, eventually causing cell death.
Specialtycardiology

Management of acute coronary syndrome is targeted against the effects of reduced blood flow to the affected area of the heart muscle, usually because of a blood clot in one of the coronary arteries, the vessels that supply oxygenated blood to the myocardium. This is achieved with urgent hospitalization and medical therapy, including drugs that relieve chest pain and reduce the size of the infarct, and drugs that inhibit clot formation; for a subset of patients invasive measures are also employed (coronary angiography and percutaneous coronary intervention). Basic principles of management are the same for all types of acute coronary syndrome. However, some important aspects of treatment depend on the presence or absence of elevation of the ST segment on the electrocardiogram, which classifies cases upon presentation to either ST segment elevation myocardial infarction (STEMI) or non-ST elevation acute coronary syndrome (NST-ACS); the latter includes unstable angina and non-ST elevation myocardial infarction (NSTEMI). Treatment is generally more aggressive for STEMI patients, and reperfusion therapy is more often reserved for them. Long-term therapy is necessary for prevention of recurrent events and complications.[1]

General principles

Acute coronary syndromes are caused by sudden and critical reduction of blood flow in one of the coronary arteries, the vessels that supply oxygenated blood to the myocardium (heart muscle), typically by a blood clot. The principal symptom is typically chest pain, known as angina pectoris; people who present with angina must prompt evaluation for possible acute coronary syndrome.[2]

Acute coronary syndromes are classified to two major categories, according to the patient's electrocardiogram, and specifically the presence or absence of persistent (>20 min) ST segment elevation (or left bundle branch block).[2] Patients with acute coronary syndrome and ST elevation are said to have ST-elevation myocardial infarction (STEMI) and they tend to have one of their coronary arteries totally blocked.[3] Damage is reversible for approximately 20[4]-30[5] minutes after complete obstruction of blood flow; thereafter myocardial cell death ensues and progresses as time passes. Therefore, complete and sustained restoration of blood flow must be as prompt as possible to ensure maximum salvage of functional myocardium, a principle expressed in the maxim "time is muscle".[6] This is achieved with reperfusion therapy, which is based on invasive reopening of the affected coronary artery with primary percutaneous coronary intervention, or non-invasive breaking up of the responsible blood clot with a thrombolytic drug.[7]

Patients without ST segment elevation are said to have non-ST-elevation acute coronary syndrome and tend not to have full occlusion of a coronary artery. If there is evidence of myocardial cell death (especially elevated cardiac biomarkers) they are considered to have a non-ST-elevation myocardial infarction (NSTEMI); otherwise they are classified with unstable angina.[8] Their management is based on the estimation of their risk for adverse events. Patients at low risk can be adequately treated with medical therapy, in many ways similar to the one used for STEMI (but excluding thrombolytics). Those at moderate to high risk benefit from an early invasive strategy, which includes coronary angiography and, if necessary, revascularization with percutaneous coronary intervention or coronary artery bypass surgery.[9]

Medical therapy for acute coronary syndromes is based on drugs that act against ischemia and resultant angina and limit the infarct size (i.e., the area of myocardium that is affected), as well as drugs that inhibit clot formation. The latter include antiplatelet agents, which block the activation and aggregation of platelets (cellular blood components that contribute to clot formation), and anticoagulant agents (which attenuate the coagulation cascade). Long-term therapy in acute coronary syndrome survivors is targeted against recurrence and long-term complications (secondary prevention).[1]

Women are taken less seriously than men when they have a heart attack leading to higher mortality among women.[10]

Patient-dependent initial measures

Information card writing: "Heart Attack: Know the Symptoms. Take Action. Call 911" and depicting people holding their chest in pain
Information card published by the National Heart, Lung, and Blood Institute urging people with symptoms of angina to call the emergency medical services.

Because of the relationship between the duration of myocardial ischemia and the extent of damage to heart muscle, public health services encourage people experiencing possible acute coronary syndrome symptoms or those around them to immediately call emergency medical services.[11][12][13]

It is advised that the patients remain relaxed in a position that is comfortable for them. In case of heart attack,[14] the best position is not usually horizontal (lying down), but sitting down or sitting down with folded knees (but the patients would notice it by themselves).

