Tornwaldt cyst
| Tornwaldt cyst | |
|---|---|
![]() | |
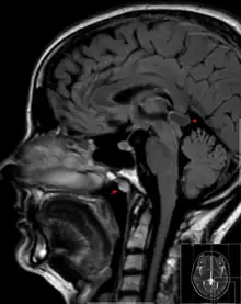
| Tornwaldt cyst imaged on sagittal MRI (FLAIR). The cyst appears hyperintense in the midline of the nasopharynx (arrow). In this case there is also a cyst of the pinealis gland (arrowhead) showing a signal intensity slightly higher than the CSF. | |
| Specialty | ENT surgery |
A Tornwaldt cyst also spelt as Thornwaldt or Thornwald cyst[1] is a benign cyst located in the upper posterior nasopharynx. It was first described by Gustav Ludwig Tornwaldt. It can be seen on computed tomography (CT) or magnetic resonance imaging (MRI) of the head as a well-circumscribed round mass lying in the midline. In most cases, treatment is not necessary. Indications for treatment include symptomatic lesions, large lesions (>1 cm), or lesions adjacent to the eustachian tube orifice.[2]
See also
References
- â Gaillard, Frank. "Tornwaldt cyst | Radiology Reference Article | Radiopaedia.org". Radiopaedia. Retrieved 2019-10-02.
- â Jyotirmay, Hegde; kumar, SJ Arun; Preetam, Patil; Manjunath, Dandinarasaiah; Bijiraj, V V (August 2014). "Recent Trends in the Management of Thornwaldts cyst: A Case Report". Journal of Clinical and Diagnostic Research. 8 (8): KD03âKD04. doi:10.7860/JCDR/2014/8086.4695. ISSN 2249-782X. PMC 4190747. PMID 25302225.
External links
Wikimedia Commons has media related to Tornwaldt's cyst.
This article is issued from Wmcloud. The text is licensed under Creative Commons - Attribution - Sharealike. Additional terms may apply for the media files.
