Zika virus
Zika virus | |
---|---|
![]() | |
Electron micrograph of Zika virus. Virus particles (digitally colored purple) are 40 nm in diameter, with an outer envelope and a dense inner core.[1] | |
![]() | |
Zika virus capsid model, colored by chains, PDB entry 5ire[2] | |
Virus classification ![]() | |
(unranked): | Virus |
Realm: | Riboviria |
Kingdom: | Orthornavirae |
Phylum: | Kitrinoviricota |
Class: | Flasuviricetes |
Order: | Amarillovirales |
Family: | Flaviviridae |
Genus: | Flavivirus |
Species: | Zika virus |
Zika virus (ZIKV) (pronounced /ˈziːkə/ or /ˈzɪkə/[3][4]) is a member of the virus family Flaviviridae.[5] It is spread by daytime-active Aedes mosquitoes, such as A. aegypti and A. albopictus.[5] Its name comes from the Ziika Forest of Uganda, where the virus was first isolated in 1947.[6] Zika virus shares a genus with the dengue, yellow fever, Japanese encephalitis, and West Nile viruses.[6] Since the 1950s, it has been known to occur within a narrow equatorial belt from Africa to Asia. From 2007 to 2016, the virus spread eastward, across the Pacific Ocean to the Americas, leading to the 2015–2016 Zika virus epidemic.[7]
The infection, known as Zika fever or Zika virus disease, often causes no or only mild symptoms, similar to a very mild form of dengue fever.[5] While there is no specific treatment, paracetamol (acetaminophen) and rest may help with the symptoms.[8] As of April 2019, no vaccines have been approved for clinical use, however a number of vaccines are currently in clinical trials.[9][10][11] Zika can spread from a pregnant woman to her baby. This can result in microcephaly, severe brain malformations, and other birth defects.[12][13] Zika infections in adults may result rarely in Guillain–Barré syndrome.[14]
In January 2016, the United States Centers for Disease Control and Prevention (CDC) issued travel guidance on affected countries, including the use of enhanced precautions, and guidelines for pregnant women including considering postponing travel.[15][16] Other governments or health agencies also issued similar travel warnings,[17][18][19] while Colombia, the Dominican Republic, Puerto Rico, Ecuador, El Salvador, and Jamaica advised women to postpone getting pregnant until more is known about the risks.[18][20]
Virology
Zika virus belongs to the family Flaviviridae and the genus Flavivirus, thus is related to the dengue, yellow fever, Japanese encephalitis, and West Nile viruses. Like other flaviviruses, Zika virus is enveloped and icosahedral and has a nonsegmented, single-stranded, 10 kilobase, positive-sense RNA genome. It is most closely related to the Spondweni virus and is one of the two known viruses in the Spondweni virus clade.[21][22][23][24][25]
A positive-sense RNA genome can be directly translated into viral proteins. As in other flaviviruses, such as the similarly sized West Nile virus, the RNA genome encodes seven nonstructural proteins and three structural proteins.[26] One of the structural proteins encapsulates the virus. This protein is the flavivirus envelope glycoprotein, that binds to the endosomal membrane of the host cell to initiate endocytosis.[27] The RNA genome forms a nucleocapsid along with copies of the 12-kDa capsid protein. The nucleocapsid, in turn, is enveloped within a host-derived membrane modified with two viral glycoproteins. Viral genome replication depends on the making of double-stranded RNA from the single-stranded, positive-sense RNA (ssRNA(+)) genome followed by transcription and replication to provide viral mRNAs and new ssRNA(+) genomes.[28][29]
A longitudinal study shows that 6 hours after cells are infected with Zika virus, the vacuoles and mitochondria in the cells begin to swell. This swelling becomes so severe, it results in cell death, also known as paraptosis. This form of programmed cell death requires gene expression. IFITM3 is a trans-membrane protein in a cell that is able to protect it from viral infection by blocking virus attachment. Cells are most susceptible to Zika infection when levels of IFITM3 are low. Once the cell has been infected, the virus restructures the endoplasmic reticulum, forming the large vacuoles, resulting in cell death.[30]
There are two Zika lineages: the African lineage and the Asian lineage.[31] Phylogenetic studies indicate that the virus spreading in the Americas is 89% identical to African genotypes, but is most closely related to the Asian strain that circulated in French Polynesia during the 2013–2014 outbreak.[31][32][33]
The Asian strain appears to have first evolved around 1928.[34]
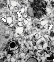
- Transmission electron microscopy image of Vero cells infected with Zika virus
- Cross-section of Zika virus, showing the viral envelope composed of envelope proteins (red) and membrane proteins (purple) embedded in the lipid membrane (white): The capsid proteins (orange) are shown interacting with the RNA genome (yellow) at the center of the virus.[35]
Transmission
The vertebrate hosts of the virus were primarily monkeys in a so-called enzootic mosquito-monkey-mosquito cycle, with only occasional transmission to humans. Before the current pandemic began in 2007, Zika "rarely caused recognized 'spillover' infections in humans, even in highly enzootic areas". Infrequently, however, other arboviruses have become established as a human disease and spread in a mosquito–human–mosquito cycle, like the yellow fever virus and the dengue fever virus (both flaviviruses), and the chikungunya virus (a togavirus).[36] Though the reason for the pandemic is unknown, dengue, a related arbovirus that infects the same species of mosquito vectors, is known in particular to be intensified by urbanization and globalization.[37] Zika is primarily spread by Aedes aegypti mosquitoes,[38] and can also be transmitted through sexual contact[39] or blood transfusions.[40] The basic reproduction number (R0, a measure of transmissibility) of Zika virus has been estimated to be between 1.4 and 6.6 .[41]
In 2015, news reports drew attention to the rapid spread of Zika in Latin America and the Caribbean.[42] At that time, the Pan American Health Organization published a list of countries and territories that experienced "local Zika virus transmission" comprising Barbados, Bolivia, Brazil, Colombia, the Dominican Republic, Ecuador, El Salvador, French Guiana, Guadeloupe, Guatemala, Guyana, Haiti, Honduras, Martinique, Mexico, Panama, Paraguay, Puerto Rico, Saint Martin, Suriname, and Venezuela.[43][44][45] By August 2016, more than 50 countries had experienced active (local) transmission of Zika virus.[46]
Mosquito
.png.webp)
Zika is primarily spread by the female Aedes aegypti mosquito, which is active mostly in the daytime.[47][48] The mosquitos must feed on blood to lay eggs.[49]: 2 The virus has also been isolated from a number of arboreal mosquito species in the genus Aedes, such as A. africanus, A. apicoargenteus, A. furcifer, A. hensilli, A. luteocephalus, and A. vittatus, with an extrinsic incubation period in mosquitoes around 10 days.[24]
