XYYY syndrome

XYYY syndrome
Other names: 48,XYYY; triple Y syndrome[1]
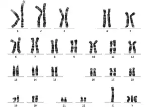
Karyotype of XYYY syndrome
SymptomsMild intellectual disability, irregular teeth, infertility, radioulnar synostosis, tall stature[2]
Usual onsetPresent at birth[3]
DurationLifelong
Diagnostic methodGenetic testing (karyotype)[3]
TreatmentSpeech therapy, educational support[1]
PrognosisGenerally okay[1]
FrequencyRare[3]

XYYY syndrome, also known as 48,XYYY, is a chromosomal disorder in which a male has two extra Y chromosomes.[1] Symptoms may include mild intellectual disability, irregular teeth, infertility, radioulnar synostosis, and tall stature.[2][4]

The underlying mechanism is believed to involve fertilization of a normal egg by a sperm containing three Y chromosomes.[3] Such a sperm could be produced by nondisjunction during meiosis.[3] In some, only part of their cells are affected.[1] Diagnosis is by genetic testing, often a karyotype, though other techniques may be used.[3] It is a type of sex chromosome aneuploidy.[5]

Speech therapy and educational support may be required.[1] Outcomes are generally okay, with a reasonable life expectancy.[1][3] XYYY syndrome is exceptionally rare, with about 10 reported cases as of 2018.[3] Though, further undiagnosed cases may exist.[1] The condition was first described in 1965.[3]

Signs and symptoms

Clinodactyly of the right hand

The presentation of XYYY syndrome is variable and at this time not entirely clear. All known cases were diagnosed after birth, and the similar XYY syndrome is known to have milder symptoms in cases diagnosed before than after birth, it is thus suspected that many cases of XYYY syndrome may be mild or asymptomatic.[1]

The intellectual abilities of known XYYY cases have varied, especially in cases with mosaicism, but in most cases are in the borderline intellectual functioning range.[6] Performance IQ is often higher than verbal IQ.[7] Mild speech delays have been reported.[3] Basic self-care skills, such as toileting, dressing, eating, and hygiene, are normal or at most slightly delayed.[1] A number of minor skeletal anomalies are observed, such as clinodactyly,[8] radioulnar synostosis (the fusion of the long bones in the forearm), and poor dental development. These findings are also observed in other sex chromosome aneuploidies.[1] Height is normal to tall, with some cases of abnormally tall stature.[1][8] Aside from severe acne in adolescence, XYYY syndrome is not associated with any obvious physical or facial abnormalities.[6]

As very few cases of XYYY syndrome in adult men have been reported, drawing certain conclusions about sexual functioning and reproduction is difficult. However, low testosterone appears to be associated. All adult men with a non-mosaic 48,XYYY karyotype known to the medical literature have been azoospermic, though one man reported with a 46,XY/48,XYYY mosaic complement (81.1% 48,XYYY) had some evidence of spermatogenesis.[6] Some adults have had impulsive or aggressive sexual behaviour, while some have had low sex drives and no apparent sexual interest; one had gender dysphoria.[6][9] Two men with XYYY syndrome are known to have had independent adult lives, marrying and finding employment, and only came to medical attention for infertility.[3][10]

Behavioural issues, varying in severity, are associated with the syndrome. Some patients have been transferred to special schools, high-security group homes, or institutions due to severe aggression.[11] However, those cases with particularly severe behavioural issues have generally been from problematic or abusive familial backgrounds.[7] While some descriptions of the syndrome emphasize aggression as a characteristic, the majority of parent reports from a leading chromosome disorder charity emphasize insecurity, immaturity, and shyness.[1] Though teenage boys with XYYY syndrome may be at-risk adolescents, they are capable of positive identity formation, and case reports following the identity formation and personal development of XYYY adolescents have demonstrated a desire to have healthy relationships and integrate successfully into society.[11]

Causes

XYYY syndrome is caused by two extra copies of the Y chromosome, the chromosome that determines male sexual development. Sex chromosome aneuploidies are the most frequent form of aneuploidy in humans.[12] Though a 48-chromosome complement involving the autosomes would be unsurvivable, 48,XYYY and other high-level sex chromosome aneuploidies such as XXXY syndrome and tetrasomy X—or indeed 49-chromosome disorders such as pentasomy X—are survivable with relatively mild phenotypes due to the paucity of genes vital to basic development on the sex chromosomes.[7][13]

Sex chromosome aneuploidies occur via a process known as non-disjunction, where chromosomes fail to divide properly during cell division and produce gametes, in this case sperm, with an abnormal number of chromosomes.[14] In the case of XYYY syndrome, the karyotype may be a result of non-disjunction with an XYY father, or of double non-disjunction resulting in a YYY sperm with a chromosomally normal father.[8] Non-disjunction can also arise during embryo development shortly after conception, which often gives rise to mosaicism.[1]

