Medical imaging in pregnancy

Volume rendered CT scan of a pregnancy at 37 weeks of gestational age.
Obstetric ultrasonography showing a fetus at 14 weeks of gestational age, through the median plane.
Radiocontrast-enhanced median plane CT scan of a pregnancy at 37 weeks of gestational age.
Plain abdominal Xray of a pregnant women

Medical imaging in pregnancy may be indicated because of pregnancy complications, intercurrent diseases or routine prenatal care.

Options

Options for medical imaging in pregnancy include the following:

  • Radiocontrast agents, when orally administered, are harmless.[1] Intravenous administration of iodinated radiocontrast agents can cross the placenta and enter the fetal circulation, but animal studies have reported no teratogenic or mutagenic effects from its use. There have been theoretical concerns about the potential harm of free iodide on the fetal thyroid gland,[1] but multiple studies have shown that a single dose of intravenously administered iodinated contrast medium to a pregnant mother has no effect on neonatal thyroid function.[2] Nevertheless, it generally is recommended that radiocontrast only be used if required to obtain additional diagnostic information that will improve the care of the fetus or mother.[1]

Magnetic resonance imaging

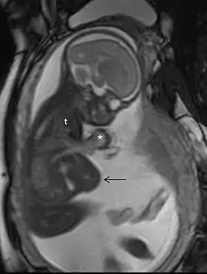
MRI of a fetus with Pentalogy of Cantrell.

Magnetic resonance imaging (MRI), without MRI contrast agents, is not associated with any risk for the mother or the fetus, and together with medical ultrasonography, it is the technique of choice for medical imaging in pregnancy.[1]

Safety

For the first trimester, no known literature has documented specific adverse effects in human embryos or fetuses exposed to non-contrast MRI during the first trimester.[3] During the second and third trimesters, there is some evidence to support the absence of risk, including a retrospective study of 1737 prenatally exposed children, showing no significant difference in hearing, motor skills, or functional measures after a mean follow-up time of 2 years.[3]

Gadolinium contrast agents in the first trimester are associated with a slightly increased risk of a childhood diagnosis of several forms of rheumatism, inflammatory disorders, or infiltrative skin conditions, according to a retrospective study including 397 infants prenatally exposed to gadolinium contrast.[3] In the second and third trimesters, gadolinium contrast is associated with a slightly increased risk of stillbirth or neonatal death, by the same study.[3] Hence, is recommended that gadolinium contrast in MRI should be limited, and should only be used when it significantly improves diagnostic performance and is expected to improve fetal or maternal outcomes.[1]

Women have a legal right to not be forced to undergo medical imaging without first providing informed consent; a radiologist is usually the healthcare provider trained to enable informed consent.[4]

Common uses

MRI is commonly used in pregnant women with acute abdominal pain and/or pelvic pain, or in suspected neurological disorders, placental diseases, tumors, infections, and/or cardiovascular diseases.[3] Appropriate use criteria by the American College of Radiology give a rating of ≥7 (usually appropriate) for non-contrast MRI for the following conditions:

Radiography and nuclear medicine

Fetal effects by radiation dosage

Health effects of radiation may be grouped in two general categories:

  • stochastic effects, i.e., radiation-induced cancer and heritable effects involving either cancer development in exposed individuals owing to mutation of somatic cells or heritable disease in their offspring owing to mutation of reproductive (germ) cells.[5] The risk for developing radiation-induced cancer at some point in life is greater when exposing a fetus than an adult, both because the cells are more vulnerable when they are growing, and because there is much longer lifespan after the dose to develop cancer.
  • deterministic effects (harmful tissue reactions) due in large part to the killing/ malfunction of cells following high doses.

