B-cell lymphoma

B-cell lymphoma
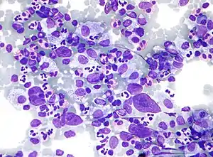
Micrograph showing a large B cell lymphoma. Field stain.
SpecialtyHematology, oncology
SymptomsSwollen lymph nodes, abdominal pain, tiredness, fever, night sweats, weight loss[1]
TypesIndolent, aggressive[2]
Risk factorsGenetics, environmental factors, viral infections, connective tissue disorders, poor immune function[1]
Diagnostic methodTissue biopsy[2]
TreatmentRadiation therapy, chemotherapy, immunotherapy, stem cell transplant[2]
Frequency19 per 100,000 per year (the West)[3]

B-cell lymphoma are types of lymphoma affecting B cells, a type of white blood cell that makes antibodies.[1][3] Symptoms may include swollen lymph nodes, abdominal pain, tiredness, fever, night sweats, or weight loss.[1] They generally start within lymph nodes, the spleen, bone marrow, or blood.[4]

Risk factors include certain genetic conditions, environmental factors, viral infections, connective tissue disorders, and poor immune function.[1] They are a type of blood cancer.[5] Subtypes include Hodgkin and over 40 types of non-Hodgkin lymphoma.[3] They are divided into slow-growing (indolent) and aggressive lymphomas.[2] Diagnosis is by tissue biopsy.[2]

Slow growing lymphomas often respond well to treatment, have a survival of many years, but are not generally curable.[2] Aggressive lymphomas on the other hand many be curable but are rapidly fatal when this is not achieved.[2] Treatments may include radiation therapy, chemotherapy, immunotherapy, or stem cell transplant.[2]

In Western countries, B-cell lymphoma affect about 19 per 100,000 people a year and represent about 95% of lymphoma cases.[3] About 80% of non-Hodgkin lymphomas are B-cell lymphomas.[2] While more common in older people, certain types may occur in children.[2][3]

Types

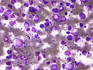
Micrograph showing Hodgkin's lymphoma, a type of B cell lymphoma that is usually considered separate from other B cell lymphomas. Field stain.
CT scan of primary B cell lymphoma in the left ilium, as diffuse cortical and trabecular thickening of the hemipelvis, mimicking Paget's disease.[6]

There are numerous kinds of lymphomas involving B cells. The most commonly used classification system is the WHO classification, a convergence of more than one, older classification systems.

Common

Five account for nearly three out of four patients with non-Hodgkin lymphoma:[7]

Rare

The remaining forms are much less common:[7]

Other

Additionally, some researchers separate out lymphomas that appear to result from other immune system disorders, such as AIDS-related lymphoma.

Classic Hodgkin's lymphoma and nodular lymphocyte predominant Hodgkin's lymphoma are now considered forms of B-cell lymphoma.[9]

Diagnosis

When a person appears to have a B-cell lymphoma, the main components of a workup (for determining the appropriate therapy and the person's prognosis) are:[10]

  • Establishing the precise subtype: Initially, an incisional or excisional biopsy is preferred. A core needle biopsy is discouraged except in case a lymph node is not easily accessible. Fine-needle aspiration is only acceptable in selected circumstances, in combination with immunohistochemistry and flow cytometry.
  • Determining the extent of the disease (localized or advanced; nodal or extranodal)
  • The person's general health status.
Main immunohistochemistry markers in common types of B-cell lymphoma.[11]
Follicular lymphoma Marginal zone B-cell lymphoma (MZL) or mucosa-associated lymphatic tissue (MALT) lymphoma Small lymphocytic lymphoma (SLL) / chronic lymphocytic leukemia (CLL) Mantle cell lymphoma (MCL)
CD5 - - + +
CD10 + - - -
CD23 - - + -
Cyclin D1 - - - +

Associated chromosomal translocations

Chromosomal translocations involving the immunoglobulin heavy locus is a classic cytogenetic abnormality for many B-cell lymphomas, including follicular lymphoma, mantle cell lymphoma and Burkitt's lymphoma.[12] In these cases, the immunoglobulin heavy locus forms a fusion protein with another protein that has pro-proliferative or anti-apoptotic abilities. The enhancer element of the immunoglobulin heavy locus, which normally functions to make B cells produce massive production of antibodies, now induces massive transcription of the fusion protein, resulting in excessive pro-proliferative or anti-apoptotic effects on the B cells containing the fusion protein.

