Medulloepithelioma
| Medulloepithelioma | |
|---|---|
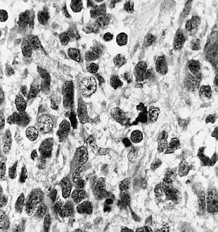
![]() | |
| Histopathology of medulloepithelioma showing characteristic neural tube like strands. | |
| Specialty | Neurosurgery, Neuro-oncology |
Medulloepithelioma is a rare, primitive, fast-growing brain tumour thought to stem from cells of the embryonic medullary cavity.[1] Tumours originating in the ciliary body of the eye are referred to as embryonal medulloepitheliomas,[1] or diktyomas.[2]
A highly malignant undifferentiated primitive neuroepithelial tumour of children, medulloepithelioma may contain bone, cartilage, skeletal muscle, and tends to metastasize extracranially.[2]
Signs and symptoms
Medulloepithelioma have been reported to occur in the cerebral hemispheres, brainstem, cerebellum, and peripheral sites.[3][4][5][6]
Due to rapid growth of the tumour, patients typically present with increased intracranial pressure, seizures, and focal neurologic signs.[7]
Diagnosis
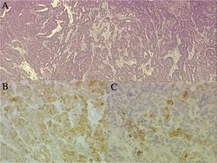
a)Papillary and tubular patterns represent the distinctive appearance of medulloepithelioma b)positivity of the neoplastic cells for S100 protein c) PanCytokeratin
Neuronal differentiation, ranging from neuroblasts to ganglion cells, is seen in some medulloepitheliomas.
Imaging studies such as Computerized Tomography (CT) and Magnetic Resonance Imaging (MRI) can aid diagnosis. Medulloepithelioma appears isodense or hypodense with variable heterogeneity and calcification on non-contrast CT scan, and enhances with contrast.[3] This radiographical finding is consistent with a primitive neuroectodermal tumour, especially in children.[6] Blood studies and imaging studies of the abdomen may be used to detect metastases.[6]
Needle aspiration biopsy can be used to aid diagnosis.[6] Definitive diagnosis requires histopathological examination of surgically excised tumour tissues.
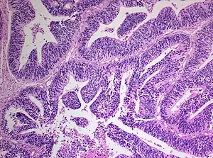
Histologically, medulloepithelioma resemble a primitive neural tube and with neuronal, glial and mesenchymal elements.[8][9] Flexner-Wintersteiner rosettes may also be observed.[10]
Immunohistochemically, neural tube-like structures are vimentin positive in the majority of medulloepitheliomas.[11] Poorly differentiated medulloepitheliomas are vimentin negative.
Classification
Medulloepithelioma was originally classified as the most primitive neoplasm of the Central Nervous System (CNS) by Bailey and Cushing in 1926.[4] Rorke et al.[12] classified this tumour into two subtypes:
- 1) medulloepithelioma not otherwise specified
- 2) medulloepithelioma with differentiation into astrocytes, oligodendrocytes; ependymal cells; neuronal cells; others (melanin, mesenchymal cells); and mixed cellular elements.
Treatment
Total resection of the tumour, followed by radiation therapy is the standard treatment modality.[3] Medulloepithelioma of the ciliary body may necessitate enucleation of the eye.[13][14] Radiation therapy alone may prolong survival.[3] Aggressive chemotherapy with autologous bone marrow transplant is used for metastatic medulloepitheliomas.[6]
Prognosis
Medulloepithelioma carries a dismal prognosis with a median survival of 5 months.[3][15][16][17]
Epidemiology
Medulloepithelioma most commonly affect children between 6 months and 5 years; rarely, this tumour may occur congenitally or beyond this age range.[8][18][19] Incidence is equal in males and females.[3]
References
- 1 2 Definition of Medulloepithelioma Archived 2015-12-25 at the Wayback Machine, from Online Medical Dictionary. Retrieved 7 January 2010.
- 1 2 McGraw-Hill Concise Dictionary of Modern Medicine. © 2002 by The McGraw-Hill Companies, Inc.
- 1 2 3 4 5 6 Molly PT, Yachnis AT, Rorke LB, et al. Central nervous system medulloepithelioma a series of eight cases including two arising in the pons. J Neurosurg 1996;84:430-6.
- 1 2 Bailey P, Cushing H. A classification of tumors of the glioma group on a histogenetic basis with a correlated study of progress. Philadelphia: JB Lippincott; 1926. pp. 54-6.
- ↑ Karch SB, Urich H. Medulloepithelioma: definition of an entity. J Neuropathol Exp Neurol 1972;31:27-53.
- 1 2 3 4 5 Sundaram C, Vydehi BV, Reddy JJ, Reddy AK. Medulloepithelioma: A case report. Neurol India 2003;51:546-7.
- ↑ Uncommon brain tumors Archived 2022-10-03 at the Wayback Machine, from UpToDate Online 17.3. Last updated 21 July 2009, Retrieved 7 January 2010.
- 1 2 Russel DS, Rubinstein LJ. Pathology of tumors the nervous system, 5th ed. Baltimore: Williams & Wilkins 1989; pp. 247-51.
- ↑ Deck JHN. Cerebral medulloepithelioma with maturation into ependymal cells and ganglion cells. J Neuropathol Exp Neurol 1969;28:442-54.
- ↑ McLean IW, Burnier MN, Zimmerman LE, et al. Tumors of the retina. In: Atlas of tumor pathology: tumors of the eye and ocular adnexa. Washington, DC: Armed Forces Institute of Pathology; 1994:97–154.
- ↑ Troost D, Jansen GH, Dingemans KP. Cerebral medulloepithelioma - electron microscopy and immunohistochemistry. Acta Neuropathol 1990;80:103-7.
- ↑ Rorke LB, Gilles FH, Davis RI, Becker LE. Revision of the World Health Organization classification of brain tumors for child hood brain tumors. Cancer 1985;56:1869-86.
- ↑ al-Torbak A, Abboud EB, al-Sharif A, el-Okda MO. Medulloepithelioma of the ciliary body. Indian J Ophthalmol. 2002 Jun;50(2):138-40.
- ↑ Vajaranant, TS, Mafee, MF, Kapur, R, et al. Medulloepithelioma of the ciliary body and optic nerve: clinicopathologic, CT, and MR imaging features. Neuroimaging Clin N Am 2005; 15:69.
- ↑ Sharma MC; Mahapatra AK; Gaikwad S; Jain AK; Sarkar C. Pigmented medulloepithelioma: report of a case and review of the literature. Childs Nerv Syst. 1998 Jan-Feb;14(1-2):74-8.
- ↑ Chidambaram B; Santosh V; Balasubramaniam V. Medulloepithelioma of the optic nerve with intradural extension--report of two cases and a review of the literature. Childs Nerv Syst. 2000 Jun;16(6):329-33.
- ↑ Depper, MH, Hart, BL. Pediatric Brain Tumors. In: Neuroimaging, Orrison, WW (ed), WB Saunders, Philadelphia, 2000. p. 1625.
- ↑ Sato T, Shimoda A, Takahishi T, et al. Congenital cerebellar neuroepithelial tumor with multiple divergent differentiation. Acta Neuropathol 1980;50:143-6.
- ↑ Scheithauer BW, Rubinstein LJ. Cerebral medulloepithelioma: Report of a case with multiple divergent neuroepithelial differentiation. Childs Brain 1979;5:62-71.
External links
| Classification |
|---|
Template:Eye tumors
