Palivizumab

Palivizumab
Monoclonal antibody
TypeWhole antibody
SourceHumanized (from mouse)
TargetRSV protein F
Names
Trade namesSynagis
Clinical data
Drug classMonoclonal antibody[1]
Main usesPrevention of RSV[2]
Side effectsFever, rash[2]
WHO AWaReUnlinkedWikibase error: ⧼unlinkedwikibase-error-statements-entity-not-set⧽
Pregnancy
category
  • AU: N
  • US: C (Risk not ruled out)
    Routes of
    use
    Intramuscular
    External links
    AHFS/Drugs.comMonograph
    MedlinePlusa698034
    Legal
    License data
    Legal status
    • AU: S4 (Prescription only)
    • UK: POM (Prescription only) [3]
    • US: ℞-only [4]
    • EU: Rx-only [2]
    • In general: ℞ (Prescription only)
    Pharmacokinetics
    Elimination half-life18-20 days
    Chemical and physical data
    FormulaC6470H10056N1700O2008S50
    Molar mass145388.51 g·mol−1

    Palivizumab, sold under the brand name Synagis, is a medication used to prevent severe respiratory syncytial virus (RSV) infections in those at high risk.[1][2] This includes those under 6 months who were born premature and those under two years with certain heart or lung diseases.[2] It is given once a month by intramuscular (IM) injection, during the RSV season.[2][5]

    The most common side effects are fever and rash.[2] Severe side effects may include anaphylaxis and low platelets.[1][6] It is not used in adults.[1] It is a monoclonal antibody directed against fusion protein A of RSV, blocking its entry into cells of the lungs.[2]

    Palivizumab was approved for medical use in the United States in 1998 and Europe in 1999.[1][2] In Canada it costs about 7,000 CAD per year in 2017.[7] In the the United Kingdome it costs about £560 and in the United States it costs about 3,200 USD for 100 mg as of 2021.[6][8]

    Medical use

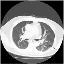
    Chest CT three months after admission with resolved ground glass infiltrates revealing the initial atelectasis of the left lower lobe present two months prior to admission (arrow).

    Palivizumab is used to prevent serious lower respiratory tract disease requiring hospitalization caused by the respiratory syncytial virus (RSV) in children at high risk for RSV disease:[9][2][10]

    • children born at 35 weeks of gestation or less and less than six months of age at the onset of the RSV season;[2]
    • children less than two years of age and requiring treatment for bronchopulmonary dysplasia within the last six months;[2]
    • children less than two years of age and with hemodynamically significant congenital heart disease.[2]

    The American Academy of Pediatrics published guidelines on its use in 2014.[11]

    It decreases the risk of hospitalization due to RSV from about 11% to 5% (an approximately 50% decrease).[2]

    RSV prevention

    All babies younger than one year who were born at <29 weeks (i.e. ≤28 weeks, 6 days) of gestation are recommended to use palivizumab. Infants younger than one year with bronchopulmonary dysplasia (i.e. who were born at <32 weeks gestation and required supplemental oxygen for the first 28 days after birth) and infants younger than two years with bronchopulmonary dysplasia who require medical therapy (e.g. supplemental oxygen, glucocorticoids, diuretics) within six months of the anticipated RSV season are recommended to use palivizumab as prophylaxis.[11] A Cochrane review shows evidence that palivizumab RSV prophylaxis is effective at reducing the frequency of hospitalization in children with RSV infection.[12]

    Since the risk of RSV decreases after the first year following birth, the use of palivizumab for children more than 12 months of age is generally not recommended with the exception of premature infants who need supplemental oxygen, bronchodilator therapy, or steroid therapy at the time of their second RSV season.[11]

    Target groups

    Decisions regarding palivizumab prophylaxis for children in these groups should be made on a case-by-case basis.[11]

    RSV treatment

    Because palivizumab is a passive antibody, it is ineffective in the treatment of RSV infection, and its administration is not recommended for this indication.[11] A 2019 Cochrane review found no differences in palivizumab and placebo on outcomes of mortality, length of hospital stay, and adverse events in infants and children aged up to 3 years old with RSV.[13] Larger RCTs will be required before palivizumab can be recommended as a treatment option.[14] If an infant has an RSV infection despite the use of palivizumab during the RSV season, monthly doses of palivizumab may be discontinued for the rest of the RSV season due to the low risk of re-hospitalization.[11] Current studies are in progress to determine new treatments for RSV rather than solely prophylaxis. [15]

