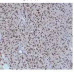
Oligoastrocytoma

Oligoastrocytoma
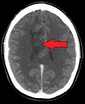
A oligoastrocytoma on CT
SpecialtyNeuro-oncology

Oligoastrocytomas are a subset of brain tumors that present with an appearance of mixed glial cell origin, astrocytoma and oligodendroglioma.[1] However, the term "Oligoastrocytoma" is now considered obsolete by the National Comprehensive Cancer Network[2] stating "the term should no longer be used as such morphologically ambiguous tumors can be reliably resolved into astrocytomas and oligodendrogliomas with molecular testing."

These types of glial cells that become cancerous are involved with insulating and regulating the activity of neuron cells in the central nervous system. Often called a "mixed glioma", about 2.3% of all reported brain tumors are diagnosed as oligoastrocytoma. The median age of diagnosis is 42.5. Oligoastrocytomas, like astrocytomas and oligodendrogliomas, can be divided into low-grade and anaplastic variant, the latter characterized by high cellularity, conspicuous cytologic atypism, mitotic activity and, in some cases, microvascular proliferation and necrosis.

However, lower grades can have less aggressive biology.

These are largely supratentorial tumors of adulthood that favor the frontal and temporal lobes.

Signs and symptoms

There are many possible symptoms of oligodendrogliomas that are similar to other gliomas. These symptoms may include headache, seizure and speech or motor changes.[3]

Diagnosis

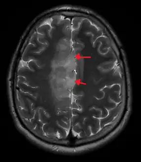
An X-ray computed tomography (CT) or magnetic resonance imaging (MRI) scan is necessary to characterize the anatomy of this tumor as to size, location, and its heter/homogeneity. However, final diagnosis of this tumor, like most tumors, relies on histopathologic examination (biopsy examination).[3]

Treatment

If resected, the surgeon will remove as much of this tumor as possible, without disturbing eloquent regions of the brain (speech/motor cortex) and other critical brain structure. Thereafter, treatment may include chemotherapy and radiation therapy of doses and types ranging based upon the patient's needs. Subsequent MRI examination are often necessary to monitor the resection cavity.

Prognosis

Even after surgery, an oligoastrocytoma will often recur. The treatment for a recurring brain tumor may include surgical resection, chemotherapy and radiation therapy. Survival time of this brain tumor varies; younger age and low-grade initial diagnosis are factors in improved survival time.

References

  1. Hiremath GK, Bingaman WE, Prayson RA, Nair D (September 2007). "Oligoastrocytoma presenting with intractable epilepsy". Epileptic Disord. 9 (3): 315–22. doi:10.1684/epd.2007.0117 (inactive 31 July 2022). PMID 17884756. Archived from the original on 10 July 2020. Retrieved 2 August 2022.{{cite journal}}: CS1 maint: DOI inactive as of July 2022 (link)
  2. "NCCN Guidelines: Central Nervous System Cancers" (PDF). www.nccn.org. National Comprehensive Cancer Network. Archived from the original on 8 March 2022. Retrieved 20 August 2018.
  3. 1 2 "Oligodendroglioma". The Lecturio Medical Concept Library. Archived from the original on 21 August 2021. Retrieved 21 August 2021.
Classification
This article is issued from Wmcloud. The text is licensed under Creative Commons - Attribution - Sharealike. Additional terms may apply for the media files.