Diagnosis

Chromosome aneuploidies such as 48,XYYY are diagnosed via karyotype.[15] Rarely, XYYY syndrome has been detected prenatally via amniocentesis, though no prenatally diagnosed cases of XYYY syndrome have survived to birth.[16]

Epidemiology

XYYY syndrome is exceptionally rare. Only twelve cases have been reported in the medical literature,[11] in addition to four mosaic cases.[6] As the related XYY syndrome is much more common and has a mild to asymptomatic phenotype, it is speculated that there may be many undiagnosed cases of XYYY syndrome that are milder than those medically reported.[1]

History

XYYY syndrome was first recorded in 1965, when the 48,XYYY karyotype was found in a five-year-old boy evaluated for borderline intellectual disability.[17] Another case of non-mosaic 48,XYYY would not be reported until 1972, highlighting the rarity of the syndrome.[18] As karyotyping at the time was in its infancy, confirming many early cases was difficult; one early recorded case of a supposed 47,XYY/48,XYYY mosaic was found after further investigation to have an unrelated chromosomal rearrangement.[19][20]

Early research into men with Y-chromosome polysomy was focused on the possibility for violent and criminal behaviour. Cases would be screened for in prisons and mental hospitals, creating a cycle of confirmation for the hypothesis that men with additional Y chromosomes were criminals by only searching for them in criminal populations.[19][21] These assumptions would later be disproven by longitudinal studies of people diagnosed at birth with sex chromosome aneuploidies, which discovered that men with one additional Y chromosome had no particular criminal propensities and were barely distinguishable from the general population. However, as the only conditions to be found in such population surveys were Klinefelter's syndrome, trisomy X, and XYY syndrome, rarer conditions such as XYYY syndrome remain little-understood.[22]

Comparison with XYY syndrome

The much better-understood XYY syndrome occurs in approximately 1 in 1,000 males.[23] XYY syndrome is known to have a milder phenotype in cases found by chance, such as during prenatal screening, than in those karyotyped due to a medical or behavioural indication.[21] As all described cases of XYYY syndrome were ascertained due to a medical indication, it is unclear whether the relatively severe phenotype described in the medical literature is representative of all XYYY cases, or if there are milder cases that have not been brought to diagnostic attention.[1]

The two syndromes have a number of symptoms in common, such as tall stature (although the height increase in XYY appears greater than that in XYYY[1][21]) and behavioural issues. One significant observed distinction is that while males with 47,XYY karyotypes usually have normal fertility, 48,XYYY appears associated with infertility or sterility. The 47,XYY karyotype is associated with an increased expression of H-Y antigen, and the azoospermia observed in 48,XYYY subjects may in turn be associated with a higher expression of H-Y antigen than in 47,XYY.[8]