The true extent of the vectors is still unknown. Zika has been detected in many more species of Aedes, along with Anopheles coustani, Mansonia uniformis, and Culex perfuscus, although this alone does not incriminate them as vectors.[48] To detect the presence of the virus usually requires genetic material to be analysed in a lab using the technique RT-PCR. A much cheaper and faster method involves shining a light at the head and thorax of the mosquito, and detecting chemical compounds characteristic of the virus using near-infrared spectroscopy.[50]
Transmission by A. albopictus, the tiger mosquito, was reported from a 2007 urban outbreak in Gabon, where it had newly invaded the country and become the primary vector for the concomitant chikungunya and dengue virus outbreaks.[51] New outbreaks can occur if a person carrying the virus travels to another region where A. albopictus is common.[52]
The potential societal risk of Zika can be delimited by the distribution of the mosquito species that transmit it. The global distribution of the most cited carrier of Zika, A. aegypti, is expanding due to global trade and travel.[53] A. aegypti distribution is now the most extensive ever recorded – on parts of all continents except Antarctica, including North America and even the European periphery (Madeira, the Netherlands, and the northeastern Black Sea coast).[54] A mosquito population capable of carrying Zika has been found in a Capitol Hill neighborhood of Washington, DC, and genetic evidence suggests they survived at least four consecutive winters in the region. The study authors conclude that mosquitos are adapting for persistence in a northern climate.[55] Zika virus appears to be contagious via mosquitoes for around a week after infection. The virus is thought to be infectious for a longer period of time after infection (at least 2 weeks) when transmitted via semen.[56][57]
Research into its ecological niche suggests that Zika may be influenced to a greater degree by changes in precipitation and temperature than dengue, making it more likely to be confined to tropical areas. However, rising global temperatures would allow for the disease vector to expand their range further north, allowing Zika to follow.[58]
Sexual
Zika can be transmitted from men and women to their sexual partners; most known cases involve transmission from symptomatic men to women.[39][59][60] As of April 2016, sexual transmission of Zika has been documented in six countries – Argentina, Australia, France, Italy, New Zealand, and the United States – during the 2015 outbreak.[14]
ZIKV can persist in semen for several months, with viral RNA detected up to one year.[61] The virus replicates in the human testis, where it infects several cell types including testicular macrophages, peritubular cells and germ cells, the spermatozoa precursors.[62] Semen parameters can be altered in patients for several weeks post-symptoms onset, and spermatozoa can be infectious.[63]
Since October 2016, the CDC has advised men who have traveled to an area with Zika should use condoms or not have sex for at least six months after their return as the virus is still transmissible even if symptoms never develop.[64]
Pregnancy
Zika virus can spread by vertical (or "mother-to-child") transmission, during pregnancy or at delivery.[12][65] An infection during pregnancy has been linked to changes in neuronal development of the unborn child.[66] Severe progressions of infection have been linked to the development of microcephaly in the unborn child, while mild infections potentially can lead to neurocognitive disorders in adulthood.[67][68] Congenital brain abnormalities other than microcephaly have also been reported after a Zika outbreak.[69] Studies in mice have suggested that maternal immunity to dengue virus may enhance fetal infection with Zika, worsen the microcephaly phenotype and/or enhance damage during pregnancy, but it is unknown whether this occurs in humans.[70][71]
Blood transfusion
As of April 2016, two cases of Zika transmission through blood transfusions have been reported globally, both from Brazil,[40] after which the US Food and Drug Administration (FDA) recommended screening blood donors and deferring high-risk donors for 4 weeks.[72][73] A potential risk had been suspected based on a blood-donor screening study during the French Polynesian Zika outbreak, in which 2.8% (42) of donors from November 2013 and February 2014 tested positive for Zika RNA and were all asymptomatic at the time of blood donation. Eleven of the positive donors reported symptoms of Zika fever after their donation, but only three of 34 samples grew in culture.[74]
Pathogenesis
Zika virus replicates in the mosquito's midgut epithelial cells and then its salivary gland cells. After 5–10 days, the virus can be found in the mosquito's saliva. If the mosquito's saliva is inoculated into human skin, the virus can infect epidermal keratinocytes, skin fibroblasts in the skin and the Langerhans cells. The pathogenesis of the virus is hypothesized to continue with a spread to lymph nodes and the bloodstream.[21][75] Flaviviruses replicate in the cytoplasm, but Zika antigens have been found in infected cell nuclei.[76]
The Zika virus protein NS4A can lead to small head size (microcephaly) because it disrupts brain growth by hijacking a pathway which regulates growth of new neurons.[77]
Zika fever

Zika fever (also known as Zika virus disease) is an illness caused by Zika virus.[79]
Most cases have no symptoms, but when present they are usually mild and can resemble dengue fever.[79][80] Symptoms may include fever, red eyes, joint pain, headache, and a maculopapular rash.[79][81][82] Symptoms generally last less than seven days.[81]
It has not caused any reported deaths during the initial infection.[80] Infection during pregnancy causes microcephaly and other brain malformations in some babies.[12][13] Infection in adults has been linked to Guillain–Barré syndrome (GBS) and Zika virus has been shown to infect human Schwann cells.[80][83]
Diagnosis is by testing the blood, urine, or saliva for the presence of Zika virus RNA when the person is sick.[79][81] In 2019, an improved diagnostic test, based on research from Washington University in St. Louis, that detects Zika infection in serum was granted market authorization by the FDA.[84]
Prevention involves decreasing mosquito bites in areas where the disease occurs, and proper use of condoms.[81][85] Efforts to prevent bites include the use of insect repellent, covering much of the body with clothing, mosquito nets, and getting rid of standing water where mosquitoes reproduce.[79] There is no vaccine.[81] Health officials recommended that women in areas affected by the 2015–2016 Zika outbreak consider putting off pregnancy and that pregnant women not travel to these areas.[81][86] While no specific treatment exists, paracetamol (acetaminophen) and rest may help with the symptoms.[81] Admission to a hospital is rarely necessary.[80]
Vaccine development
The World Health Organization has suggested that priority should be to develop inactivated vaccines and other nonlive vaccines, which are safe to use in pregnant women.[87]
As of March 2016, 18 companies and institutions were developing vaccines against Zika, but they state a vaccine is unlikely to be widely available for about 10 years.[87][88]