Patients with known coronary artery disease who have been prescribed nitroglycerin should promptly take one dose, and call emergency medical services if their symptoms do not improve within 2–5 minutes. Taking aspirin is encouraged (unless there are contraindications),[15] chewable non-enteric-coated aspirin and effervescent aspirin dissolved into pieces act sooner.

Patients should not be transported to hospital by private vehicles instead of an ambulance, unless evacuation by land or air ambulance is impossible (e.g., dangerous weather in a very remote area), and if they must be, it should be done if possible with someone trained in cardiac first aid.

Health care professionals are responsible for teaching their patients at risk of acute coronary syndrome what the symptoms of this condition are, and that it is imperative to seek urgent medical attention in case they present.[16]

Emergency services

Emergency Medical Services (EMS) Systems vary considerably in their ability to evaluate and treat patients with suspected acute myocardial infarction. Some provide as little as first aid and early defibrillation. Others employ highly trained paramedics with sophisticated technology and advanced protocols.[17] Paramedic services are capable of providing oxygen, IV access, sublingual nitroglycerine, morphine, and aspirin. Some advanced paramedic systems can also perform 12-lead ECGs.[18] If a STEMI is recognized the paramedic may be able to contact the local PCI hospital and alert the emergency room physician, and staff of the suspected AMI. Some Paramedic services are capable of providing thrombolytic therapy in the prehospital setting, allowing reperfusion of the myocardium.[19][20]

With primary PCI emerging as the preferred therapy for ST-segment elevation myocardial infarction, EMS can play a key role in reducing door-to-balloon intervals (the time from presentation to a hospital ER to the restoration of coronary artery blood flow) by performing a 12-lead ECG in the field and using this information to triage the patient to the most appropriate medical facility.[21][22][23][24] In addition, the 12-lead ECG can be transmitted to the receiving hospital, which enables time saving decisions to be made prior to the arrival of the patient. This may include a "cardiac alert" or "STEMI alert" that calls in off duty personnel in areas where the cardiac cath lab is not staffed 24 hours a day.[25] Even in the absence of a formal alerting program, prehospital 12-lead ECGs are independently associated with reduced door to treatment intervals in the emergency department.[26]

Initial diagnostic approach

Typical electrocardiogram of an ST segment elevation myocardial infarction. ST elevation in leads I, aVL and V1-V5 indicates an anterior wall myocardial infarction and is shown in orange; reciprocal ST depression in leads II, III and aVF is shown in blue.

In patients with symptoms typical of myocardial ischemia an electrocardiogram must be immediately obtained - e.g., within 10 minutes from first contact with medical or paramedical personnel, including prehospital setting; the electrocardiographic findings will guide the subsequent management. Patients with elevation of the ST segment (or presumed new left bundle branch block) are treated based on guidelines for ST elevation myocardial infarction (STEMI) and must undergo reperfusion therapy as soon as possible. Serum cardiac biomarkers are routinely obtained and their elevation is necessary for confirming diagnosis of myocardial infarction;[27] however, reperfusion must not be delayed by waiting for the results. Patients without the above findings are initially classified with non ST elevation acute coronary syndrome, and subsequent cardiac biomarker results will differentiate between true non ST elevation myocardial infarction (NSTEMI) and unstable angina.[28][29][30]

Relief of angina

Relief of the pain of angina is of paramount importance, not only for humane reasons but because the pain is associated with sympathetic activation that causes vasoconstriction and increases the workload of the heart.[28] The pain of myocardial ischemia is likely to respond to any intervention that improves the relationship between oxygen demand and supply, like nitrates, beta blockers and oxygen.[31]

