Pneumobilia
| Pneumobilia | |
|---|---|
![]() | |
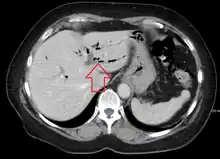
| CT scan of pneumobilia |
Pneumobilia is the presence of gas in the biliary system. It is typically detected by ultrasound or a radiographic imaging exam, such as CT, or MRI. It is a common finding in patients that have recently undergone biliary surgery or endoscopic biliary procedure. While the presence of air within biliary system is not harmful, this finding may alternatively suggest a pathological process, such as a biliary-enteric anastomosis, an infection of the biliary system, an incompetent sphincter of Oddi, or spontaneous biliary-enteric fistula.
Causes
In a healthy individual with normal anatomy, there is no air within the biliary tree. When this finding is present, it may be secondary to:
- Recent surgical or endoscopic biliary procedure (e.g. ERCP, biliary enteric anastomosis)
- Incompetent sphincter of Oddi (e.g. passage of large gallstone, scarring related to chronic pancreatitis)
- Spontaneous biliary enteric fistula (e.g. gallstone ileus)
- Infection by gas-forming organisms (e.g. emphysematous cholangitis)
- Congenital abnormalities
Other rare causes that have been reported include duodenal diverticulum, paraduodenal abscess, operative trauma, and carcinoma of the duodenum, stomach and bile duct.[1][2]
References
- ↑ Marshall SF, Polk RC (1958). "Spontaneous internal biliary fistulas". Surg Clin North Am. 38 (3): 679–91. doi:10.1016/s0039-6109(16)35488-3. PMID 13556568.
- ↑ ReMine WH (1973). "Biliary-enteric fistulas: natural history and mangement[sic]". Adv Surg. 7: 69–94. PMID 4591256.
Further reading
- Sherman SC, Tran H (February 2006). "Pneumobilia: benign or life-threatening". The Journal of Emergency Medicine. 30 (2): 147–53. doi:10.1016/j.jemermed.2005.05.016. PMID 16567248.
