Spindle cell lipoma
Spindle cell lipoma | |
---|---|
![]() | |
![]() |
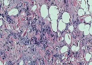
Spindle cell lipoma is an asymptomatic, slow-growing subcutaneous tumor that has a predilection for the posterior back, neck, and shoulders of older men.[1]: 625 [2]

Histopathological examination of spindle cell lipoma
See also
References
External links
Classification |
|
---|
This article is issued from Wmcloud. The text is licensed under Creative Commons - Attribution - Sharealike. Additional terms may apply for the media files.