    Dosage

    It is given at a dose of 15 mg/kg.[5] It is given once a month for 5 months during RSV season.[1]

    Side effects

    Palivizumab use may cause side effects, which include, but are not limited to:[16]

    Some more serious side effects include:

    Contraindications

    Contraindications for the use of palivizumab include hypersensitivity reactions upon exposure to palivizumab. Serious cases of anaphylaxis have been reported after exposure to palivizumab. Signs of hypersensitivity include hives, shortness of breath, hypotension, and unresponsiveness. No other contraindications for palivizumab have been reported.[17] Further studies are needed to determine if any drug-drug interactions exist as none have been conducted as of yet.

    Mechanism of action

    Palivizumab is a monoclonal antibody that targets the fusion (F) glycoprotein on the surface of RSV, and deactivates it.[18] The F protein is a membrane protein responsible for fusing the virus with its target cell and is highly conserved among subgroups of RSV. Deactivating the F protein prevents the virus from fusing with its target's cell membrane and prevents the virus from entering the host cell.[18][19]

    Pharmacodynamics

    Palivizumab has demonstrated a significantly higher affinity and potency in neutralizing both A and B subtypes of RSV when compared with RSV-IGIV.[20] Treatment with 2.5 mg/kg of palivizumab led to a serum concentration of 25-30 μg/mL in cotton rats and reduced RSV titers by 99% in their lungs.[21]

    Pharmacokinetics

    Absorption

    A 2008 meta-analysis found that palivizumab absorption was quicker in children compared to adults (ka = 1.01/day vs. ka = 0.373/day). The intramuscular bioavailability of this drug is approximately 70% in healthy young adults.[22] Current recommendation for RSV immunoprophylaxis is administration of 5 x 15 mg/kg doses of palivizumab to maintain body concentrations above 40 μg/mL.[23]

    Distribution

    The volume of distribution is approximately 4.1 liters.[22]

    Clearance

    Palivizumab has a drug clearance (CL) of approximately 198 ml/day. The half-life of this drug is approximately 20 days with three doses sustaining body concentrations that will last the entire RSV season (5 to 6 months). A 2008 meta-analysis estimated clearance in the pediatric population by considering maturation of CL and body weight which showed a significant reduction compared to adults.[22]

    History

    The disease burden of RSV in babies and its global prevalence have prompted attempts for vaccine development. As of 2019, there was no approved vaccine for RSV prevention.[24] A formalin-inactivated RSV vaccine (FIRSV) was studied in the 1960s. The immunized children who were exposed to the virus in the community developed an enhanced form of RSV disease presented by wheezing, fever, and bronchopneumonia. This enhanced form of the disease led to 80% hospitalization in the recipients of FIRSV compared to 5% in the control group. Additionally, 2 fatalities occurred among the vaccine recipients upon reinfection in subsequent years.[25] Subsequent attempts to develop an attenuated live virus vaccine with optimal immune response and minimal reactogenicity have been unsuccessful.[26] Further research on animal subjects suggested that intravenously administered immunoglobulin with high RSV neutralizing activity can protect against RSV infection.[27] In 1995, the U.S. Food and Drug Administration (FDA) approved the use of RespiGam (RSV-IGIV) for the prevention of serious lower respiratory tract infection caused by RSV in children younger than 24 months of age with bronchopulmonary dysplasia or a history of premature birth.[28] The success of the RSV-IGIV demonstrated efficacy in immunoprophylaxis and prompted research into further technologies. Thus, Palivizumab was developed as an antibody that was found to be fifty times more potent than its predecessor. This antibody has been widely used for RSV since 1998 when it was approved. [29]

