Nonthrombocytopenic purpura
| Nonthrombocytopenic purpura | |
|---|---|
![]() | |
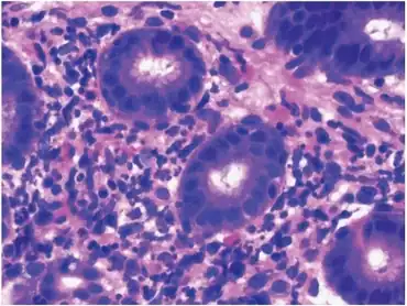
| Histopathology of HSP involvement in small bowel showing neutrophilic and eosinophilic infiltrates | |
| Specialty | Dermatology |
Nonthrombocytopenic purpura is a type of purpura (red or purple skin discoloration) not associated with thrombocytopenia.[1]
Nonthrombocytopenic purpura has been reported after smoking mentholated cigarettes.[2]
Examples/causes include:
References
- 1 2 "MedlinePlus Medical Encyclopedia: Purpura". Archived from the original on 2016-07-05. Retrieved 2009-01-06.
- ↑ Parikh's Textbook of Medical Jurisprudence, Forensic Medicine and Toxicology
- ↑ Chan, Ka Wah; Leung, Alexander K. C. (August 2001). "Evaluating the child with purpura". American Family Physician. 64 (3): 419–28. PMID 11515831. Archived from the original on 2008-10-16. Retrieved 2009-01-06.
- ↑ Cotran, Ramzi S.; Kumar, Vinay; Fausto, Nelson; Nelso Fausto; Robbins, Stanley L.; Abbas, Abul K. (2005). Robbins and Cotran pathologic basis of disease. St. Louis, Mo: Elsevier Saunders. p. 650. ISBN 978-0-7216-0187-8.
Further reading
- HORLER AR, TRUELOVE SC (March 1955). "Chronic leg ulcers in non-thrombocytopenic purpura". Br Med J. 1 (4914): 635–6. doi:10.1136/bmj.1.4914.635. PMC 2061391. PMID 13230576.
- MULDOON JP, BERG AM, KINNAIRD DW (November 1955). "Surgical implications of non-thrombocytopenic purpura". Ann. Surg. 142 (5): 817–23. doi:10.1097/00000658-195511000-00007. PMC 1465031. PMID 13269032.
External links
| Classification |
|---|
This article is issued from Wmcloud. The text is licensed under Creative Commons - Attribution - Sharealike. Additional terms may apply for the media files.
