Mediastinal shift
| Mediastinal shift | |
|---|---|
![]() | |
| Left tension pneumothorax with a large, well-demarcated area devoid of lung markings with tracheal deviation and movement of the heart away from the affected side. |
Mediastinal shift is an abnormal movement of the mediastinal structures toward one side of the chest cavity. A shift indicates a severe imbalance of pressures inside the chest.[1] Mediastinal shifts are generally caused by increased lung volume, decreased lung volume, or abnormalities in the pleural space. Additionally, masses inside the mediastinum or musculoskeletal abnormalities can also lead to abnormal mediastinal arrangement.[2] Typically, these shifts are observed on x-ray but also on computed tomography (CT) or magnetic resonance imaging (MRI). On chest x-ray, tracheal deviation, or movement of the trachea away from its midline position can be used as a sign of a shift. Other structures like the heart can also be used as reference points.[3][4] Below are examples of pathologies that can cause a mediastinal shift and their appearance.
Pleural space abnormalities
Tension pneumothorax
Tension pneumothorax is an emergent condition in which air gets trapped in the space between the chest wall and the lung. This space is referred to as the pleural space. Because air can't escape from this space, the pocket of air grows larger and larger which results in collapse of the lung closest to the pneumothorax. Forces are transmitted to the mediastinum and effectively "push" the mediastinal structures to the opposite side of the chest. [5]
Pleural effusion
.jpg.webp)
A pleural effusion is an accumulation of fluid inside the pleural space. If this collection of fluid gets large enough, it can also push structures in the chest away from it and cause a mediastinal shift. However, a pleural effusion can also pull mediastinal structure towards itself. If this is the case, then there is an underlying condition causing collapse of the lung on that side. An example is a tumor obstructing a bronchus and causing lung collapse and pleural effusion.[3]
Hemothorax

Hemothorax, or accumulation of blood in the pleural space can result from trauma or surgical procedures in the chest. This accumulation of blood can grow large enough to compress the lung and push away other structures in the chest, thus causing a mediastinal shift.[6] On a chest x-ray, a hemothorax can appear similarly to a pleural effusion with blunting of the pleural recess and white out of normal lung zones.[7] In the setting of traumatic chest injury, rib fractures are also commonly observed on x-ray. [8]
Empyema

An empyema is a collection of pus inside the pleural cavity. It is a complication of pneumonia or thoracic injury or surgery and also requires urgent diagnosis and treatment.[9] Radiographic appearance is similar to that of a pleural effusion with costophrenic angle blunting and white out of lung zones. CT imaging is necessary to evaluate the structure of the empyema and evaluate for loculation or separation of the pus into different compartments.[10] Finally, ultrasound is becoming a more commonly used imaging technique to evaluate an empyema. Ultrasound is more readily available at the bedside, is better at detecting pleural effusion, and can be used to guide thoracentesis to remove the empyema.[11]
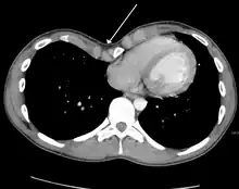
Masses
.jpg.webp)
Masses such as tumors can also cause compression and displacement of mediastinal structures. There are various mediastinal tumors and they are classified by their location in the chest. Notable examples include germ cell tumors and lymphomas.[12] Teratomas are a class of germ cell tumors that arise in the chest due to failure of germ cell migration during development. They can expand to large sizes and cause hemopytsis and pleural effusion. Radiographic features of teratomas typically include fluid and fat but also muscle, teeth, and bones inside the mass.[13]
Decreased lung volume
Atelectasis

Atelectasis is partial or collapse of a lung that is reversible. There are numerous etiologies including post-operative atelectasis, surfactant deficiency, mucus plugging, and foreign body aspiration. Notably, post-operative atelectasis is thought to be caused by general anesthesia administration. Collapse of the affected lung shifts mediastinal structure towards the same side and can be observed on chest x-ray or CT. Radiographic features include increased opacification of collapsed lung and/or tracheal shift.[14]
Pulmonary hypoplasia

Fetal conditions can also cause mediastinal shift during development. For example, pulmonary hypoplasia is the underevelopment of a lung due to various etiologies. These include agenesis due to gene mutation, fetal hydrothorax, and congenital diaphragmatic hernia. These conditions lead to incomplete development lung tissue or hypoplasia. This can be unilateral or bilateral and is seen on x-ray as a mediastinal shift towards the side of the underdeveloped lung.[15][16] Additionally, mediastinal shifts can also be detected using antenatal ultrasonography.[17]
Pectus excavatum


This condition is often referred to as "funnel chest" and is observed as depression of the anterior chest at the xiphisternum. Pectus excavatum is commonly unilateral and therefore can lead to asymmetric distribution of thoracic organs. Therefore, a mediastinal shift can be seen in severe cases. Radiographic features include a leftward deviation of the heart and deformed third to seventh ribs. Patients often present with exercise tolerance, cardiac arrythmias, and heart murmur.[18]
Post-operative changes