    Palivizumab, originally known as MEDI-493, was developed as an RSV immune prophylaxis tool that was easier to administer and more effective than the current tools of that time (the 1990s).[30] It was developed over a 10-year period by MedImmune Inc. by combining human and mouse DNA.[31] Specifically, antibody production was stimulated in a mouse model following immunization with RSV. The antibody-producing B cells were isolated from the mouse's spleen and fused with mouse myeloma cell lines. The antibodies were then humanized by cloning and sequencing the DNA from both the heavy and light chains of the monoclonal antibody. Overall, the monoclonal antibody is 95% similar to other human antibodies with the other 5% having DNA origins from the original mouse.[21]

    Society and culture

    Palivizumab 1 ml

    Cost

    Palivizumab is a relatively expensive medication, with a 100-mg vial ranging from $904 to $1866.[32] Multiple studies done by both the manufacturer and independent researchers to determine the cost-effectiveness of palivizumab have found conflicting results. The heterogeneity between these studies makes them difficult to compare. Given that there is no consensus about the cost-effectiveness of palivizumab, usage largely depends on the location of care and individual risk factors.[33][18][34]

    A 2013 meta-analysis reported that palivizumab prophylaxis was a dominant strategy with an incremental cost-effectiveness ratio of $2,526,203 per quality-adjusted life-year (QALY). It also showed an incremental cost-effectiveness ratio for preterm infants between $5188 and $791,265 per QALY, from the payer perspective.[35] However, as previously stated, the cost-effectiveness of palivizumab is undecided, and this meta-analysis is only one example of society can benefit from palivizumab prophylaxis.