In Burkitt's lymphoma and mantle cell lymphoma, the other protein in the fusion is c-myc (on chromosome 8) and cyclin D1[13] (on chromosome 11), respectively, which gives the fusion protein pro-proliferative ability. In follicular lymphoma, the fused protein is Bcl-2 (on chromosome 18), which gives the fusion protein anti-apoptotic abilities.

See also

References

  1. 1 2 3 4 5 "B-cell lymphoma". rarediseases.info.nih.gov. Genetic and Rare Diseases Information Center (GARD) – an NCATS Program. Archived from the original on 3 June 2021. Retrieved 6 July 2021.
  2. 1 2 3 4 5 6 7 8 9 10 "Non-Hodgkin Lymphomas - Blood Disorders". Merck Manuals Consumer Version. Archived from the original on 17 April 2021. Retrieved 6 July 2021.
  3. 1 2 3 4 5 Meng, X; Min, Q; Wang, JY (2020). "B Cell Lymphoma". Advances in experimental medicine and biology. 1254: 161–181. doi:10.1007/978-981-15-3532-1_12. PMID 32323276.
  4. "B-cell lymphoma - Latest research and news | Nature". www.nature.com. Archived from the original on 9 August 2020. Retrieved 6 July 2021.
  5. "Lymphoma". www.hematology.org. Archived from the original on 18 June 2021. Retrieved 6 July 2021.
  6. Nguyen, Nghi; Khan, Mujahid; Shah, Muhammad (2017). "Primary B-cell lymphoma of the pelvic bone in a young patient: Imaging features of a rare case". Cancer Research Frontiers. 3 (1): 51–55. doi:10.17980/2017.51. ISSN 2328-5249.
  7. 1 2 "The Lymphomas" (PDF). The Leukemia & Lymphoma Society. May 2006. p. 12. Archived from the original (PDF) on 2008-07-06. Retrieved 2008-04-07.
  8. Mazen Sanoufa; Mohammad Sami Walid; Talat Parveen (2010). "B-Cell Lymphoma of the Thoracic Spine Presenting with Spinal Cord Pressure Syndrome". Journal of Clinical Medicine Research. 2 (1): 53–54. doi:10.4021/jocmr2010.02.258w. PMC 3299178. PMID 22457704.
  9. "HMDS: Hodgkin's Lymphoma". Archived from the original on 4 March 2009. Retrieved 2009-02-01.
  10. Mohammad Muhsin Chisti, Haresh Kumar, Sumeet K Yadav. "B-Cell Lymphoma Workup". Medscape. Archived from the original on 2021-01-26. Retrieved 2021-05-25.{{cite web}}: CS1 maint: multiple names: authors list (link) Updated Jul 27, 2020
  11. Attanoos, Richard (2018). "Lymphoid Malignancies of the Pleura and Peritoneum". Practical Pathology of Serous Membranes. pp. 203–208. doi:10.1017/9781316402009.016. ISBN 9781316402009.
  12. Küppers, R; Dalla-Favera, R (10 September 2001). "Mechanisms of chromosomal translocations in B cell lymphomas" (PDF). Oncogene. 20 (40): 5580–94. doi:10.1038/sj.onc.1204640. PMID 11607811. S2CID 10776403. Archived (PDF) from the original on 29 August 2021. Retrieved 25 May 2021.
  13. Li JY, Gaillard F, Moreau A, et al. (May 1999). "Detection of translocation t(11;14)(q13;q32) in mantle cell lymphoma by fluorescence in situ hybridization". Am. J. Pathol. 154 (5): 1449–52. doi:10.1016/S0002-9440(10)65399-0. PMC 1866594. PMID 10329598.
Classification
External resources
This article is issued from Wmcloud. The text is licensed under Creative Commons - Attribution - Sharealike. Additional terms may apply for the media files.