Nitrates

Nitrates, like nitroglycerin, dilate blood vessels, which is beneficial against myocardial ischemia in two ways: By increasing blood flow in the coronary arteries and the amount of oxygen that arrives to heart muscle; and by relaxing all blood vessels in the body, thereby reducing the workload that heart needs to produce against them and the oxygen it consumes. The preferred mode of administration is sublingually. By relaxing blood vessels nitrates also reduce blood pressure, which must be carefully monitored; they must not be used if hypotension is present. They must also be avoided in patients who have taken sildenafil or other phosphodiesterase type 5 inhibitors (used for erectile dysfunction) within the previous 24–48 hours, as the combination of the two could cause a serious drop in blood pressure.[31][32][33] Intravenous nitrates are useful in patients with hypertension or pulmonary edema.[34]

Beta blockers

By reducing sympathetic stimulation of the heart, beta blockers decrease heart rate, blood pressure and cardiac output, and hence heart oxygen consumption. Beta-blockers alleviate ischemic pain, and have also been proved to reduce the size of infarcted heart muscle, the risk of arrhythmias, and the proportion of patients with acute coronary syndrome who actually evolve STEMI. However, they have also been shown to increase the risk of acute heart failure. Their early use is contraindicated if there are signs of congestive heart failure (e.g., Killip class II or above) or hypotension, along with other contraindications to beta blockers (slow heart rate, atrioventricular block); in the absence of contraindications beta blocker therapy should begin in the first 24 hours. It may be prudent to prefer oral rather than intravenous forms.[35]

Oxygen therapy

Initial administration of oxygen to all patients with acute coronary syndrome is common practice; however, there is no evidence to support or refute that supplemental oxygen might be harmful or beneficial for cardiac patients who do not need it.[36] It is currently recommended to give oxygen only to breathless patients or when blood oxygen saturation is low, e.g. <90%.[31][37]

Analgesics

Analgesic agents that are most commonly used are opioids, and especially morphine, which is considered the analgesic of choice in patients with ST elevation. Along with its pain-controlling properties, morphine also reduces the work of breathing, alleviates breathlessness, reduces anxiety and has favorable action on hemodynamic parameters and cardiac oxygen consumption.[31][38][39] However, in patients presenting without ST elevation, morphine has been shown to have adverse events potential, and its use is considered acceptable only after inadequate pain relief by medication specific against angina.[40] Non-steroidal anti-inflammatory drugs are contraindicated for both categories of patients.[40][41]

Antiplatelet drugs

All patients with acute coronary syndrome must immediately receive antiplatelet therapy, including aspirin and generally a second oral antiplatelet agent.[42] Bleeding is the most important side-effect of antiplatelets.

Aspirin

Aspirin inhibits platelet aggregation and formation of blood clots. It is effective across the entire spectrum of acute coronary syndromes; it has been shown to reduce the rate of death in patients with STEMI and in patients presenting without ST elevation. Aspirin is contraindicated in patients with documented allergy or known platelet disorder. Patients who have had gastrointestinal symptoms while on long-term aspirin therapy are usually able to tolerate aspirin in the short term. For patients with true intolerance to aspirin clopidogrel is recommended. Lower doses need days to achieve full antiplatelet effect, therefore a loading dose is necessary for patients who are not already on aspirin.[43]

P2Y12 inhibitors

Aside from aspirin, three antiplatelet agents taken by mouth have been approved for use in acute coronary syndromes, clopidogrel, ticagrelor and prasugrel; all reduce platelet aggregation by inhibiting the P2Y12 receptor, a type of adenosine phosphate receptor, on the surface of platelets. Not all three of them are equally indicated in all types of acute coronary syndromes. In patients with ST elevation the choice of P2Y12 inhibitor depends on reperfusion strategy; for patients undergoing primary percutaneous coronary intervention ticagrelor and prasugrel are considered superior to clopidogrel, as they are more potent and have more rapid onset of action, at the cost of some increase in bleeding risk; for STEMI patients who are treated with fibrinolysis and those who do not undergo reperfusion treatment only clopidogrel is indicated. Prasugrel must not be given to patients with a history of ischemic stroke or aged 75 years or older. In patients with non-ST elevation acute coronary syndrome current guidelines also recommend immediate administration of dual antiplatelet therapy upon diagnosis; clopidogrel and ticagrelor are indicated in this setting, with ticagrelor considered superior for patients undergoing early invasive strategy (see later). However, emerging evidence questions this strategy.[44] As with aspirin, it is necessary to administer a loading dose.[45][46]

