Reticulocytopenia

Reticulocytopenia
Other names: Aplastic crisis, Marrow failure

Reticulocytopenia is the medical term for an abnormal decrease of reticulocytes in the body. Reticulocytes are new, immature red blood cells.

Reticulocytopenia is usually a result of viral parvovirus B19 infection, which invades and destroys red blood cell precursors and halts the red cell production.

If infection occurs in individuals with sickle cell anemia,[1] spherocytosis, or beta thalassemia, it will lead to incorporation of two anemia-induced mechanisms: decreased red cell production and hemolysis. The result is a rapid and severe anemia (aplastic crisis) which may require blood transfusion.

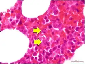
Parvovirus B19 intranuclear viral inclusions

See also

  • Erythropoiesis – process of creating red blood cells
  • Hemolytic anemia – reduced number of red blood cells due to destruction of the cells after they were made
  • Nutritional anemia – reduced number of red blood cells due to vitamin deficiency or other dietary factors
  • Spherocytosis- the shape of red blood cell becomes spherical than bi-concave.

References

  1. "Sickle Cell Disease - Basic Principles and Clinical Practice" Edited by Stephen H. Embury, Robert P. Hebbel, Narla Mohandas and Martin Steinberg. Copyright 1996 by Lippincott-Raven. Section IV p352.
Classification


This article is issued from Wmcloud. The text is licensed under Creative Commons - Attribution - Sharealike. Additional terms may apply for the media files.