In June 2016, the FDA granted the first approval for a human clinical trial for a Zika vaccine.[89] In March 2017, a DNA vaccine was approved for phase-2 clinical trials. This vaccine consists of a small, circular piece of DNA, known as a plasmid, that expresses the genes for the Zika virus envelope proteins. As the vaccine does not contain the full sequence of the virus, it cannot cause infection.[90] As of April 2017, both subunit and inactivated vaccines have entered clinical trials.[91]
History
Virus isolation, 1947
The virus was first isolated in April 1947 from a rhesus macaque monkey placed in a cage in the Ziika Forest of Uganda, near Lake Victoria, by the scientists of the Yellow Fever Research Institute.[92] A second isolation from the mosquito A. africanus followed at the same site in January 1948.[93] When the monkey developed a fever, researchers isolated from its serum a "filterable transmissible agent" which was named Zika in 1948.[94]
First evidence of human infection, 1952
Zika was first known to infect humans from the results of a serological survey in Uganda, published in 1952.[95] Of 99 human blood samples tested, 6.1% had neutralizing antibodies. As part of a 1954 outbreak investigation of jaundice suspected to be yellow fever, researchers reported isolation of the virus from a patient,[96] but the pathogen was later shown to be the closely related Spondweni virus.[97] Spondweni was also determined to be the cause of a self-inflicted infection in a researcher reported in 1956.[98]
Spread in equatorial Africa and to Asia, 1951–2016
Subsequent serological studies in several African and Asian countries indicated the virus had been widespread within human populations in these regions.[94] The first true case of human infection was identified by Simpson in 1964,[99] who was himself infected while isolating the virus from mosquitoes.[94] From then until 2007, there were only 13 further confirmed human cases of Zika infection from Africa and Southeast Asia.[100] A study published in 2017 showed that the Zika virus, despite only a few cases were reported, has been silently circulated in West Africa for the last two decades when blood samples collected between 1992 and 2016 were tested for the ZIKV IgM antibodies.[101]
Micronesia, 2007
In April 2007, the first outbreak outside of Africa and Asia occurred on the island of Yap in the Federated States of Micronesia, characterized by rash, conjunctivitis, and arthralgia, which was initially thought to be dengue, chikungunya, or Ross River disease.[102] Serum samples from patients in the acute phase of illness contained RNA of Zika. There were 49 confirmed cases, 59 unconfirmed cases, no hospitalizations, and no deaths.[103]
2013–2014
After October 2013 Oceania's first outbreak showed an estimated 11% population infected for French Polynesia that also presented with Guillain–Barre syndrome (GBS). The spread of ZIKV continued to New Caledonia, Easter Island, and the Cook Islands and where 1385 cases were confirmed by January 2014. During the same year, Easter Island acknowledged 51 cases. Australia began seeing cases in 2012. Research showed it was brought by travelers returning from Indonesia and other infected countries. New Zealand also experienced infections rate increases through returning foreign travelers. Oceania countries experiencing Zika today are New Caledonia, Vanuatu, Solomon Islands, Marshall Islands, American Samoa, Samoa, and Tonga.[104]
Between 2013 and 2014, further epidemics occurred in French Polynesia, Easter Island, the Cook Islands, and New Caledonia.[4]
Americas, 2015–present

There was an epidemic in 2015 and 2016 in the Americas. The outbreak began in April 2015 in Brazil, and spread to other countries in South America, Central America, North America, and the Caribbean. In January 2016, the WHO said the virus was likely to spread throughout most of the Americas by the end of the year;[105] and in February 2016, the WHO declared the cluster of microcephaly and Guillain–Barré syndrome cases reported in Brazil – strongly suspected to be associated with the Zika outbreak – a Public Health Emergency of International Concern.[6][106][107][108] It was estimated that 1.5 million people were infected by Zika in Brazil,[109] with over 3,500 cases of microcephaly reported between October 2015 and January 2016.[110]
A number of countries issued travel warnings, and the outbreak was expected to significantly impact the tourism industry.[6][111] Several countries have taken the unusual step of advising their citizens to delay pregnancy until more is known about the virus and its impact on fetal development.[20] With the 2016 Summer Olympics hosted in Rio de Janeiro, health officials worldwide voiced concerns over a potential crisis, both in Brazil and when international athletes and tourists returned home and possibly would spread the virus. Some researchers speculated that only one or two tourists might be infected during the three-week period, or approximately 3.2 infections per 100,000 tourists.[112] In November 2016, the World Health Organization declared that Zika virus was no longer a global emergency while noting that the virus still represents "a highly significant and a long-term problem".[113]
As of August 2017 the number of new Zika virus cases in the Americas had fallen dramatically.[114]
Other cases
On 22 March 2016, Reuters reported that Zika was isolated from a 2014 blood sample of an elderly man in Chittagong in Bangladesh as part of a retrospective study.[115] Zika is also occurring in Tanzania as of 2016.[116]
Between August and November 2016, 455 cases of Zika virus infection were confirmed in Singapore.[117][118]
In 2017, Angola reported two cases of Zika fever.[119]
References
- ↑ Goldsmith, Cynthia (18 March 2005). "TEM image of the Zika virus". Centers for Disease Control and Prevention. Archived from the original on 9 December 2017. Retrieved 4 March 2016.
- ↑ Sirohi D, Chen Z, Sun L, Klose T, Pierson TC, Rossmann MG, Kuhn RJ (April 2016). "The 3.8 Å resolution cryo-EM structure of Zika virus". Science. 352 (6284): 467–470. Bibcode:2016Sci...352..467S. doi:10.1126/science.aaf5316. PMC 4845755. PMID 27033547.
- ↑ "How to pronounce Zika". HowToPronounce.com. Archived from the original on 17 January 2018. Retrieved 6 February 2016.
- 1 2 "Zika virus". Emerging Infectious Diseases. 20 (6): 1090. June 2014. doi:10.3201/eid2006.ET2006. PMC 4036762. PMID 24983096.
- 1 2 3 Malone RW, Homan J, Callahan MV, Glasspool-Malone J, Damodaran L, Schneider A, et al. (March 2016). "Zika Virus: Medical Countermeasure Development Challenges". PLOS Neglected Tropical Diseases. 10 (3): e0004530. doi:10.1371/journal.pntd.0004530. PMC 4774925. PMID 26934531.
- 1 2 3 4 Sikka V, Chattu VK, Popli RK, Galwankar SC, Kelkar D, Sawicki SG, Stawicki SP, Papadimos TJ (11 February 2016). "The Emergence of Zika Virus as a Global Health Security Threat: A Review and a Consensus Statement of the INDUSEM Joint working Group (JWG)". Journal of Global Infectious Diseases. 8 (1): 3–15. doi:10.4103/0974-777X.176140. PMC 4785754. PMID 27013839.
- ↑ Mehrjardi MZ (1 January 2017). "Is Zika Virus an Emerging TORCH Agent? An Invited Commentary". Virology. 8: 1178122X17708993. doi:10.1177/1178122X17708993. PMC 5439991. PMID 28579764.
- ↑ "Symptoms, Diagnosis, & Treatment". Zika virus. Atlanta: Centers for Disease Control and Prevention. 3 March 2016. Archived from the original on 29 January 2016. Retrieved 4 March 2016.