Glycoprotein IIb/IIIa inhibitors

Glycoprotein IIb/IIIa inhibitors are a class of intravenous antiplatelet agents used in patients undergoing percutaneous coronary intervention, consisting of abciximab, eptifibatide and tirofiban. Patients presenting with ST elevation that will be reperfused with percutaneous coronary intervention may receive one of the above agents at the time of catheterization, or perhaps before. Administering eptifibatide or tirofiban may also be reasonable in patients presenting with NST-ACS who are considered of intermediate or high risk and are treated with early invasive strategy.[47][48]

Anticoagulants

Anticoagulants in acute coronary syndrome are targeted against the coronary blood clot, as well as towards prevention of thrombotic complications, like formation of blood clots in the ventricles, stroke, pulmonary embolism or deep vein thrombosis.[49] Patients undergoing PCI also need an anticoagulant to prevent catheter thrombosis. Options include unfractionated heparin, enoxaparin (a low molecular weight heparin), fondaparinux (a pentasaccharide antagonist of factor Xa) and bivalirudin (a direct thrombin inhibitor); all the above agents are given parenterally (subcutaneously or intravenously). Unfractionated heparin has the disadvantage of requiring dose adjustment based on a laboratory exam, activated partial thromboplastin time (APTT). In STEMI patients choice depends on the reperfusion strategy used (see below); bivalirudin is used when PCI is employed only, while in the same case fondaparinux is not preferred.[50] Similarly, in Non-STE ACS bivalirudin too is only used when an early invasive strategy is chosen.[51]

Reperfusion

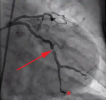
caption
Coronary angiography of a patient with acute myocardial infarction presenting with ST elevation and undergoing primary percutaneous coronary intervention; arrow points at partial occlusion of left circumflex coronary artery; star indicates tip of the guide wire that has been inserted in the artery through the occlusion.
caption
Coronary angiography of the same patient, after dilation of the artery with balloon and placement of stent. The occlusion has been successfully treated.[52]

The concept of reperfusion has become so central to the modern treatment of acute myocardial infarction, that we are said to be in the reperfusion era.[53][54] Patients who present with suspected acute myocardial infarction and ST segment elevation (STEMI) or new bundle branch block on the 12 lead ECG are presumed to have an occlusive thrombosis in an epicardial coronary artery. They are therefore candidates for immediate reperfusion, either with thrombolytic therapy, percutaneous coronary intervention (PCI) or when these therapies are unsuccessful, bypass surgery.

Individuals without ST segment elevation are presumed to be experiencing either unstable angina (UA) or non-ST segment elevation myocardial infarction (NSTEMI). They receive many of the same initial therapies and are often stabilized with antiplatelet drugs and anticoagulated. If their condition remains (hemodynamically) stable, they can be offered either late coronary angiography with subsequent restoration of blood flow (revascularization), or non-invasive stress testing to determine if there is significant ischemia that would benefit from revascularization. If hemodynamic instability develops in individuals with NSTEMIs, they may undergo urgent coronary angiography and subsequent revascularization. The use of thrombolytic agents is contraindicated in this patient subset, however.[55]

The basis for this distinction in treatment regimens is that ST segment elevations on an ECG are typically due to complete occlusion of a coronary artery. On the other hand, in NSTEMIs there is typically a sudden narrowing of a coronary artery with preserved (but diminished) flow to the distal myocardium. Anticoagulation and antiplatelet agents are given to prevent the narrowed artery from occluding.

