Polymetatarsia
| Polymetatarsia | |
|---|---|
| Other names | Duplication of metatarsal. |
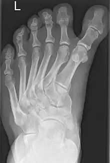
![]() | |
| Polydactyly-associated polymetatarsia. | |
| Specialty | Medical genetics |
| Usual onset | Congenital |
| Duration | Life-long, but can be corrected with surgery |
| Causes | Genetic mutation |
| Prevention | None |
| Prognosis | Good |
| Frequency | Uncommon (with polydactyly), very rare (without polydactyly) |
| Deaths | - |
Polymetatarsia is a rare congenital malformation which is characterized by the presence of 6 or more metatarsal bones in the same foot. It is most commonly seen alongside polydactyly,[1] and it often appears between the fourth and fifth metatarsals or beside the fifth metatarsal.
Few cases of polymetatarsia not associated with polydactyly have been reported.[2]
References
- ↑ Troetsch, Roman Bernal. "Polymetatarsia without polydactyly | Radiology Case | Radiopaedia.org". Radiopaedia. Retrieved 2022-06-02.
- ↑ Ishii, T.; Kawabata, H.; Kuratsu, S.; Miki, K.; Yoshikawa, H. (2005-03-01). "Two cases of complete polymetatarsia without polydactyly". British Journal of Plastic Surgery. 58 (2): 267–270. doi:10.1016/j.bjps.2004.10.018. ISSN 0007-1226. PMID 15710126.
This article is issued from Wmcloud. The text is licensed under Creative Commons - Attribution - Sharealike. Additional terms may apply for the media files.
