Peripheral T-cell lymphoma
| Peripheral T-cell lymphoma | |
|---|---|
![]() | |
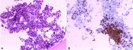
| a,b)Peripheral T- cell Lymphoma infiltration, bone marrow biopsy | |
Peripheral T-cell lymphoma refers to a group of T-cell lymphomas that develop away from the thymus or bone marrow.[1]
Examples include:[2]
- Cutaneous T-cell lymphomas
- Angioimmunoblastic T-cell lymphoma
- Extranodal natural killer/T-cell lymphoma, nasal type
- Enteropathy type T-cell lymphoma
- Subcutaneous panniculitis-like T-cell lymphoma
- Anaplastic large cell lymphoma
- Peripheral T-cell lymphoma-Not-Otherwise-Specified
In ICD-10, cutaneous T-cell lymphomas are classified separately.
References
- ↑ "Peripheral T-Cell Lymphoma". Lymphoma Research Foundation. Archived from the original on 2021-05-19. Retrieved 2021-05-19.
- ↑ "ACS :: What Is Non-Hodgkin Lymphoma?". Archived from the original on 2010-06-27. Retrieved 2009-02-03.
External links
| Classification |
|---|
This article is issued from Wmcloud. The text is licensed under Creative Commons - Attribution - Sharealike. Additional terms may apply for the media files.