At least 10% of patients with STEMI do not develop myocardial necrosis (as evidenced by a rise in cardiac markers) and subsequent Q waves on EKG after reperfusion therapy. Such a successful restoration of flow to the infarct-related artery during an acute myocardial infarction is known as "aborting" the myocardial infarction. If treated within the hour, about 25% of STEMIs can be aborted.[56]

Rehabilitation

Additional objectives are to prevent life-threatening arrhythmias or conduction disturbances. This requires monitoring in a coronary care unit and protocolized administration of antiarrhythmic agents. Antiarrhythmic agents are typically only given to individuals with life-threatening arrhythmias after a myocardial infarction and not to suppress the ventricular ectopy that is often seen after a myocardial infarction.[57][58][59]

Cardiac rehabilitation aims to optimize function and quality of life in those affected by a heart disease. This can be with the help of a physician, or in the form of a cardiac rehabilitation program.[60]

Physical exercise is an important part of rehabilitation after a myocardial infarction, with beneficial effects on cholesterol levels, blood pressure, weight, stress and mood.[60] Some patients become afraid of exercising because it might trigger another infarct.[61] Patients are encouraged to exercise, and should only avoid certain exerting activities. Local authorities may place limitations on driving motor vehicles.[62] In most cases, the advice is a gradual increase in physical exercise during about 6–8 weeks following an MI.[63] If it doesn't feel too hard for the patient, the advice about exercise is then the same as applies to anyone else to gain health benefits, that is, at least 20–30 minutes of moderate exercise on most days (at least five days per week) to the extent of getting slightly short of breath.[63]

Some people are afraid to have sex after a heart attack. Most people can resume sexual activities after 3 to 4 weeks. The amount of activity needs to be dosed to the patient's possibilities.[64]

Special cases

Cocaine

Cocaine associated myocardial infarction should be managed in a manner similar to other patients with acute coronary syndrome, except that beta blockers should not be used and benzodiazepines should be administered early.[65] The treatment itself may have complications. If attempts to restore the blood flow are initiated after a critical period of only a few hours, the result may be a reperfusion injury instead of amelioration.[66]

Wilderness setting

In wilderness first aid, a possible heart attack justifies evacuation by the fastest available means, often meaning the initiation of a MEDEVAC. The suspicion or provisional diagnosis of an MI means that it is inappropriate for the patient to walk out of the wilderness setting and will require them to be carried or conveyed in a vehicle. Aspirin, nitroglycerin, and oxygen can all be given with relative ease in a wilderness setting and should be administered as soon as possible in suspected cases of MI. Wilderness management of cardiac arrest differs slightly from that carried out in an urban setting in that it is generally considered acceptable to terminate a resuscitation attempt after 30 minutes if there has been no change in the patient's condition.

Air travel

Certified personnel traveling by commercial aircraft may be able to assist an MI patient by using the on-board first aid kit, which may contain some cardiac drugs (such as glyceryl trinitrate spray, aspirin, or opioid painkillers), an AED,[67] and oxygen. Pilots may divert the flight to land at a nearby airport. Cardiac monitors are being introduced by some airlines, and they can be used by both on-board and ground-based physicians.[68]