    References

    1. 1 2 3 4 5 6 "Palivizumab Monograph for Professionals". Drugs.com. Archived from the original on 4 March 2021. Retrieved 12 September 2021.
    2. 1 2 3 4 5 6 7 8 9 10 11 12 13 14 "Synagis EPAR". European Medicines Agency (EMA). Archived from the original on 15 August 2020. Retrieved 20 August 2020. Text was copied from this source which is © European Medicines Agency. Reproduction is authorized provided the source is acknowledged.
    3. "Synagis 100 mg/ml solution for injection - Summary of Product Characteristics (SmPC)". (emc). 12 August 2020. Archived from the original on 2 March 2021. Retrieved 20 August 2020.
    4. "Synagis- palivizumab injection, solution". DailyMed. 12 May 2017. Archived from the original on 7 August 2020. Retrieved 20 August 2020.
    5. 1 2 Borchers AT, Chang C, Gershwin ME, Gershwin LJ (December 2013). "Respiratory syncytial virus--a comprehensive review". Clinical Reviews in Allergy & Immunology. 45 (3): 331–79. doi:10.1007/s12016-013-8368-9. PMC 7090643. PMID 23575961.
    6. 1 2 BNF (80 ed.). BMJ Group and the Pharmaceutical Press. September 2020 – March 2021. p. 702. ISBN 978-0-85711-369-6.{{cite book}}: CS1 maint: date format (link)
    7. "Provinces spent $43M on preemie drug experts say can be made for a fraction of the cost". CBC. Archived from the original on 3 May 2021. Retrieved 12 September 2021.
    8. "Synagis Prices, Coupons & Patient Assistance Programs". Drugs.com. Archived from the original on 20 August 2016. Retrieved 12 September 2021.
    9. "Synagis 100 mg/1 ml solution for injection - Summary of Product Characteristics (SmPC) - (emc)". www.medicines.org.uk. Archived from the original on 2021-08-03. Retrieved 2021-08-03.
    10. Santos da Silva GN, Monti Atik D, Antunes Fernandes JL, de Freitas do Nascimento D, Fazolo T, Duarte de Souza AP, Baggio Gnoatto SC (July 2018). "Synthesis of three triterpene series and their activity against respiratory syncytial virus". Archiv der Pharmazie. 351 (8): e1800108. doi:10.1002/ardp.201800108. PMID 29999539. S2CID 51621538.
    11. 1 2 3 4 5 6 7 American Academy of Pediatrics Committee on Infectious Diseases; American Academy of Pediatrics Bronchiolitis Guidelines Committee; et al. (American Academy of Pediatrics Committee on Infectious Diseases; American Academy of Pediatrics Bronchiolitis Guidelines Committee.) (August 2014). "Updated guidance for palivizumab prophylaxis among infants and young children at increased risk of hospitalization for respiratory syncytial virus infection". Pediatrics. 134 (2): 415–20. doi:10.1542/peds.2014-1665. PMID 25070315.
    12. Andabaka T, Nickerson JW, Rojas-Reyes MX, Rueda JD, Bacic Vrca V, Barsic B (April 2013). "Monoclonal antibody for reducing the risk of respiratory syncytial virus infection in children". The Cochrane Database of Systematic Reviews (4): CD006602. doi:10.1002/14651858.cd006602.pub4. PMID 23633336.
    13. Sanders SL, Agwan S, Hassan M, van Driel ML, Del Mar CB (August 2019). "Immunoglobulin treatment for hospitalised infants and young children with respiratory syncytial virus infection". The Cochrane Database of Systematic Reviews. 8: CD009417. doi:10.1002/14651858.cd009417.pub2. PMC 6708604. PMID 31446622.
    14. Hu J, Robinson JL (November 2010). "Treatment of respiratory syncytial virus with palivizumab: a systematic review". World Journal of Pediatrics. 6 (4): 296–300. doi:10.1007/s12519-010-0230-z. PMID 21080142. S2CID 22504710.
    15. Ferla S, Manganaro R, Benato S, Paulissen J, Neyts J, Jochmans D, et al. (April 2020). "Rational modifications, synthesis and biological evaluation of new potential antivirals for RSV designed to target the M2-1 protein". Bioorganic & Medicinal Chemistry. 28 (8): 115401. doi:10.1016/j.bmc.2020.115401. PMID 32143992. Archived from the original on 2021-05-06. Retrieved 2021-08-23.
    16. "Palivizumab Injection". MedlinePlus Drug Information. U.S. National Library of Medicine. Archived from the original on 2016-01-05. Retrieved 2016-01-30.
    17. "Drugs@FDA: FDA-Approved Drugs". www.accessdata.fda.gov. Archived from the original on 28 July 2021. Retrieved 28 July 2021.
    18. 1 2 3 Resch B (September 2017). "Product review on the monoclonal antibody palivizumab for prevention of respiratory syncytial virus infection". Human Vaccines & Immunotherapeutics. 13 (9): 2138–2149. doi:10.1080/21645515.2017.1337614. PMC 5612471. PMID 28605249.
    19. McLellan JS, Ray WC, Peeples ME (2013). "Structure and function of respiratory syncytial virus surface glycoproteins". Current Topics in Microbiology and Immunology. 372: 83–104. doi:10.1007/978-3-642-38919-1_4. ISBN 978-3-642-38918-4. PMC 4211642. PMID 24362685.