A pneumonectomy is a surgical procedure in which an entire lung is removed. A common reason for performing this procedure is for lung cancer originating in the lung itself.[19] This leads to a mediastinal shift towards the empty side of the thorax. Notably, patients can experience postpneumoectomy syndrome due to a severe mediastinal shift. This presents as difficulty breathing due to shift of airways and rotation of the heart and great vessels. On x-ray, white out of the operated side and hyperinflation of the remaining lung is often observed.[20]
Increased lung volume
Foreign body aspiration

Foreign body aspiration is a major cause death in young children due their underdeveloped swallowing coordination. Young children most commonly ingest toys, coins, or food.[21] On chest x-ray, the most frequent sign is air trapping that can lead to a mediastinal shift. Atelectasis and pneumothorax may also occur in the setting of foreign body aspiration. The diagnosis is made in conjunction with clinical symptoms and confirmed and treated with bronchoscopy. [22]
Asymmetric bullous emphysema

Bullous emphysema is a condition seen in patients with chronic obstructive pulmonary disease (COPD). The units making up the substructre of the lung (alveoli) become permanently enlarged due to destruction of their walls. This leads to hyperinflation of the alveoli and thus the lungs. When this occurs asyemmetrically, one lung can be larger than the other.[23] A severe variant of this condition is called giant bullous emphysema. On chest x-ray, one lung will be significantly more inflated than the other, causing a mediastinal shift. Bullous emphysema's radiographic appearance on x-ray mimics a tension pneumothorax. This presents a medical challenge as these diseases are treated differently despite appearing similarly on x-ray.[24] [25]
Congenital pulmonary airway malformation