- ↑ Abbink, P; Stephenson, KE; Barouch, DH (19 June 2018). "Zika virus vaccines". Nature Reviews. Microbiology. 16 (10): 594–600. doi:10.1038/s41579-018-0039-7. PMC 6162149. PMID 29921914.
- ↑ Fernandez, E; Diamond, MS (19 April 2017). "Vaccination strategies against Zika virus". Current Opinion in Virology. 23: 59–67. doi:10.1016/j.coviro.2017.03.006. PMC 5576498. PMID 28432975.
- ↑ "Zika Virus Vaccines | NIH: National Institute of Allergy and Infectious Diseases". www.niaid.nih.gov. Archived from the original on 29 April 2017. Retrieved 29 April 2017.
- 1 2 3 Rasmussen SA, Jamieson DJ, Honein MA, Petersen LR (May 2016). "Zika virus and birth defects – Reviewing the Evidence for Causality". The New England Journal of Medicine. 374 (20): 1981–1987. doi:10.1056/NEJMsr1604338. PMID 27074377. S2CID 20675635. Archived from the original on 27 August 2021. Retrieved 1 December 2019.
- 1 2 "CDC concludes Zika causes microcephaly and other birth defects". CDC. 13 April 2016. Archived from the original on 14 April 2016. Retrieved 14 April 2016.
- 1 2 "Zika virus microcephaly and Guillain–Barré syndrome situation report" (PDF). World Health Organization. 7 April 2016. Archived (PDF) from the original on 16 April 2016. Retrieved 8 April 2016.
- ↑ "Zika Virus in the Caribbean". Travelers' Health: Travel Notices. Centers for Disease Control and Prevention. 15 January 2016. Archived from the original on 24 December 2018. Retrieved 18 December 2018.
- ↑ Petersen EE, Staples JE, Meaney-Delman D, Fischer M, Ellington SR, Callaghan WM, Jamieson DJ (January 2016). "Interim Guidelines for Pregnant Women During a Zika Virus Outbreak – United States, 2016". MMWR. Morbidity and Mortality Weekly Report. 65 (2): 30–33. doi:10.15585/mmwr.mm6502e1. PMID 26796813.
- ↑ "Zika virus: Advice for those planning to travel to outbreak areas". ITV Report. ITV News. 22 January 2016. Archived from the original on 28 January 2016. Retrieved 24 January 2016.
- 1 2 "Pregnant Irish women warned over Zika virus in central and South America". RTÉ News. 22 January 2016. Archived from the original on 31 July 2018. Retrieved 23 January 2016.
- ↑ "Zika: Olympics plans announced by Rio authorities". BBC News. British Broadcasting Corporation. 24 January 2016. Archived from the original on 31 July 2018. Retrieved 24 January 2016.
The Rio de Janeiro authorities have announced plans to prevent the spread of the Zika virus during the Olympic Games later this year. ... The US, Canada and EU health agencies have issued warnings saying pregnant women should avoid traveling to Brazil and other countries in the Americas which have registered cases of Zika.
- 1 2 "Zika virus triggers pregnancy delay calls". BBC News. 23 January 2016. Archived from the original on 6 May 2019. Retrieved 23 January 2016.
- 1 2 Knipe, David M.; Howley, Peter M. (2007). Fields Virology (5th ed.). Lippincott Williams & Wilkins. pp. 1156, 1199. ISBN 978-0-7817-6060-7. Archived from the original on 21 June 2016. Retrieved 7 February 2016.
- 1 2 Faye O, Freire CC, Iamarino A, Faye O, de Oliveira JV, Diallo M, et al. (9 January 2014). "Molecular evolution of Zika virus during its emergence in the 20(th) century". PLOS Neglected Tropical Diseases. 8 (1): e2636. doi:10.1371/journal.pntd.0002636. PMC 3888466. PMID 24421913.
- ↑ Cao-Lormeau VM, Roche C, Teissier A, Robin E, Berry AL, Mallet HP, et al. (June 2014). "Zika virus, French polynesia, South pacific, 2013". Emerging Infectious Diseases. 20 (6): 1085–1086. doi:10.3201/eid2006.140138. PMC 4036769. PMID 24856001.
- 1 2 Hayes EB (September 2009). "Zika virus outside Africa". Emerging Infectious Diseases. 15 (9): 1347–1350. doi:10.3201/eid1509.090442. PMC 2819875. PMID 19788800.
- ↑ Kuno G, Chang GJ (1 January 2007). "Full-length sequencing and genomic characterization of Bagaza, Kedougou, and Zika viruses". Archives of Virology. 152 (4): 687–696. doi:10.1007/s00705-006-0903-z. PMID 17195954. Archived from the original on 26 September 2019. Retrieved 8 September 2019.
- ↑ Cox BD, Stanton RA, Schinazi RF (August 2015). "Predicting Zika virus structural biology: Challenges and opportunities for intervention". Antiviral Chemistry & Chemotherapy. 24 (3–4): 118–126. doi:10.1177/2040206616653873. PMC 5890524. PMID 27296393.
- ↑ Dai L, Song J, Lu X, Deng YQ, Musyoki AM, Cheng H, et al. (May 2016). "Structures of the Zika Virus Envelope Protein and Its Complex with a Flavivirus Broadly Protective Antibody". Cell Host & Microbe. 19 (5): 696–704. doi:10.1016/j.chom.2016.04.013. PMID 27158114.
- ↑ "ViralZone: Zika virus (strain Mr 766)". viralzone.expasy.org. SIB Swiss Institute of Bioinformatics. Archived from the original on 29 April 2017. Retrieved 24 August 2016.
- ↑ Pierson TC, Diamond MS (April 2012). "Degrees of maturity: the complex structure and biology of flaviviruses". Current Opinion in Virology. 2 (2): 168–175. doi:10.1016/j.coviro.2012.02.011. PMC 3715965. PMID 22445964.
- ↑ Monel B, Compton AA, Bruel T, Amraoui S, Burlaud-Gaillard J, Roy N, et al. (June 2017). "Zika virus induces massive cytoplasmic vacuolization and paraptosis-like death in infected cells". The EMBO Journal. 36 (12): 1653–1668. doi:10.15252/embj.201695597. PMC 5470047. PMID 28473450.
- 1 2 Enfissi A, Codrington J, Roosblad J, Kazanji M, Rousset D (January 2016). "Zika virus genome from the Americas". Lancet. 387 (10015): 227–228. doi:10.1016/S0140-6736(16)00003-9. PMID 26775124.
- ↑ Zanluca C, Melo VC, Mosimann AL, Santos GI, Santos CN, Luz K (June 2015). "First report of autochthonous transmission of Zika virus in Brazil". Memórias do Instituto Oswaldo Cruz. 110 (4): 569–572. doi:10.1590/0074-02760150192. PMC 4501423. PMID 26061233.
