Hidradenocarcinoma
Hidradenocarcinoma | |
---|---|
Other names | Malignant hidradenoma, malignant acrospiroma, clear cell eccrine carcinoma, or primary mucoepidermoid cutaneous carcinoma. |
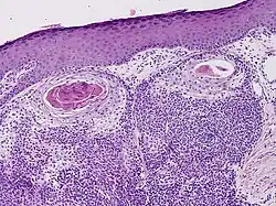
Clear cell hidradenocarcinoma | |
Specialty | Dermatology |
Hidradenocarcinoma, also known as malignant hidradenoma, malignant acrospiroma, clear cell eccrine carcinoma, or primary mucoepidermoid cutaneous carcinoma, is a malignant adnexal tumor of the sweat gland. It is the malignant variant of the benign hidradenoma. It may develop de novo or in association with an existent hidradenoma.[1]
This type of tumor typically develops in older individuals (after age 40).[2]
See also
References
- ^ Rapini, Ronald P.; Bolognia, Jean L.; Jorizzo, Joseph L. (2007). Dermatology: 2-Volume Set. St. Louis: Mosby. ISBN 978-1-4160-2999-1.
- ^ "Hidradenocarcinoma | Genetic and Rare Diseases Information Center (GARD) – an NCATS Program". Archived from the original on 2015-09-05. Retrieved 2013-07-31.