References

  1. 1 2 Current management of acute coronary syndrome is based on guidelines, produced by national and international medical societies according to the principles of evidence-based medicine. Examples are the guidelines of the American Heart Association and American College of Cardiology (O'Gara 2013, Amsterdam 2014) and those of the European Society of Cardiology (Steg 2012, Hamm 2011).
  2. 1 2 Hamm 2011, p. 3004.
  3. Antman EM (2012a). "Chapter 54. ST-segment elevation myocardial infarction: Pathology, pathophysiology, and clinical features". In Bonow RO, Mann DL, Zipes DP, Libby P (eds.). Braunwald's heart disease: A textbook of cardiovascular medicine (9th ed.). Saunders. pp. 1087–1110. ISBN 978-0-8089-2436-4., p. 1092
  4. Canty J Jr (2012). "Chapter 52. Coronary blood flow and myocardial ischemia". In Bonow RO, Mann DL, Zipes DP, Libby P (eds.). Braunwald's heart disease: A textbook of cardiovascular medicine (9th ed.). Saunders. pp. 1049–1055. ISBN 978-0-8089-2436-4.
  5. Schoen, FJ (2010). "The heart". In Kumar, V.; Abbas, A.K.; Fausto, N.; Aster, J. (eds.). Robbins and Cotran pathologic basis of disease (8th ed.). Saunders. pp. 529–587. ISBN 978-1-4160-3121-5.. Cited in Antman 2012a, p. 1093
  6. See:
  7. Antman 2012b, p. 1118.
  8. Cannon 2012, p. 1178.
  9. Cannon 2012, p. 1194.
  10. Heart attack care dangerously unequal for women, study finds BBC
  11. Faxon, D; Lenfant, C (2001). "Timing is everything. Motivating patients to call 9-1-1 at onset of acute myocardial infarction". Circulation. 104 (11): 1210–1211. doi:10.1161/circ.104.11.1210. PMID 11551867.
  12. "What is a heart attack". National Institutes of Health. National Heart, Lung, and Blood Institute. Retrieved 30 September 2014.
  13. "Heart attack - Symptoms". National Health Service. Retrieved 22 December 2014.
  14. HealthCentral (2024-03-12). "Best Position to Be in During a Heart Attack". web.archive.org. Retrieved 2024-04-03.
  15. O'Gara 2013, p. e369.
  16. Antman 2012b, p. 1111.
  17. Antman EM, Anbe DT, Armstrong PW, et al. (August 2004). "ACC/AHA guidelines for the management of patients with ST-elevation myocardial infarction--executive summary. A report of the American College of Cardiology/American Heart Association Task Force on Practice Guidelines (Writing Committee to revise the 1999 guidelines for the management of patients with acute myocardial infarction)". J. Am. Coll. Cardiol. 44 (3): 671–719. doi:10.1016/j.jacc.2004.07.002. PMID 15358045.
  18. Alberta Occupational Competency Profile EMT Paramedic Archived 2011-10-05 at the Wayback Machine. Alberta College Of Paramedics. Updated January 2007, Retrieved June 29, 2011.
  19. Morrow DA, Antman EM, Sayah A, et al. (July 2002). "Evaluation of the time saved by prehospital initiation of reteplase for ST-elevation myocardial infarction: results of The Early Retavase-Thrombolysis in Myocardial Infarction (ER-TIMI) 19 trial". J. Am. Coll. Cardiol. 40 (1): 71–7. doi:10.1016/S0735-1097(02)01936-8. PMID 12103258.
  20. Morrison LJ, Verbeek PR, McDonald AC, Sawadsky BV, Cook DJ (2000). "Mortality and prehospital thrombolysis for acute myocardial infarction: A meta-analysis". JAMA. 283 (20): 2686–92. doi:10.1001/jama.283.20.2686. PMID 10819952. S2CID 20363018.
  21. Rokos IC, Larson DM, Henry TD, et al. (2006). "Rationale for establishing regional ST-elevation myocardial infarction receiving center (SRC) networks". Am. Heart J. 152 (4): 661–7. doi:10.1016/j.ahj.2006.06.001. PMID 16996830.