References

  1. 1 2 3 4 5 6 7 8 9 10 11 12 13 14 15 16 17 Unique, Tartaglia N, Hultén M (2005). "XYYY syndrome" (PDF). Unique. Archived (PDF) from the original on 25 April 2021. Retrieved 18 March 2021.
  2. 1 2 "Orphanet: 48,XYYY syndrome". www.orpha.net. Archived from the original on 18 September 2022. Retrieved 31 January 2023.
  3. 1 2 3 4 5 6 7 8 9 10 11 Abedi M, Salmaninejad A, Sakhinia E (January 2018). "Rare 48,XYYY syndrome: case report and review of the literature". Clinical Case Reports. 6 (1): 179–184. doi:10.1002/ccr3.1311. PMC 5771943. PMID 29375860.
  4. "48,XYYY". GARD. Archived from the original on 28 April 2021. Retrieved 31 January 2023.
  5. Davis, Andrew S. (20 December 2012). Psychopathology of Childhood and Adolescence: A Neuropsychological Approach. Springer Publishing Company. p. 581. ISBN 978-0-8261-0920-0. Archived from the original on 1 February 2023. Retrieved 31 January 2023.
  6. 1 2 3 4 5 Teyssier M, Pousset G (January 1994). "46,XY/48,XYYY mosaicism case report and review of the literature". Genetic Counselling. 5 (4): 357–361. PMID 7888137. Archived from the original on 2021-04-21. Retrieved 2023-01-15.
  7. 1 2 3 Linden MG, Bender BG, Robinson A (October 1995). "Sex chromosome tetrasomy and pentasomy". Pediatrics. 96 (4): 672–682. doi:10.1542/peds.96.4.672. PMID 7567329. Archived from the original on 2021-04-23. Retrieved 2023-01-15.
  8. 1 2 3 4 Mazauric-Stüker M, Kordt G, Brodersen D (January 1992). "Y aneuploidy: a further case of a male patient with a 48,XYYY karyotype and literature review". Annales de Génétique. 35 (4): 237–240. PMID 1296523. Archived from the original on 2021-04-21. Retrieved 2023-01-15.
  9. Ridler MAC, Lax R, Mitchell MJ, Shapiro A, Saldaña‐Garcia P (January 1973). "An adult male with XYYY sex chromosomes". Clinical Genetics. 4 (1): 69–77. doi:10.1111/j.1399-0004.1973.tb01125.x. PMID 4691557. S2CID 879069.
  10. Hori N, Kato T, Sugimura Y, Tajima K, Tochigi H, Kawamura J (1 May 1988). "A Male Subject with 3 Y Chromosomes (48,XYYY): A Case Report". Journal of Urology. 139 (5): 1059–1061. doi:10.1016/S0022-5347(17)42772-8. PMID 3361645.
  11. 1 2 3 Rausch JL (January 2012). "A Case Study of the Identity Development of an Adolescent Male with Emotional Disturbance and 48, XYYY Karyotype in an Institutional Setting". The Qualitative Report. 17 (1). Archived from the original on 2021-04-21. Retrieved 2023-01-15 via Education Resources Information Center.
  12. Le Gall J, Nizon M, Pichon O, Andrieux J, Audebert-Bellanger S, Baron S, Beneteau C, Bilan F, Boute O, Busa T, Cormier-Daire V, Ferec C, Fradin M, Gilbert-Dussardier B, Jaillard S, Jønch A, Martin-Coignard D, Mercier S, Moutton S, Rooryck C, Schaefer E, Vincent M, Sanlaville D, Le Caignec C, Jacquemont S, David A, Isidor B (14 June 2017). "Sex chromosome aneuploidies and copy-number variants: a further explanation for neurodevelopmental prognosis variability?". European Journal of Human Genetics. 25 (8): 930–934. doi:10.1038/ejhg.2017.93. PMC 5567159. PMID 28612834.
  13. Unique, Rooman R, Hultén M (2005). "Pentasomy X" (PDF). Unique. Archived (PDF) from the original on 15 April 2021. Retrieved 19 March 2021.
  14. Robinson DO, Jacobs PA (1 November 1999). "The origin of the extra Y chromosome in males with a 47,XYY karyotype" (PDF). Human Molecular Genetics. 8 (12): 2205–2209. doi:10.1093/hmg/8.12.2205. PMID 10545600.
  15. O'Connor C (2008). "Chromosomal Abnormalities: Aneuploidies". Nature Education. Archived from the original on 3 November 2020. Retrieved 19 March 2021.
  16. Venkataraman G, Craft I (October 2002). "Triple-Y syndrome following ICSI treatment in a couple with normal chromosomes: Case report". Human Reproduction. 17 (10): 2560–2563. doi:10.1093/humrep/17.10.2560. PMID 12351529.
  17. Townes PL, Ziegler NA, Lenhard L (15 May 1965). "A patient with 48 chromosomes (XYYY)". The Lancet. 285 (7394): 1041–1043. doi:10.1016/S0140-6736(65)91315-2. PMID 14283740.
  18. Schoepflin GS, Centerwall WR (September 1972). "48,XYYY: a new syndrome?". Journal of Medical Genetics. 9 (3): 356–360. doi:10.1136/jmg.9.3.356. PMC 1469123. PMID 4116771.
  19. 1 2 Wiener S, Sutherland G, Bartholomew A, Hudson B (January 1968). "XYY males in a Melbourne prison". The Lancet. 291 (7534): 150. doi:10.1016/s0140-6736(68)92770-0. PMID 4169643.
  20. Wiener S, Sutherland G, Bartholomew AA (1 March 1969). "A Murderer with 47,XYY and an Additional Autosomal Abnormality". Journal of Criminology. 2 (1): 20–28. doi:10.1177/000486586900200103. S2CID 57515740.
  21. 1 2 3 Unique, Ross J, Bishop D (2014). "XYY" (PDF). Unique. Archived (PDF) from the original on 8 March 2021. Retrieved 19 March 2021.
  22. Robinson, Arthur; Lubs, Herbert A.; Bergsma, Daniel, eds. (1979). Sex chromosome aneuploidy: prospective studies on children. Birth defects original article series 15 (1). New York: Alan R. Liss. ISBN 978-0-8451-1024-9. Archived from the original on 2023-01-17. Retrieved 2023-01-15.
  23. "47,XYY syndrome". MedLine Plus. 8 September 2020. Archived from the original on 20 March 2021. Retrieved 21 March 2021.
This article is issued from Wmcloud. The text is licensed under Creative Commons - Attribution - Sharealike. Additional terms may apply for the media files.