- 1 2 Lanciotti RS, Lambert AJ, Holodniy M, Saavedra S, Signor L (May 2016). "Phylogeny of Zika Virus in Western Hemisphere, 2015". Emerging Infectious Diseases. 22 (5): 933–935. doi:10.3201/eid2205.160065. PMC 4861537. PMID 27088323.
- ↑ Ramaiah A, Dai L, Contreras D, Sinha S, Sun R, Arumugaswami V (July 2017). "Comparative analysis of protein evolution in the genome of pre-epidemic and epidemic Zika virus". Infection, Genetics and Evolution. 51: 74–85. doi:10.1016/j.meegid.2017.03.012. PMID 28315476.
- ↑ Goodsell DS (2016). "Zika Virus". RCSB Protein Data Bank. doi:10.2210/rcsb_pdb/mom_2016_5.
- ↑ Fauci AS, Morens DM (February 2016). "Zika Virus in the Americas--Yet Another Arbovirus Threat". The New England Journal of Medicine. 374 (7): 601–604. doi:10.1056/NEJMp1600297. PMID 26761185. S2CID 4377569. Archived from the original on 27 August 2021. Retrieved 1 December 2019.
- ↑ Gubler DJ (December 2011). "Dengue, Urbanization and Globalization: The Unholy Trinity of the 21(st) Century". Tropical Medicine and Health. 39 (4 Suppl): 3–11. doi:10.2149/tmh.2011-S05. PMC 3317603. PMID 22500131.
- ↑ "Zika virus found in common house mosquitoes in Brazil". Archived from the original on 23 July 2016. Retrieved 23 July 2016.
- 1 2 Oster AM, Russell K, Stryker JE, Friedman A, Kachur RE, Petersen EE, et al. (April 2016). "Update: Interim Guidance for Prevention of Sexual Transmission of Zika Virus--United States, 2016". MMWR. Morbidity and Mortality Weekly Report. 65 (12): 323–325. doi:10.15585/mmwr.mm6512e3. PMID 27032078.
- 1 2 Vasquez AM, Sapiano MR, Basavaraju SV, Kuehnert MJ, Rivera-Garcia B (April 2016). "Survey of Blood Collection Centers and Implementation of Guidance for Prevention of Transfusion-Transmitted Zika Virus Infection--Puerto Rico, 2016". MMWR. Morbidity and Mortality Weekly Report. 65 (14): 375–378. doi:10.15585/mmwr.mm6514e1. PMID 27078190.
- ↑ "Assessing the global threat from Zika virus". Science Magazine. 12 August 2016. Archived from the original on 24 September 2016. Retrieved 15 August 2016 – via www.sciencemagazinedigital.org.
- ↑ Moloney, Anastasia (22 January 2016). "FACTBOX – Zika virus spreads rapidly through Latin America, Caribbean". Thomson Reuters Foundation News. Archived from the original on 24 January 2016. Retrieved 26 January 2016.
- ↑ Mitchell, Cristina (18 January 2016). "As the Zika virus spreads, PAHO advises countries to monitor and report birth anomalies and other suspected complications of the virus". Media Center. Pan American Health Organization. Archived from the original on 1 February 2016. Retrieved 25 January 2016.
- ↑ Mitchell, Cristina (2 February 2016). "PAHO Statement on Zika Virus Transmission and Prevention". PAHO.org. Pan American Health Organization. Archived from the original on 25 March 2016. Retrieved 3 April 2016.
- ↑ "5 things you need to know about Zika". CNN. 24 February 2016. Archived from the original on 15 December 2018. Retrieved 18 December 2018.
- ↑ "Zika Virus". All Countries & Territories with Active Zika Virus Transmission. Centers for Disease Control and Prevention. Archived from the original on 21 September 2017. Retrieved 15 August 2016.
- ↑ Abushouk AI, Negida A, Ahmed H (November 2016). "An updated review of Zika virus". Journal of Clinical Virology. 84: 53–58. doi:10.1016/j.jcv.2016.09.012. PMID 27721110.
- 1 2 Ayres CF (March 2016). "Identification of Zika virus vectors and implications for control". The Lancet. Infectious Diseases. 16 (3): 278–279. doi:10.1016/S1473-3099(16)00073-6. PMID 26852727. Archived from the original on 8 November 2019. Retrieved 23 August 2019.
- ↑ Division of Vector-Borne Diseases, Dengue Branch. "Dengue and the Aedes aegypti mosquito" (PDF). Centers for Disease Control and Prevention. Archived (PDF) from the original on 27 July 2014. Retrieved 2 February 2012.
- ↑ Wishart, Skye (July–August 2018). "Shining a light on Zika". New Zealand Geographic (152): 25. Archived from the original on 3 August 2018. Retrieved 3 August 2018.
- ↑ Grard G, Caron M, Mombo IM, Nkoghe D, Mboui Ondo S, Jiolle D, Fontenille D, Paupy C, Leroy EM (February 2014). "Zika virus in Gabon (Central Africa) – 2007: a new threat from Aedes albopictus?". PLOS Neglected Tropical Diseases. 8 (2): e2681. doi:10.1371/journal.pntd.0002681. PMC 3916288. PMID 24516683.
- ↑ Zammarchi L, Stella G, Mantella A, Bartolozzi D, Tappe D, Günther S, et al. (February 2015). "Zika virus infections imported to Italy: clinical, immunological and virological findings, and public health implications". Journal of Clinical Virology. 63: 32–35. doi:10.1016/j.jcv.2014.12.005. PMID 25600600.
- ↑ Kraemer MU, Sinka ME, Duda KA, Mylne AQ, Shearer FM, Barker CM, et al. (June 2015). "The global distribution of the arbovirus vectors Aedes aegypti and Ae. albopictus". eLife. 4: e08347. doi:10.7554/eLife.08347. PMC 4493616. PMID 26126267.
- ↑ "Aedes aegypti". Health Topics: Vectors: Mosquitos. European Centre for Disease Protection and Control. Archived from the original on 10 July 2017. Retrieved 25 January 2016.
- ↑ Craig, Sarah; Collins, Brittany (26 January 2016). "Mosquitoes capable of carrying Zika virus found in Washington, D.C." Notre Dame News. University of Notre Dame. Archived from the original on 10 May 2017. Retrieved 18 December 2018.
- ↑ "Zika outbreak: What you need to know". BBC News. Archived from the original on 31 July 2016. Retrieved 31 July 2016.
- ↑ "How to Avoid Mosquito Bites in Florida". 10 June 2013. Archived from the original on 22 July 2018. Retrieved 31 July 2016.
