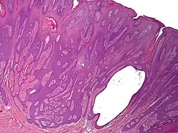
Syringofibroadenoma
Syringofibroadenoma | |
---|---|
Other names | Acrosyringeal nevus of Weedon and Lewis |
Specialty | Dermatology |
Syringofibroadenoma is a cutaneous condition characterized by a hyperkeratotic nodule or plaque involving the extremities.[1]: 668
It is considered of eccrine origin.[2]
See also
References
- ^ James, William D.; Berger, Timothy G.; et al. (2006). Andrews' Diseases of the Skin: Clinical Dermatology. Saunders Elsevier. ISBN 0-7216-2921-0.
- ^ "Syringofibroadenoma pathology - DermNet New Zealand". www.dermnet.org.nz.
External links