Lobular carcinoma
| Lobular carcinoma | |
|---|---|
![]() | |
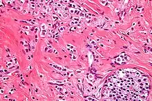
| Micrograph of lobular carcinoma. H&E stain. |
Lobular carcinoma is a form of tumor which primarily affects the lobules of a gland.
It is sometimes considered equivalent to "terminal duct carcinoma".[1]
If not otherwise specified, it generally refers to breast cancer. Examples include:
References
External links
This article is issued from Wmcloud. The text is licensed under Creative Commons - Attribution - Sharealike. Additional terms may apply for the media files.