- ↑ Carlson, Colin J.; Dougherty, Eric R.; Getz, Wayne; Johansson, Michael A (26 August 2016). "An Ecological Assessment of the Pandemic Threat of Zika Virus". PLOS Neglected Tropical Diseases. 10 (8): e0004968. doi:10.1371/journal.pntd.0004968. PMC 5001720. PMID 27564232.
- ↑ Oussayef NL, Pillai SK, Honein MA, Ben Beard C, Bell B, Boyle CA, et al. (January 2017). "Zika Virus -10 Public Health Achievements in 2016 and Future Priorities". MMWR. Morbidity and Mortality Weekly Report. 65 (52): 1482–1488. doi:10.15585/mmwr.mm6552e1. PMID 28056005.
- ↑ "WHO chief going to the Olympics, says Zika risk low". Reuters. 29 July 2016. Archived from the original on 19 December 2018. Retrieved 18 December 2018.
According to Margaret Chan, the director of the WHO, 'Of course, we also have learnt from the latest evidence it's not just infected men who can pass the disease to their sex partners. There was a case of a lady passing the disease to a man, so it can go both directions.'
- ↑ Le Tortorec, Anna; Matusali, Giulia; Mahé, Dominique; Aubry, Florence; Mazaud-Guittot, Severine; Houzet, Laurent; Dejucq-Rainsford, Nathalie (7 February 2020). "From Ancient to Emerging Infections: The Odyssey of Viruses in the Male Genital Tract" (PDF). Physiological Reviews. 100 (3): 1349–1414. doi:10.1152/physrev.00021.2019. ISSN 1522-1210. PMID 32031468. Archived (PDF) from the original on 4 November 2020. Retrieved 27 August 2020.
- ↑ Matusali, Giulia; Houzet, Laurent; Satie, Anne-Pascale; Mahé, Dominique; Aubry, Florence; Couderc, Thérèse; Frouard, Julie; Bourgeau, Salomé; Bensalah, Karim; Lavoué, Sylvain; Joguet, Guillaume (1 October 2018). "Zika virus infects human testicular tissue and germ cells". The Journal of Clinical Investigation. 128 (10): 4697–4710. doi:10.1172/JCI121735. ISSN 1558-8238. PMC 6159993. PMID 30063220.
- ↑ Joguet, Guillaume; Mansuy, Jean-Michel; Matusali, Giulia; Hamdi, Safouane; Walschaerts, Marie; Pavili, Lynda; Guyomard, Stefanie; Prisant, Nadia; Lamarre, Pierre; Dejucq-Rainsford, Nathalie; Pasquier, Christophe (November 2017). "Effect of acute Zika virus infection on sperm and virus clearance in body fluids: a prospective observational study". The Lancet. Infectious Diseases. 17 (11): 1200–1208. doi:10.1016/S1473-3099(17)30444-9. ISSN 1474-4457. PMID 28838639.
- ↑ Petersen EE, Meaney-Delman D, Neblett-Fanfair R, Havers F, Oduyebo T, Hills SL, et al. (October 2016). "Update: Interim Guidance for Preconception Counseling and Prevention of Sexual Transmission of Zika Virus for Persons with Possible Zika Virus Exposure - United States, September 2016". MMWR. Morbidity and Mortality Weekly Report. 65 (39): 1077–1081. doi:10.15585/mmwr.mm6539e1. PMID 27711033.
- ↑ "CDC Zika: Transmission". Centers for Disease Control and Prevention. 15 April 2016. Archived from the original on 20 September 2017. Retrieved 17 April 2016.
- ↑ Paploski IA, Prates AP, Cardoso CW, Kikuti M, Silva MM, Waller LA, et al. (August 2016). "Time Lags between Exanthematous Illness Attributed to Zika Virus, Guillain-Barré Syndrome, and Microcephaly, Salvador, Brazil". Emerging Infectious Diseases. 22 (8): 1438–1444. doi:10.3201/eid2208.160496. PMC 4982160. PMID 27144515.
- ↑ Rubin EJ, Greene MF, Baden LR (March 2016). "Zika Virus and Microcephaly". The New England Journal of Medicine. 374 (10): 984–985. doi:10.1056/NEJMe1601862. PMID 26862812. S2CID 205079825. Archived from the original on 27 August 2021. Retrieved 1 December 2019.
- ↑ Stanelle-Bertram S, Walendy-Gnirß K, Speiseder T, Thiele S, Asante IA, Dreier C, et al. (October 2018). "Male offspring born to mildly ZIKV-infected mice are at risk of developing neurocognitive disorders in adulthood". Nature Microbiology. 3 (10): 1161–1174. doi:10.1038/s41564-018-0236-1. hdl:10138/306618. PMID 30202017. S2CID 52181681.
- ↑ Kikuti M, Cardoso CW, Prates AP, Paploski IA, Kitron U, Reis MG, et al. (November 2018). "Congenital brain abnormalities during a Zika virus epidemic in Salvador, Brazil, April 2015 to July 2016". Euro Surveillance. 23 (45): 1–10. doi:10.2807/1560-7917.ES.2018.23.45.1700757. PMC 6234531. PMID 30424827.
- ↑ Rathore AP, Saron WA, Lim T, Jahan N, St John AL (February 2019). "Maternal immunity and antibodies to dengue virus promote infection and Zika virus-induced microcephaly in fetuses". Science Advances. 5 (2): eaav3208. Bibcode:2019SciA....5.3208R. doi:10.1126/sciadv.aav3208. PMC 6392794. PMID 30820456.
- ↑ Brown JA, Singh G, Acklin JA, Lee S, Duehr JE, Chokola AN, et al. (January 2019). "Dengue Virus Immunity Increases Zika Virus-Induced Damage during Pregnancy". Immunity. 50 (3): 751–762.e5. doi:10.1016/j.immuni.2019.01.005. PMC 6947917. PMID 30737148.
- ↑ "Recommendations for Donor Screening, Deferral, and Product Management to Reduce the Risk of Transfusion-Transmission of Zika Virus" (PDF). Food and Drug Administration. February 2016. Archived (PDF) from the original on 30 April 2017. Retrieved 18 December 2018.
- ↑ "Zika virus infection outbreak, Brazil and the Pacific region" (PDF). Rapid Risk Assessments. Stockholm: European Centre for Disease Prevention and Control. 25 May 2015. pp. 4–5. Archived from the original (PDF) on 13 October 2015. Retrieved 12 February 2016.
- ↑ Musso D, Nhan T, Robin E, Roche C, Bierlaire D, Zisou K, et al. (April 2014). "Potential for Zika virus transmission through blood transfusion demonstrated during an outbreak in French Polynesia, November 2013 to February 2014". Euro Surveillance. 19 (14): 20761. doi:10.2807/1560-7917.es2014.19.14.20761. PMID 24739982.