  22. Moyer P, Feldman J, Levine J, et al. (June 2004). "Implications of the Mechanical (PCI) vs Thrombolytic Controversy for ST Segment Elevation Myocardial Infarction on the Organization of Emergency Medical Services: The Boston EMS Experience". Crit Pathw Cardiol. 3 (2): 53–61. doi:10.1097/01.hpc.0000128714.35330.6d. PMID 18340140.
  23. Terkelsen CJ, Lassen JF, Nørgaard BL, et al. (April 2005). "Reduction of treatment delay in patients with ST-elevation myocardial infarction: impact of pre-hospital diagnosis and direct referral to primary percutanous coronary intervention". Eur. Heart J. 26 (8): 770–7. doi:10.1093/eurheartj/ehi100. PMID 15684279.T
  24. Henry TD, Atkins JM, Cunningham MS, et al. (April 2006). "ST-segment elevation myocardial infarction: recommendations on triage of patients to heart attack centers: is it time for a national policy for the treatment of ST-segment elevation myocardial infarction?". J. Am. Coll. Cardiol. 47 (7): 1339–45. doi:10.1016/j.jacc.2005.05.101. PMID 16580518.
  25. Rokos I. and Bouthillet T., "The emergency medical systems-to-balloon (E2B) challenge: building on the foundations of the D2B Alliance," Archived 2007-08-09 at the Wayback Machine STEMI Systems, Issue Two, May 2007. Accessed June 16, 2007.
  26. Cannon, Christopher (1999). Management of acute coronary syndromes. Totowa, NJ: Humana Press. ISBN 978-0-89603-552-2.
  27. Thygesen, K; Alpert, JS; Jaffe, AS; Simoons, ML; Chaitman, BR; White, HD (2012). "Third universal definition of myocardial infarction". European Heart Journal. 33 (20): 2551–2567. doi:10.1093/eurheartj/ehs184. PMID 22922414.p. 2553
  28. 1 2 Steg 2012, p. 2574.
  29. Amsterdam 2014, p. 14.
  30. O'Gara 2013, p. e370.
  31. 1 2 3 4 Antman 2012b, p. 1116.
  32. Cannon 2012, p. 1185.
  33. Cheitlin, MD; Hutter, AM Jr; Brindis, RG; et al. (1999). "Use of Sildenafil (Viagra) in Patients With Cardiovascular Disease". Circulation. 99 (1): 168–177. doi:10.1161/01.CIR.99.1.168. PMID 9884398.
  34. Steg 2012, p. 2598.
  35. See:
  36. Cabello, Juan B.; Burls, Amanda; Emparanza, José I.; Bayliss, Susan E.; Quinn, Tom (2016). "Oxygen therapy for acute myocardial infarction". The Cochrane Database of Systematic Reviews. 2016 (12): CD007160. doi:10.1002/14651858.CD007160.pub4. ISSN 1469-493X. PMC 6463792. PMID 27991651.
  37. Amsterdam 2014, p. 30.
  38. Steg 2012, p. 2576.
  39. Hilal-Dandan, R; Brunton, L (2013). Goodman and Gilman Manual of Pharmacology and Therapeutics (2nd ed.). McGraw-Hill Professional. p. 291. ISBN 978-0-07-176917-4.
  40. 1 2 Amsterdam 2014, p. 31.
  41. O'Gara 2013, p. e391.
  42. Opie, LH; Garsh BJ (2013). Drugs for the heart (8th ed.). Elsevier Saunders. pp. 471–472. ISBN 978-1-4557-3322-4.
  43. See:
  44. Bellemain-Appaix, A; Kerneis, M; O'Connor, SA; et al. (2014). "Reappraisal of thienopyridine pretreatment in patients with non-ST elevation acute coronary syndrome: a systematic review and meta-analysis". BMJ. 349: g6269. doi:10.1136/bmj.g6269. PMC 4208629. PMID 25954988.
  45. Amsterdam 2014, p. 37-40.
  46. Steg 2012, p. 2583-2584, 2587-2588, 2591.
  47. O'Gara 2013, p. 377-378.
  48. Amsterdam 2014, p. 38.
  49. Antman 2012b, p. 1029.
  50. Steg 2012, p. 2584-5, 2587-91.
  51. Amsterdam 2014, p. 41-43.
  52. Tödt, T; Maret, E; Alfredsson, J; et al. (2012). "Relationship between treatment delay and final infarct size in STEMI patients treated with abciximab and primary PCI". BMC Cardiovasc Disord. 12 (9): 9. doi:10.1186/1471-2261-12-9. PMC 3359186. PMID 22361039.
  53. Lee KL, Woodlief LH, Topol EJ, et al. (1995). "Predictors of 30-Day Mortality in the Era of Reperfusion for Acute Myocardial Infarction". Circulation. 91 (6): 1659–1668. doi:10.1161/01.cir.91.6.1659. hdl:1765/5495. PMID 7882472.
