Adipocytic tumor
| Adipocytic tumor | |
|---|---|
![]() ![]() | |
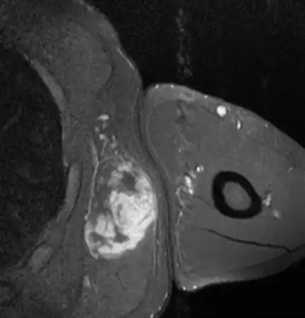
| Top: Lipoma Bottom: MRI myxoid liposarcoma of high grade in axilla | |
| Types | Non-cancerous, “intermediate” or cancerous[1] |
| Diagnostic method | Medical imaging, core needle biopsy[1] |
| Frequency | Common[2] |
Adipocytic tumor is a type of soft tissue tumor containing fat.[2][3] It may be non-cancerous, “intermediate” or cancerous.[1][4]
See also
References
- 1 2 3 Moulin, Benjamin; Messiou, Christina; Crombe, Amandine; Kind, Michèle; Hohenberger, Peter; Rutkowski, Piotr; van Houdt, Winan J.; Strauss, Dirk; Gronchi, Alessandro; Bonvalot, Sylvie (1 March 2022). "Diagnosis strategy of adipocytic soft-tissue tumors in adults: a consensus from European experts". European Journal of Surgical Oncology. 48 (3): 518–525. doi:10.1016/j.ejso.2021.10.009. ISSN 0748-7983. Archived from the original on 11 September 2022. Retrieved 25 February 2023.
- 1 2 Thway, Khin (January 2022). "What's new in adipocytic neoplasia?". Histopathology. 80 (1): 76–97. doi:10.1111/his.14548. ISSN 1365-2559. PMID 34958506. Archived from the original on 2023-02-25. Retrieved 2023-02-25.
- ↑ Sbaraglia, M; Bellan, E; Dei Tos, AP (April 2021). "The 2020 WHO Classification of Soft Tissue Tumours: news and perspectives". Pathologica. 113 (2): 70–84. doi:10.32074/1591-951X-213. PMID 33179614. Archived from the original on 2022-07-01. Retrieved 2023-02-25.
- ↑ WHO Classification of Tumours Editorial Board, ed. (2020). "1. Soft tissue tumours: Adipocytic tumour". Soft Tissue and Bone Tumours: WHO Classification of Tumours. Vol. 3 (5th ed.). Lyon (France): International Agency for Research on Cancer. pp. 13–48. ISBN 978-92-832-4503-2.
This article is issued from Wmcloud. The text is licensed under Creative Commons - Attribution - Sharealike. Additional terms may apply for the media files.