- ↑ Chan JF, Choi GK, Yip CC, Cheng VC, Yuen KY (May 2016). "Zika fever and congenital Zika syndrome: An unexpected emerging arboviral disease". The Journal of Infection. 72 (5): 507–524. doi:10.1016/j.jinf.2016.02.011. hdl:10722/231183. PMC 7112603. PMID 26940504.
- ↑ Buckley A, Gould EA (August 1988). "Detection of virus-specific antigen in the nuclei or nucleoli of cells infected with Zika or Langat virus". The Journal of General Virology. 69 (8): 1913–1920. doi:10.1099/0022-1317-69-8-1913. PMID 2841406.
- ↑ Molly Chiu (14 November 2019). "How maternal Zika virus infection results in newborn microcephaly". ScienMag. Archived from the original on 17 November 2019. Retrieved 17 November 2019.
- ↑ Gorshkov, Kirill; Shiryaev, Sergey A.; Fertel, Sophie; Lin, Yi-Wen; Huang, Chun-Teng; Pinto, Antonella; Farhy, Chen; Strongin, Alex Y.; Zheng, Wei; Terskikh, Alexey V. (2018). "Zika Virus: Origins, Pathological Action, and Treatment Strategies". Frontiers in Microbiology. 9: 3252. doi:10.3389/fmicb.2018.03252. ISSN 1664-302X.
- 1 2 3 4 5 "Zika virus". World Health Organization. January 2016. Archived from the original on 9 August 2016. Retrieved 3 February 2016.
- 1 2 3 4 "Factsheet for health professionals". Health topics: Zika virus infection. European Centre for Disease Prevention and Control. Archived from the original on 23 December 2015. Retrieved 22 December 2015.
- 1 2 3 4 5 6 7 Chen LH, Hamer DH (May 2016). "Zika Virus: Rapid Spread in the Western Hemisphere". Annals of Internal Medicine. 164 (9): 613–615. doi:10.7326/M16-0150. PMID 26832396.
- ↑ Musso D, Nilles EJ, Cao-Lormeau VM (October 2014). "Rapid spread of emerging Zika virus in the Pacific area". Clinical Microbiology and Infection. 20 (10): O595-6. doi:10.1111/1469-0691.12707. PMID 24909208.
- ↑ Dhiman, Gaurav; Abraham, R.; Griffin, D. (2019). "Human Schwann cells are susceptible to infection with Zika and yellow fever viruses, but not dengue virus". Scientific Reports. 9 (1): 9951. Bibcode:2019NatSR...9.9951D. doi:10.1038/s41598-019-46389-0. PMC 6616448. PMID 31289325.
- ↑ "Zika diagnostic test granted market authorization by FDA". Washington University School of Medicine in St. Louis. 3 September 2019. Archived from the original on 12 March 2020. Retrieved 14 February 2020.
- ↑ Oster AM, Russell K, Stryker JE, Friedman A, Kachur RE, Petersen EE, et al. (April 2016). "Update: Interim Guidance for Prevention of Sexual Transmission of Zika Virus--United States, 2016". MMWR. Morbidity and Mortality Weekly Report. 65 (12): 323–325. doi:10.15585/mmwr.mm6512e3. PMID 27032078.
- ↑ "Brazil warns against pregnancy due to spreading virus". CNN. 24 December 2015. Archived from the original on 14 July 2018. Retrieved 24 December 2015.
- 1 2 "WHO and experts prioritize vaccines, diagnostics and innovative vector control tools for Zika R&D". World Health Organization. 9 March 2016. Archived from the original on 13 March 2016. Retrieved 13 March 2016.
- ↑ Cook, James (27 January 2016). "Zika virus: US scientists say vaccine '10 years away'". BBC News. Archived from the original on 21 July 2018. Retrieved 28 January 2016.
- ↑ Sagonowsky, Eric (21 June 2016). "Inovio set for first Zika vaccine human trial". fiercepharma.com. Archived from the original on 28 June 2016. Retrieved 1 July 2016.
- ↑ "Phase 2 Zika vaccine trial begins in U.S., Central and South America". National Institutes of Health (NIH). 31 March 2017. Archived from the original on 28 April 2017. Retrieved 28 April 2017.
- ↑ Fernandez E, Diamond MS (April 2017). "Vaccination strategies against Zika virus". Current Opinion in Virology. 23: 59–67. doi:10.1016/j.coviro.2017.03.006. PMC 5576498. PMID 28432975.
- ↑ Cohen, Jon (8 February 2016). "Zika's long, strange trip into the limelight". Science. American Association for the Advancement of Science. Archived from the original on 10 February 2016. Retrieved 10 February 2016.
- ↑ Haddow AD, Schuh AJ, Yasuda CY, Kasper MR, Heang V, Huy R, et al. (2012). "Genetic characterization of Zika virus strains: geographic expansion of the Asian lineage". PLOS Neglected Tropical Diseases. 6 (2): e1477. doi:10.1371/journal.pntd.0001477. PMC 3289602. PMID 22389730.
- 1 2 3 Wikan N, Smith DR (July 2016). "Zika virus: history of a newly emerging arbovirus". The Lancet. Infectious Diseases. 16 (7): e119–e126. doi:10.1016/s1473-3099(16)30010-x. PMID 27282424.
- ↑ Dick GW (September 1952). "Zika virus. II. Pathogenicity and physical properties". Transactions of the Royal Society of Tropical Medicine and Hygiene. 46 (5): 521–534. doi:10.1016/0035-9203(52)90043-6. PMID 12995441.
- ↑ Macnamara FN (March 1954). "Zika virus: A report on three cases of human infection during an epidemic of jaundice in Nigeria". Transactions of the Royal Society of Tropical Medicine and Hygiene. 48 (2): 139–145. doi:10.1016/0035-9203(54)90006-1. PMID 13157159.
- ↑ Wikan N, Smith DR (January 2017). "First published report of Zika virus infection in people: Simpson, not MacNamara". The Lancet. Infectious Diseases. 17 (1): 15–17. doi:10.1016/S1473-3099(16)30525-4. PMID 27998553. Archived from the original on 27 August 2021. Retrieved 18 December 2018.
- ↑ Bearcroft WG (September 1956). "Zika virus infection experimentally induced in a human volunteer". Transactions of the Royal Society of Tropical Medicine and Hygiene. 50 (5): 442–448. doi:10.1016/0035-9203(56)90091-8. PMID 13380987.
- ↑ Simpson DI (July 1964). "Zika virus infection in man". Transactions of the Royal Society of Tropical Medicine and Hygiene. 58 (4): 335–338. doi:10.1016/0035-9203(64)90201-9. PMID 14175744.
- ↑ Ramzy, Austin (10 February 2016). "Experts Study Zika's Path From First Outbreak in Pacific". The New York Times. Hong Kong. Archived from the original on 12 February 2016. Retrieved 12 February 2016.
