Thymic hypoplasia
| Thymic hypoplasia | |
|---|---|
![]() | |
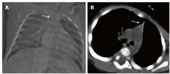
| Thymic hypoplasia in infant with primary immunodeficiency- a) Small thymus b) triangular configuration of thymus | |
Thymic hypoplasia is a condition where the thymus is underdeveloped or involuted.[1]
Calcium levels can be used to distinguish between the following two conditions associated with thymic hypoplasia:
- 22q11.2 deletion syndrome: hypocalcemia
- Ataxia telangiectasia: normal levels of calcium
References
- ↑ Weedon, David (1 January 2010). "38 - Vascular tumors". Weedon's Skin Pathology (Third Edition). Churchill Livingstone: 887–925.e31. Retrieved 12 November 2022.
External links
| Classification |
|---|
This article is issued from Wmcloud. The text is licensed under Creative Commons - Attribution - Sharealike. Additional terms may apply for the media files.