The determinstistic effects have been studied at for example survivors of the atomic bombings of Hiroshima and Nagasaki and cases of where radiation therapy has been necessary during pregnancy:

Gestational ageEmbryonic ageEffectsEstimated threshold dose (mGy)
2 to 4 weeks0 to 2 weeksMiscarriage or none (all or nothing)50 - 100[1]
4 to 10 weeks2 to 8 weeksStructural birth defects200[1]
Growth restriction200 - 250[1]
10 to 17 weeks8 to 15 weeksSevere intellectual disability60 - 310[1]
18 to 27 weeks16 to 25 weeksSevere intellectual disability (lower risk)250 - 280[1]

The intellectual deficit has been estimated to be about 25 IQ-points per 1,000 mGy at 10 to 17 weeks of gestational age.[1]

Fetal radiation dosages by imaging method

Imaging methodFetal absorbed dose of ionizing radiation (mGy)
Projectional radiography
Cervical spine by 2 views (anteroposterior and lateral)< 0.001[1]
Extremities< 0.001[1]
Mammography by 2 views0.001 - 0.01[1]
Chest0.0005 - 0.01[1]
Abdominal0.1 - 3.0[1]
Lumbar spine1.0 - 10[1]
Intravenous pyelogram5 - 10[1]
Double contrast barium enema1.0 - 20[1]
CT scan
Head or neck1.0 - 10[1]
Chest, including CT pulmonary angiogram0.01 - 0.66[1]
Limited CT pelvimetry by single axial slice through femoral heads< 1[1]
Abdominal1.3 - 35[1]
Pelvic10 - 50[1]
Nuclear medicine
Low-dose perfusion scintigraphy0.1 - 0.5[1]
Bone scintigraphy with 99mTc4 - 5[1]
Pulmonary digital subtraction angiography0.5[1]
Whole-body PET/CT with 18F'10 - 15[1]

Radiation-induced breast cancer

The risk for the mother of later acquiring radiation-induced breast cancer seems to be particularly high for radiation doses during pregnancy.[6]

This is an important factor when for example determining whether a ventilation/perfusion scan (V/Q scan) or a CT pulmonary angiogram (CTPA) is the optimal investigation in pregnant women with suspected pulmonary embolism. A V/Q scan confers a higher radiation dose to the fetus, while a CTPA confers a much higher radiation dose to the mother's breasts. A review from the United Kingdom in 2005 considered CTPA to be generally preferable in suspected pulmonary embolism in pregnancy because of higher sensitivity and specificity as well as a relatively modest cost.[7]

See also

References

  1. 1 2 3 4 5 6 7 8 9 10 11 12 13 14 15 16 17 18 19 20 21 22 23 24 25 26 27 28 29 30 31 "Guidelines for Diagnostic Imaging During Pregnancy and Lactation". American Congress of Obstetricians and Gynecologists. February 2016
  2. "ACR Manual on Contrast Media. Version 10.3" (PDF). American College of Radiology. American College of Radiology Committee on Drugs and Contrast Media. 2017. Archived from the original (PDF) on 2017-10-17. Retrieved 2017-07-30.
  3. 1 2 3 4 5 6 7 8 9 10 11 Mervak, Benjamin M.; Altun, Ersan; McGinty, Katrina A.; Hyslop, W. Brian; Semelka, Richard C.; Burke, Lauren M. (2019). "MRI in pregnancy: Indications and practical considerations". Journal of Magnetic Resonance Imaging. 49 (3): 621–631. doi:10.1002/jmri.26317. ISSN 1053-1807. PMID 30701610. S2CID 73412175.
  4. Emmerson, Benjamin; Young, Michael (2023), "Radiology Patient Safety and Communication", StatPearls, Treasure Island (FL): StatPearls Publishing, PMID 33620790, retrieved 2023-11-24
  5. Paragraph 55 of "The 2007 Recommendations of the International Commission on Radiological Protection". 2007. Ann. ICRP 37 (2-4)
  6. Ronckers, Cécile M; Erdmann, Christine A; Land, Charles E (2004). "Radiation and breast cancer: a review of current evidence". Breast Cancer Research. 7 (1): 21–32. doi:10.1186/bcr970. ISSN 1465-542X. PMC 1064116. PMID 15642178.
  7. Mallick, Srikumar; Petkova, Dimitrina (2006). "Investigating suspected pulmonary embolism during pregnancy". Respiratory Medicine. 100 (10): 1682–1687. doi:10.1016/j.rmed.2006.02.005. ISSN 0954-6111. PMID 16549345.
This article is issued from Wmcloud. The text is licensed under Creative Commons - Attribution - Sharealike. Additional terms may apply for the media files.