- ↑ Henry, Martha (24 May 2017). "Zika virus found to be circulating in Africa for decades". Harvard T.H.Chan School of Public Health. Archived from the original on 26 May 2017. Retrieved 5 June 2017.
- ↑ Altman LK (3 July 2007). "Little-Known Virus Challenges a Far-Flung Health System". The New York Times. Archived from the original on 12 January 2017. Retrieved 28 February 2017.
- ↑ Duffy MR, Chen TH, Hancock WT, Powers AM, Kool JL, Lanciotti RS, et al. (June 2009). "Zika virus outbreak on Yap Island, Federated States of Micronesia". The New England Journal of Medicine. 360 (24): 2536–2543. doi:10.1056/NEJMoa0805715. PMID 19516034.
- ↑ Saiz JC, Vázquez-Calvo Á, Blázquez AB, Merino-Ramos T, Escribano-Romero E, Martín-Acebes MA (19 April 2016). "Zika Virus: the Latest Newcomer". Frontiers in Microbiology. 7: 496. doi:10.3389/fmicb.2016.00496. PMC 4835484. PMID 27148186.
- ↑ "WHO sees Zika outbreak spreading through the Americas". Reuters. 25 January 2016. Archived from the original on 11 July 2017. Retrieved 25 January 2016.
- ↑ "WHO Director-General summarizes the outcome of the Emergency Committee regarding clusters of microcephaly and Guillain–Barré syndrome". World Health Organization. 1 February 2016. Archived from the original on 4 August 2016. Retrieved 2 February 2016.
- ↑ Roberts, Michelle (1 February 2016). "Zika-linked condition: WHO declares global emergency". BBC News. Archived from the original on 1 February 2016. Retrieved 1 February 2016.
- ↑ Pearson, Michael (2 February 2016). "Zika virus sparks 'public health emergency'". CNN. Archived from the original on 2 February 2016. Retrieved 2 February 2016.
- ↑ Boadle, Anthony; Brown, Tom; Orr, Bernard (18 February 2016). "U.S., Brazil researchers join forces to battle Zika virus". Brasilia. Reuters. Archived from the original on 5 March 2016. Retrieved 4 March 2016.
- ↑ "Microcephaly in Brazil potentially linked to the Zika virus epidemic, ECDC assesses the risk". News and Media. European Centre for Disease Prevention and Control. 25 November 2015. Archived from the original on 21 January 2016. Retrieved 18 January 2016.
- ↑ Kiernan, Paul; Jelmayer, Rogerio (3 February 2016). "Zika Fears Imperil Brazil's Tourism Push". The Wall Street Journal. Archived from the original on 26 February 2016. Retrieved 27 February 2016.
- ↑ Belluz, Julia (26 May 2016). "Rio Olympics 2016: why athletes and fans aren't likely to catch Zika". Vox. Archived from the original on 30 May 2016. Retrieved 1 June 2016.
- ↑ "World Health Organization declares end of Zika emergency". The Irish Times. Archived from the original on 19 November 2016. Retrieved 18 November 2016.
- ↑ Cohen, Jon (16 August 2017). "Zika has all but disappeared in the Americas. Why?". Science. doi:10.1126/science.aao6984. Archived from the original on 18 December 2019. Retrieved 10 January 2020.
- ↑ "Bangladesh Confirms First Case of Zika Virus". Newsweek. 22 March 2016. Archived from the original on 23 March 2016. Retrieved 22 March 2016.
- ↑ "Blood samples show presence of Zika virus in Tanzania". Anadolu Agency. Archived from the original on 19 December 2016. Retrieved 19 December 2016.
- ↑ Ho ZJ, Hapuarachchi HC, Barkham T, Chow A, Ng LC, Lee JM, et al. (Singapore Zika Study Group) (August 2017). "Outbreak of Zika virus infection in Singapore: An epidemiological, entomological, virological, and clinical analysis". The Lancet. Infectious Diseases. 17 (8): 813–821. doi:10.1016/S1473-3099(17)30249-9. PMID 28527892.
- ↑ "Zika Virus in Singapore". CDC. Archived from the original on 31 August 2016. Retrieved 3 September 2016.
- ↑ "Angola reports first two cases of Zika virus". Reuters. 11 January 2017. Archived from the original on 4 May 2017. Retrieved 18 January 2017.
- ↑ "Geographic Distribution". Zika Virus. Centers for Disease Control and Prevention. 5 November 2014. Archived from the original on 17 January 2016. Retrieved 18 January 2016.
- ↑ Gatherer D, Kohl A (February 2016). "Zika virus: a previously slow pandemic spreads rapidly through the Americas" (PDF). The Journal of General Virology. 97 (2): 269–273. doi:10.1099/jgv.0.000381. PMID 26684466. Archived (PDF) from the original on 16 August 2019. Retrieved 26 September 2019.
- ↑ "Zika virus in the United States". Centers for Disease Control and Prevention. Archived from the original on 20 February 2016. Retrieved 20 February 2016.
This article incorporates public domain material from websites or documents of the Centers for Disease Control and Prevention.
External links
![]() |
Wikiquote has quotations related to: Zika virus |
- "Zika virus". Centers for Disease Control and Prevention. 5 November 2014. Archived from the original on 18 September 2017. Retrieved 19 September 2017.
- "Zika virus". Fact sheet. World Health Organization. Archived from the original on 9 August 2016. Retrieved 5 October 2020.
- "Zika virus illustrations, 3D model, and animation". visual-science.com. Archived from the original on 8 March 2021. Retrieved 18 December 2018.
- "Zika virus (strain Mr 766)". Viral Zone. Archived from the original on 29 April 2017. Retrieved 19 March 2016.
- Schmaljohn, Alan L.; McClain, David (1996). "54. Alphaviruses (Togaviridae) and Flaviviruses (Flaviviridae)". In Baron, Samuel (ed.). Medical Microbiology (4th ed.). ISBN 978-0-9631172-1-2. PMID 21413253. NBK7633. Archived from the original on 4 May 2021. Retrieved 29 January 2016.
- "Animation on Zika". YouTube. Scientific Animations without Borders and the World Health Organization (WHO). Archived from the original on 9 November 2020. Retrieved 3 May 2016.
- "Zika Virus: All you need to know". WeMaLife. 7 March 2018. Archived from the original on 8 July 2018. Retrieved 2 April 2018.
- "Symptoms, Risk Factors, and Prevention". Zika virus. Archived from the original on 15 October 2018. Retrieved 15 October 2018.
- Schuchat, Anne (15 October 2018). "Zika Virus 101". YouTube. Centers for Disease Control and Prevention (CDC). Archived from the original on 25 August 2020. Retrieved 25 August 2020.