Papillary hidradenoma

Papillary hidradenoma
Other names: Hidradenoma papilliferum
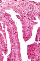
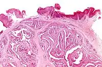
Papillary hidradenoma on vulva
SpecialtyGynecology, dermatology

A papillary hidradenoma, also hidradenoma papilliferum, is a sharply circumscribed nodule or benign tumor of the apocrine gland usually found on the labia majora or the interlabial folds. It is benign tissue (not cancerous) but is often confused clinically with carcinoma of the vulva because of its tendency to ulcerate.[1]

See also

References

  1. Robbins and Cotran Pathologic Basis of Disease, 7th edition. The Female Genital Tract chapter 22, pg. 1067.
Classification

Template:Oncology-stub

This article is issued from Wmcloud. The text is licensed under Creative Commons - Attribution - Sharealike. Additional terms may apply for the media files.