  54. Stone GW, Grines CL, Browne KF, et al. (1995). "Predictors of in-hospital and 6-month outcome after acute myocardial infarction in the reperfusion era: the Primary Angioplasty in Myocardial Infarction (PAMI) trail". J Am Coll Cardiol. 25 (2): 370–377. doi:10.1016/0735-1097(94)00367-Y. PMID 7829790.
  55. Fibrinolytictherapytrialistsf (February 1994). "Indications for fibrinolytic therapy in suspected acute myocardial infarction: collaborative overview of early mortality and major morbidity results from all randomised trials of more than 1000 patients. Fibrinolytic Therapy Trialists' (FTT) Collaborative Group". Lancet. 343 (8893): 311–22. doi:10.1016/s0140-6736(94)91161-4. PMID 7905143.
  56. Verheugt FW, Gersh BJ, Armstrong PW (2006). "Aborted myocardial infarction: a new target for reperfusion therapy". Eur Heart J. 27 (8): 901–4. doi:10.1093/eurheartj/ehi829. PMID 16543251.
  57. Echt DS, Liebson PR, Mitchell LB, Peters RW, Obias-Manno D, Barker AH, Arensberg D, Baker A, Friedman L, Greene HL, et al. (1991). "Mortality and morbidity in patients receiving encainide, flecainide, or placebo. The Cardiac Arrhythmia Suppression Trial". N Engl J Med. 324 (12): 781–8. doi:10.1056/NEJM199103213241201. PMID 1900101.
  58. Waldo AL, Camm AJ, deRuyter H, Friedman PL, MacNeil DJ, Pauls JF, Pitt B, Pratt CM, Schwartz PJ, Veltri EP (1996). "Effect of d-sotalol on mortality in patients with left ventricular dysfunction after recent and remote myocardial infarction. The SWORD Investigators. Survival With Oral d-Sotalol". Lancet. 348 (9019): 7–12. doi:10.1016/S0140-6736(96)02149-6. PMID 8691967. S2CID 21284044.
  59. Julian DG, Camm AJ, Frangin G, Janse MJ, Munoz A, Schwartz PJ, Simon P (1997). "Randomised trial of effect of amiodarone on mortality in patients with left-ventricular dysfunction after recent myocardial infarction: EMIAT. European Myocardial Infarct Amiodarone Trial Investigators". Lancet. 349 (9053): 667–74. doi:10.1016/S0140-6736(96)09145-3. PMID 9078197. S2CID 24212782.
  60. 1 2 Life after a Heart Attack. U.S. National Heart, Lung and Blood Institute. Retrieved December 2, 2006.
  61. Trisha Macnair. Recovering after a heart attack. BBC, December 2005. Retrieved December 2, 2006.
  62. "Classification of Drivers' Licenses Regulations". Nova Scotia Registry of Regulations. May 24, 2000. Retrieved April 22, 2007.
  63. 1 2 Patient UK > After a Myocardial Infarction Archived 2010-07-22 at the Wayback Machine Reviewed: 19 May 2010
  64. "Heart Attack: Getting Back Into Your Life After a Heart Attack Archived 2008-07-24 at the Wayback Machine". American Academy of Family Physicians, updated March 2005. Retrieved December 4, 2006.
  65. McCord J, Jneid H, Hollander JE, et al. (April 2008). "Management of cocaine-associated chest pain and myocardial infarction: a scientific statement from the American Heart Association Acute Cardiac Care Committee of the Council on Clinical Cardiology". Circulation. 117 (14): 1897–907. doi:10.1161/CIRCULATIONAHA.107.188950. PMID 18347214.
  66. Faxon DP (November 2005). "Coronary interventions and their impact on post myocardial infarction survival". Clinical Cardiology. 28 (11 Suppl 1): I38–44. doi:10.1002/clc.4960281307. PMC 6654328. PMID 16450811.
  67. Youngwith, Janice (2008-02-06). "Saving hearts in the air". Dailyherald.com. Retrieved 2008-06-12.
  68. Dowdall N (November 2000). ""Is there a doctor on the aircraft?" Top 10 in-flight medical emergencies". BMJ (Clinical Research Ed.). 321 (7272): 1336–7. doi:10.1136/bmj.321.7272.1336. PMC 1119071. PMID 11090520.

Selected cited works

This article is issued from Wmcloud. The text is licensed under Creative Commons - Attribution - Sharealike. Additional terms may apply for the media files.