    20. Wu H, Pfarr DS, Losonsky GA, Kiener PA (2008). "Immunoprophylaxis of RSV infection: advancing from RSV-IGIV to palivizumab and motavizumab". Current Topics in Microbiology and Immunology. 317: 103–23. doi:10.1007/978-3-540-72146-8_4. ISBN 978-3-540-72144-4. PMID 17990791.
    21. 1 2 Resch B (September 2017). "Product review on the monoclonal antibody palivizumab for prevention of respiratory syncytial virus infection". Human Vaccines & Immunotherapeutics. 13 (9): 2138–2149. doi:10.1080/21645515.2017.1337614. PMC 5612471. PMID 28605249.
    22. 1 2 3 Robbie GJ, Zhao L, Mondick J, Losonsky G, Roskos LK (September 2012). "Population pharmacokinetics of palivizumab, a humanized anti-respiratory syncytial virus monoclonal antibody, in adults and children". Antimicrobial Agents and Chemotherapy. 56 (9): 4927–36. doi:10.1128/AAC.06446-11. PMC 3421858. PMID 22802243.
    23. Reuter SE, Evans AM, Ward MB (January 2019). "Reducing Palivizumab Dose Requirements Through Rational Dose Regimen Design". CPT. 8 (1): 26–33. doi:10.1002/psp4.12364. PMC 6363066. PMID 30426719.
    24. Shafique M, Zahoor MA, Arshad MI, Aslam B, Siddique AB, Rasool AH, Qamar MU, Usman M (2019-10-30). "Hurdles in Vaccine Development against Respiratory Syncytial Virus". In Resch B (ed.). The Burden of Respiratory Syncytial Virus Infection in the Young. IntechOpen. doi:10.5772/intechopen.87126. ISBN 978-1-78984-642-3. Archived from the original on 2021-03-02. Retrieved 2021-08-03.
    25. Kim HW, Canchola JG, Brandt CD, Pyles G, Chanock RM, Jensen K, Parrott RH (April 1969). "Respiratory syncytial virus disease in infants despite prior administration of antigenic inactivated vaccine". American Journal of Epidemiology. 89 (4): 422–34. doi:10.1093/oxfordjournals.aje.a120955. PMID 4305198.
    26. Karron RA, Buchholz UJ, Collins PL (2013). Anderson L, Graham BS (eds.). "Live-attenuated respiratory syncytial virus vaccines". Current Topics in Microbiology and Immunology. Berlin, Heidelberg: Springer Berlin Heidelberg. 372: 259–84. doi:10.1007/978-3-642-38919-1_13. ISBN 978-3-642-38918-4. PMC 4794267. PMID 24362694.
    27. Boukhvalova MS, Yim KC, Blanco J (2018-01-01). "Cotton rat model for testing vaccines and antivirals against respiratory syncytial virus". Antiviral Chemistry & Chemotherapy. 26: 2040206618770518. doi:10.1177/2040206618770518. PMC 5987903. PMID 29768937.
    28. Pollack P, Groothuis JR (September 2002). "Development and use of palivizumab (Synagis): a passive immunoprophylactic agent for RSV". Journal of Infection and Chemotherapy. 8 (3): 201–6. doi:10.1007/s10156-002-0178-6. PMID 12373481. S2CID 39331984.
    29. Human antibody therapeutics for viral disease. Scott K. Dessain. Berlin: Springer Verlag. 2021. ISBN 978-3-540-72146-8. OCLC 209988317. Archived from the original on 2021-09-23. Retrieved 2021-08-23.{{cite book}}: CS1 maint: others (link)
    30. Dessain SK (2021). Human antibody therapeutics for viral disease. Berlin: Springer Verlag. ISBN 978-3-540-72146-8. OCLC 209988317. Archived from the original on 2021-09-23. Retrieved 2021-08-23.
    31. Johnson S, Oliver C, Prince GA, Hemming VG, Pfarr DS, Wang SC, et al. (November 1997). "Development of a humanized monoclonal antibody (MEDI-493) with potent in vitro and in vivo activity against respiratory syncytial virus". The Journal of Infectious Diseases. 176 (5): 1215–24. doi:10.1086/514115. PMID 9359721.
    32. Mac S, Sumner A, Duchesne-Belanger S, Stirling R, Tunis M, Sander B (May 2019). "Cost-effectiveness of Palivizumab for Respiratory Syncytial Virus: A Systematic Review". Pediatrics. 143 (5): e20184064. doi:10.1542/peds.2018-4064. PMID 31040196.
    33. Andabaka T, Nickerson JW, Rojas-Reyes MX, Rueda JD, Bacic Vrca V, Barsic B (April 2013). "Monoclonal antibody for reducing the risk of respiratory syncytial virus infection in children". The Cochrane Database of Systematic Reviews (4): CD006602. doi:10.1002/14651858.cd006602.pub4. PMID 23633336.
    34. Barr R, Green CA, Sande CJ, Drysdale SB (2019-07-29). "Respiratory syncytial virus: diagnosis, prevention and management". Therapeutic Advances in Infectious Disease. 6: 2049936119865798. doi:10.1177/2049936119865798. PMC 6664627. PMID 31384456.
    35. Mac S, Sumner A, Duchesne-Belanger S, Stirling R, Tunis M, Sander B (May 2019). "Cost-effectiveness of Palivizumab for Respiratory Syncytial Virus: A Systematic Review". Pediatrics. 143 (5): e20184064. doi:10.1542/peds.2018-4064. PMID 31040196.
    External sites:
    Identifiers:
    This article is issued from Wmcloud. The text is licensed under Creative Commons - Attribution - Sharealike. Additional terms may apply for the media files.