Papillary adenocarcinoma
| Papillary adenocarcinoma | |
|---|---|
![]() | |
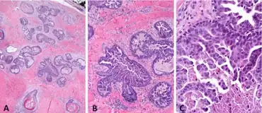
| Papillary adenocarcinoma in situ- a)Lesion in fibrotic dermis b) papillary structure formation c)necrosis and peripheral myoepithelial cell layer | |
| Frequency | Lua error in Module:PrevalenceData at line 5: attempt to index field 'wikibase' (a nil value). |
Papillary adenocarcinoma is a variant of adenocarcinoma, which is identified by presence of a papillary growth manner (thyroid gland papillary carcinoma, invasive papillary breast carcinoma)[1][2]
References
- ↑ "NCI Thesaurus". ncit.nci.nih.gov. Archived from the original on 2 February 2022. Retrieved 1 February 2022.
- ↑ Travis WD, Brambilla E, Muller-Hermelink HK, Harris CC, eds. (2004). World Health Organization Classification of Tumours. Pathology and Genetics of Tumours of the Lung, Pleura, Thymus and Heart. Lyon, France: IARC Press.
External links
- World Health Organization Classification of Tumours. Pathology and Genetics of Tumours of the Lung, Pleura, Thymus and Heart (Download Page).
This article is issued from Wmcloud. The text is licensed under Creative Commons - Attribution - Sharealike. Additional terms may apply for the media files.
