Triquetral bone

Triquetral bone
The left triquetal bone
Details
Articulationsarticulates with three bones:
lunate laterally
pisiform in front
hamate distally
triangular articular disk which separates it from the lower end of the ulna.
Latinos triquetrum, os pyramidale
Anatomical terms of bone

Triquetral bone (/trˈkwɛtrəl, -ˈkw-/; also called triquetrum, pyramidal, three-faced, and formerly cuneiform bone) is located in the wrist on the medial side of the proximal row of the carpus between the lunate and pisiform bones. It is on the ulnar side of the hand, but does not articulate with the ulna. It connects with the pisiform, hamate, and lunate bones. It is the 2nd most commonly fractured carpal bone.

Structure

The triquetral is one of the eight carpal bones of the hand. It is a three-faced bone found within the proximal row of carpal bones. Situated beneath the pisiform, it is one of the carpal bones that form the carpal arch, within which lies the carpal tunnel. [1]:708

The triquetral bone may be distinguished by its pyramidal shape, and by an oval isolated facet for articulation with the pisiform bone. It is situated at the upper and ulnar side of the carpus. To facilitate its palpation in an exam, the hand must be radially deviated so that the triquetrium moves out from under the ulnar styloid process. The triquetrum may be difficult to find, since it also lies under the pisiform.

Ossification

The triquetral bone ossifies between 9 months and 50 months (4 years and 2 months).[2]

Surfaces

The superior surface presents a medial, rough, non-articular portion, and a lateral convex articular portion which articulates with the triangular articular disk of the wrist.

The inferior surface, directed lateralward, is concave, sinuously curved, and smooth for articulation with the hamate. The dorsal surface is rough for the attachment of ligaments.

The volar surface presents, on its medial part, an oval facet, for articulation with the pisiform; its lateral part is rough for ligamentous attachment.

The lateral surface, the base of the pyramid, is marked by a flat, quadrilateral facet, for articulation with the lunate.

The medial surface, the summit of the pyramid, is pointed and roughened, for the attachment of the ulnar collateral ligament of the wrist.

Function

The carpal bones function as a unit to provide a bony superstructure for the hand.[1] :708

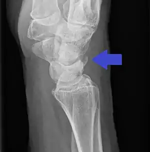
Fracture

Triquetral avulsion fracture

Triquetral fractures can occur due to forceful flexion of the wrist, causing an avulsion of the dorsal aspect of the bone that is often hidden on anterior radiographs, but can be seen as a tiny bone fragment on lateral views.

Treatment is generally by casting for 4 to 6 weeks.[3]

Etymology

The etymology derives from the Latin triquetrus which means "three-cornered." Therefore, it is sometimes also called the "triangular bone" or "os triangulare". However, os triangulare may also refer to a nearby accessory bone.

Other animals

In reptiles and amphibians, the bone is instead referred to as the ulnare, since (at least in the most primitive fossils) it articulates with the ulna.

References

  1. 1 2 Drake, Richard L.; Vogl, Wayne; Tibbitts, Adam W.M. Mitchell; illustrations by Richard; Richardson, Paul (2005). Gray's anatomy for students. Philadelphia: Elsevier/Churchill Livingstone. ISBN 978-0-8089-2306-0.
  2. Balachandran, Ajay; Kartha, Moumitha; Krishna, Anooj; Thomas, Jerry; K, Prathilash; TN, Prem; GK, Libu; B, Krishnan; John, Liza (2014). "A Study of Ossification of Capitate, Hamate, Triquetral & Lunate in Forensic Age Estimation". Indian Journal of Forensic Medicine & Toxicology. 8 (2): 218–224. doi:10.5958/0973-9130.2014.00720.8. ISSN 0973-9130. Archived from the original on 25 January 2020. Retrieved 18 August 2014.
  3. Guo, RC; Cardenas, JM; Wu, CH (April 2021). "Triquetral Fractures Overview". Current reviews in musculoskeletal medicine. 14 (2): 101–106. doi:10.1007/s12178-021-09692-w. PMID 33483875.

See also

This article is issued from Wmcloud. The text is licensed under Creative Commons - Attribution - Sharealike. Additional terms may apply for the media files.