Congenital pulmonary airway malformation (CPAM), is a rare disease in which the lung airways develop abnormally in the fetus. This leads to infants having pockets of air and cystic masses in their lungs. These can expand in size and cause a mediastinal shift, especially in the higher grades of CPAM. Diagnosis is usually made on ultrasound and can supplemented with x-ray, CT, or MRI to further define the malformation. On chest x-ray, CPAM has varying appearances but may look like "bubbles" within the lung fields.[26]
References
- ↑ Reed, James C. (2018). Chest radiology: patterns and differential diagnoses (Seventh ed.). Philadelphia, PA: Elsevier. ISBN 9780323510219. OCLC 1012134513.
- ↑ "Mediastinal Position". www.meddean.luc.edu. Retrieved 2024-02-21.
- 1 2 Khajotia, R. (2012). "Respiratory Clinics: MEDIASTINAL SHIFT: A SIGN OF SIGNIFICANT CLINICAL AND RADIOLOGICAL IMPORTANCE IN DIAGNOSIS OF MALIGNANT PLEURAL EFFUSION". Malaysian Family Physician. 7 (1): 34–36. ISSN 1985-207X. PMC 4170449. PMID 25606244.
- ↑ Stoddard, Nathan; Heil, Jenna R.; Lowery, David R. (2024), "Anatomy, Thorax, Mediastinum", StatPearls, Treasure Island (FL): StatPearls Publishing, PMID 30969641, retrieved 2024-02-21
- ↑ Jalota Sahota, Ruchi; Sayad, Edouard (2024), "Tension Pneumothorax", StatPearls, Treasure Island (FL): StatPearls Publishing, PMID 32644516, retrieved 2024-02-21
- ↑ Taghavi, Sharven; Askari, Reza (2024), "Mediastinal Trauma", StatPearls, Treasure Island (FL): StatPearls Publishing, PMID 30252287, retrieved 2024-03-06
- ↑ Salim, Shihas; Ganeshram, Prasanthi; Patel, Amish Dilip; Kumar, Anita A.; Vemuri, Divya; Jeyachandran, Vijay; Rajamanickam, Deepan; Shantha, Ghanshyam Palamaner Subash (2008-10-07). "Unilateral hemothorax in a 46 year old South Indian male due to a giant arteriovenous hemodialysis fistula: a case report". Cases Journal. 1 (1): 225. doi:10.1186/1757-1626-1-225. ISSN 1757-1626. PMC 2567296. PMID 18840271.
- ↑ Kim, Michelle; Moore, James E. (2020). "Chest Trauma: Current Recommendations for Rib Fractures, Pneumothorax, and Other Injuries". Current Anesthesiology Reports. 10 (1): 61–68. doi:10.1007/s40140-020-00374-w. ISSN 1523-3855. PMC 7223697. PMID 32435162.
- ↑ Feller-Kopman, David; Light, Richard (2018-02-22). "Pleural Disease". The New England Journal of Medicine. 378 (8): 740–751. doi:10.1056/NEJMra1403503. ISSN 1533-4406. PMID 29466146.
- ↑ Garvia, Veronica; Paul, Manju (2024), "Empyema", StatPearls, Treasure Island (FL): StatPearls Publishing, PMID 29083780, retrieved 2024-03-06
- ↑ Ohara, Gen; Iguchi, Kesato; Satoh, Hiroaki (2018-10-19). "VATS and Intrapleural Fibrinolytic Therapy for Parapneumonic Empyema". Annals of Thoracic and Cardiovascular Surgery: Official Journal of the Association of Thoracic and Cardiovascular Surgeons of Asia. 24 (5): 263–264. doi:10.5761/atcs.lte.18-00092. ISSN 2186-1005. PMC 6198002. PMID 29962389.
- ↑ Ghigna, Maria-Rosa; Montpreville, Vincent Thomas de (2021-12-31). "Mediastinal tumours and pseudo-tumours: a comprehensive review with emphasis on multidisciplinary approach". European Respiratory Review. 30 (162). doi:10.1183/16000617.0309-2020. ISSN 0905-9180. PMC 9488622. PMID 34615701.
- ↑ Jilani, Talha N.; Killeen, Robert B.; Siddiqui, Abdul H. (2024), "Mediastinal Cancer", StatPearls, Treasure Island (FL): StatPearls Publishing, PMID 30020603, retrieved 2024-03-06
- ↑ Grott, Kelly; Chauhan, Shaylika; Dunlap, Julie D. (2024), "Atelectasis", StatPearls, Treasure Island (FL): StatPearls Publishing, PMID 31424900, retrieved 2024-03-07
- ↑ Cao, Li; Du, Yan; Wang, Ling (2017). "Fetal pleural effusion and Down syndrome". Intractable & Rare Diseases Research. 6 (3): 158–162. doi:10.5582/irdr.2017.01028. ISSN 2186-3644. PMC 5608924. PMID 28944136.
- ↑ Tisekar, Owais R.; Ak, Ajith Kumar (2024), "Hypoplastic Lung Disease", StatPearls, Treasure Island (FL): StatPearls Publishing, PMID 32965810, retrieved 2024-03-07
- ↑ Colombani, M.; Rubesova, E.; Potier, A.; Quarello, E.; Barth, R. A.; Devred, P.; Petit, P.; Gorincour, G. (2011). "[Management of fetal mediastinal shift: a practical approach]". Journal de Radiologie. 92 (2): 118–124. doi:10.1016/j.jradio.2010.12.002. ISSN 1773-0384. PMID 21352743.
- ↑ Sharma, Girish; Carter, Yvonne M. (2024), "Pectus Excavatum", StatPearls, Treasure Island (FL): StatPearls Publishing, PMID 28613668, retrieved 2024-03-07
- ↑ Beshara, Michael; Bora, Vaibhav (2024), "Pneumonectomy", StatPearls, Treasure Island (FL): StatPearls Publishing, PMID 32310429, retrieved 2024-03-10
- ↑ de Groot, Patricia M.; Truong, Mylene T.; Godoy, Myrna C. B. (2018). "Postoperative Imaging and Complications in Resection of Lung Cancer". Seminars in Ultrasound, CT, and MR. 39 (3): 289–296. doi:10.1053/j.sult.2018.02.008. ISSN 1558-5034. PMID 29807639. S2CID 44142767.
- ↑ Rose, David; Dubensky, Laurence (2024), "Airway Foreign Bodies", StatPearls, Treasure Island (FL): StatPearls Publishing, PMID 30969578, retrieved 2024-03-20
- ↑ Cramer, Natan; Jabbour, Noel; Tavarez, Melissa M.; Taylor, Roger S. (2024), "Foreign Body Aspiration", StatPearls, Treasure Island (FL): StatPearls Publishing, PMID 30285375, retrieved 2024-03-20
- ↑ Siddiqui, Najam A.; Mansour, Mohamed K.; Nookala, Vinod (2024), "Bullous Emphysema", StatPearls, Treasure Island (FL): StatPearls Publishing, PMID 30725928, retrieved 2024-03-20
- ↑ Ascano, Maria Patricia; Kramer, Nicholas; Le, Khoa; Ascano, Maria Patricia; Kramer, Nicholas; Le, Khoa (2024-03-11). "Differentiating Giant Bullous Emphysema From Tension Pneumothorax: A Case Report". Cureus. 16 (3). doi:10.7759/cureus.55988. ISSN 2168-8184.
- ↑ Samanta, Rudra P.; Agarwal, Srikant; Sengupta, Susmita; Samanta, Rudra P.; Agarwal, Srikant; Sengupta, Susmita (2022-11-07). "Giant Bullous Emphysema Mimicking Spontaneous Pneumothorax". Cureus. 14 (11): e31182. doi:10.7759/cureus.31182. ISSN 2168-8184. PMC 9727579. PMID 36505170.
- ↑ Mehta, Pooja A.; Sharma, Girish (2024), "Congenital Pulmonary Airway Malformation", StatPearls, Treasure Island (FL): StatPearls Publishing, PMID 31869128, retrieved 2024-03-20
