Subungual exostosis
| Subungual exostosis | |
|---|---|
| Other names: Dupuytren subungual exostosis (not recommended)[1] | |
![]() | |
| Subungual exostosis (1/3), in a boy of 15 years old | |
| Specialty | Orthopedics |
| Symptoms | Painful swelling under toe nail[1] |
| Complications | Ulceration, infection[1] |
| Diagnostic method | Medical imaging[1] |
| Differential diagnosis | Bizarre parosteal osteochondromatous proliferation[2] |
| Treatment | Surgical excision[2] |
| Prognosis | Good with surgery[2] |
| Frequency | >50% in <18 year olds, M=F.[1] <5% of cartilage tumors[3] |
Subungual exostosis is a type of non-cancerous bone tumor of the chondrogenic type, and consists of bone and cartilage.[4] It typically presents as a painful lump protruding from the upper surface of the big toe underlying the nailbed, that destroys the nail.[1] There is generally lifting of the nail.[5] Subsequent ulceration and infection may occur.[1]
It is related to a solitary osteochondroma.[6] There is an association with trauma and infection.[3] Diagnosis involves medical imaging to exclude other similar conditions, particularly osteochondroma.[7] X-ray appearance may reveal a bony protuberance attached to the top or side surface of a toe bone.[2]
Treatment is by surgical excision and is effective.[2]
More than half are under the age of 18 years and males are affected equally to females.[1] Combined with bizarre parosteal osteochondromatous proliferation, they comprise <5% of cartilage tumors.[3]
Signs and symptoms
They tend to be painful due to the pressure applied to the nail bed and plate. They can involve destruction of the nail bed.[8]
Subungual exostosis big toe
Subungual exostosis 3rd toe
Causes
There is an association with trauma and infection.[3]
These lesions are not true osteochondromas, rather it is a reactive cartilage metaplasia. The reason it occurs on the dorsal aspect is because the periosteum is loose dorsally but very tightly adherent volarly.[9]
Diagnosis
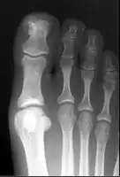
Diagnosis involves medical imaging to exclude other similar conditions, particularly osteochondroma.[1][7] X-ray appearance may reveal a bony protuberance attached to the top or side surface of a toe bone, and it does connect to the medullary cavity.[2]
Differential diagnosis includes mainly bizarre parosteal osteochondromatous proliferation (BPOP), which is more irregular and tends to involve the middle of the finger or toe rather than the end near the nail.[2] They are distinct from subungual osteochondroma.[10]
X-ray foot showing subungal exostosis
Treatment
Treatment is by surgical excision and is effective.[2]
Subungual exostosis (2/3)
Subungual exostosis (3/3), after excision
Epidemiology
It tends to occur in children and adolescents. More than half are under the age of 18 years and males are affected equally to females.[1] Combined with BPOP, they account for less than 5% of cartilage tumors.[3]
See also
References
- 1 2 3 4 5 6 7 8 9 10 WHO Classification of Tumours Editorial Board, ed. (2020). "Subungual exostosis". Soft Tissue and Bone Tumours: WHO Classification of Tumours. Vol. 3 (5th ed.). Lyon (France): International Agency for Research on Cancer. pp. 345–347. ISBN 978-92-832-4503-2. Archived from the original on 2021-06-13. Retrieved 2021-07-04.
- 1 2 3 4 5 6 7 8 Bocklage, Therese J.; Quinn, Robert; Verschraegen, Claire; Schmit, Berndt (2014). "16. Cartilaginous tumours of bones and joints". Bone and Soft Tissue Tumors: A Multidisciplinary Review with Case Presentations. London: JP Medical Ltd. p. 379. ISBN 978-1-907816-22-2. Archived from the original on 2021-07-09. Retrieved 2021-07-05.
- 1 2 3 4 5 Engel, Hannes; Herget, Georg W.; Füllgraf, Hannah; Sutter, Reto; Benndorf, Matthias; Bamberg, Fabian; Jungmann, Pia M. (March 2021). "Chondrogenic Bone Tumors: The Importance of Imaging Characteristics". RoFo: Fortschritte Auf Dem Gebiete Der Rontgenstrahlen Und Der Nuklearmedizin. 193 (3): 262–275. doi:10.1055/a-1288-1209. ISSN 1438-9010. PMID 33152784. Archived from the original on 2021-07-09. Retrieved 2021-07-05.
- ↑ WHO Classification of Tumours Editorial Board, ed. (2020). "Bone tumors". Soft Tissue and Bone Tumours: WHO Classification of Tumours. Vol. 3 (5th ed.). Lyon (France): International Agency for Research on Cancer. pp. 345–347. ISBN 978-92-832-4503-2.
- ↑ Bolognia, Jean L.; Schaffer, Julie V.; Duncan, Karynne O.; Ko, Christine (2021). "58. Nail disorders". Dermatology Essentials (2nd ed.). Elsevier. p. 569. ISBN 978-0-323-62453-4. Archived from the original on 2024-01-20. Retrieved 2024-01-17.
- ↑ James, William D.; Elston, Dirk; Treat, James R.; Rosenbach, Misha A.; Neuhaus, Isaac (2020). "28. Dermal and subcutaneous tumors". Andrews' Diseases of the Skin: Clinical Dermatology (13th ed.). Elsevier. p. 616. ISBN 978-0-323-54753-6. Archived from the original on 2023-04-29. Retrieved 2023-06-15.
- 1 2 DaCambra, Mark P.; Gupta, Sumit K.; Ferri-de-Barros, Fabio (April 2014). "Subungual Exostosis of the Toes: A Systematic Review". Clinical Orthopaedics and Related Research. 472 (4): 1251–1259. doi:10.1007/s11999-013-3345-4. ISSN 0009-921X. Archived from the original on 29 August 2021. Retrieved 26 May 2021.
- ↑ Suga H, Mukouda M (2005). "Subungual exostosis: a review of 16 cases focusing on postoperative deformity of the nail". Annals of Plastic Surgery. 55 (3): 272–5. doi:10.1097/01.sap.0000174356.70048.b8. PMID 16106166.
- ↑ Murphey MD, Choi JJ, Kransdorf MJ, et al: Imaging of osteochondroma: variants and complications with radiologic-pathologic correlation. Radiographics 20:1407-1434, 2000
- ↑ Lee SK, Jung MS, Lee YH, Gong HS, Kim JK, Baek GH (2007). "Two distinctive subungual pathologies: subungual exostosis and subungual osteochondroma". Foot & Ankle International. 28 (5): 595–601. doi:10.3113/FAI.2007.0595. PMID 17559767.
External links
| Classification |
|---|
