Molybdenum cofactor deficiency
| Molybdenum cofactor deficiency | |
|---|---|
| Other names: Sulfite oxidase deficiency due to molybdenum cofactor deficiency | |
| Specialty | Medical genetics |
Molybdenum cofactor deficiency is a rare human disease in which the absence of molybdopterin – and consequently its molybdenum complex, commonly called molybdenum cofactor – leads to accumulation of toxic levels of sulphite and neurological damage. Usually this leads to death within months of birth, due to the lack of active sulfite oxidase. Furthermore, a mutational block in molybdenum cofactor biosynthesis causes absence of enzyme activity of xanthine dehydrogenase/oxidase and aldehyde oxidase.
Signs and symptoms
The presentation of molybdenum cofactor deficiency is consistent with the following:[1]
- Seizures
- Developmental delay
- Hyperekplexia
- Microcephaly
Cause
When caused by a mutation in the MOCS1 gene it is the type A variant. It can also be caused by a mutation in the MOCS2 gene or the GEPH gene.[2] As of 2010, there had been approximately 132 reported cases.[3]
It should not be confused with molybdenum deficiency.
Diagnosis

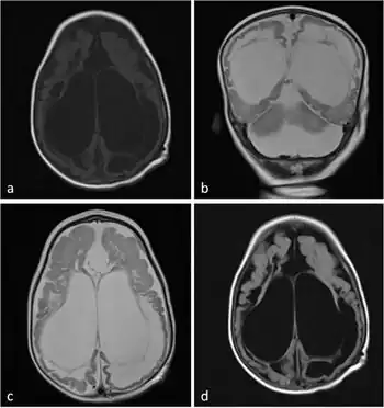
Diagnosis of molybdenum cofactor deficiency includes early seizures, low blood levels of uric acid, and high levels of sulphite, xanthine, and uric acid in urine. Additionally, the disease produces characteristic MRI images that can aid in diagnosis.[4]
Treatment
Fosdenopterin for intravenous injection appears to reduce the risk of death.[5] Fosdenopterin replaces the missing cyclic pyranopterin monophosphate (cPMP).[5]
Prevalence
The prevalence of molybdenum co-factor deficiency is estimated as being between 1 in 100 000 and 1 in 200 000. To date more than 100 cases have been reported. However, this may significantly under represent cases.
Research
In 2009, Monash Children's Hospital at Southern Health in Melbourne, Australia reported that a patient known as Baby Z became the first person to be successfully treated for molybdenum cofactor deficiency type A. The patient was treated with cPMP, a precursor of molybdopterin.[6][7] Baby Z will require daily injections of cyclic pyranopterin monophosphate (cPMP) for the rest of her life.[8]
See also
- Sulfite oxidase
References
- ↑ "Molybdenum cofactor deficiency: MedlinePlus Genetics". medlineplus.gov. Archived from the original on 30 January 2023. Retrieved 19 April 2023.
- ↑ Reiss J, Johnson JL (June 2003). "Mutations in the molybdenum cofactor biosynthetic genes MOCS1, MOCS2, and GEPH". Human Mutation. 21 (6): 569–76. doi:10.1002/humu.10223. PMID 12754701. S2CID 41013043.
- ↑ Ichida K, Aydin HI, Hosoyamada M, et al. (2006). "A Turkish case with molybdenum cofactor deficiency". Nucleosides, Nucleotides & Nucleic Acids. 25 (9–11): 1087–91. doi:10.1080/15257770600894022. PMID 17065069. S2CID 40601679.
- ↑ "Molybdenum cofactor deficiency in humans: Neurological consequences of sulfite oxidase deficiency". Archived from the original on 2008-10-11. Retrieved 2009-11-08.
- 1 2 "FDA Approves First Treatment for Molybdenum Cofactor Deficiency Type A". U.S. Food and Drug Administration (FDA) (Press release). 26 February 2021. Archived from the original on 27 February 2021. Retrieved 26 February 2021.
This article incorporates text from this source, which is in the public domain. - ↑ McArthur, Grant (November 5, 2009). "Doctor cures 'Baby Z' of molybdenum cofactor deficiency in medical world first". news.com.au. Archived from the original on November 6, 2009. Retrieved November 5, 2009.
- ↑ Samantha Donovan (2009-11-05). "Dying baby cured in world first". abc.net.au/news. Australian Broadcasting Corporation. Archived from the original on 2009-11-06. Retrieved 2009-11-05.
- ↑ Tedmanson, Sophie (November 5, 2009). "Doctors risk untried drug to stop baby's brain dissolving". The Times. London. Retrieved May 13, 2010.
External links
| Classification | |
|---|---|
| External resources |