Osteosclerosis
| Osteosclerosis | |
|---|---|
![]() | |
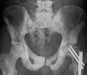
| Sclerosis of the bones of the pelvis due to prostate cancer metastases | |
Osteosclerosis is a disorder that is characterized by abnormal hardening of bone and an elevation in bone density. It may predominantly affect the medullary portion and/or cortex of bone. Plain radiographs are a valuable tool for detecting and classifying osteosclerotic disorders.[1][2] It can manifest in localized or generalized osteosclerosis. Localized osteosclerosis can be caused by Legg–Calvé–Perthes disease, sickle-cell disease and osteoarthritis among others. Osteosclerosis can be classified in accordance with the causative factor into acquired and hereditary.[2][1]
Types
- Malignant infantile osteopetrosis[3]
- Neuropathic infantile osteopetrosis
- Infantile osteopetrosis with renal tubular acidosis
- Infantile osteopetrosis with immunodeficiency
- IO with leukocyte adhesion deficiency syndrome (LAD-III)
- Intermediate osteopetrosis
- Autosomal dominant osteopetrosis (Albers-Schonberg)
- Pyknodysostosis (osteopetrosis acro-osteolytica)[2]
- Osteopoikilosis (Buschke–Ollendorff syndrome)[2]
- Osteopathia striata with cranial sclerosis[2]
- Mixed sclerosing bone dysplasia
- Progressive diaphyseal dysplasia (Camurati–Engelmann disease)[2]
- SOST-related sclerosing bone dysplasias
Acquired osteosclerosis
- Osteogenic bone metastasis caused by carcinoma of prostate and breast
- Paget's disease of bone
- Myelofibrosis (primary disorder or secondary to intoxication or malignancy)
- Osteosclerosing types of chronic osteomyelitis
- Hypervitaminosis D
- hyperparathyroidism
- Schnitzler syndrome[4]
- Mastocytosis[5]
- Skeletal fluorosis
- Monoclonal IgM Kappa cryoglobulinemia[6]
- Hepatitis C.[7]
X-ray showing increased density in all the bones-Malignant infantile osteopetrosis
Sclerosis of the bones of the thoracic spine due to prostate cancer metastases (CT image)
Sclerosis of the bones of the thoracic spine due to prostate cancer metastases (CT image)
Diagnosis
Osteosclerosis can be detected with a simple radiography. There are white portions of the bone which appear due to the increased number of bone trabeculae.
Treatment
Management depends on what type of osteosclerosis; in terms of Malignant infantile osteopetrosis we find that the effective line of treatment for it is hematopoietic stem cell transplantation.[3]
Other animals
In the animal kingdom, there also exists a non-pathological form of osteosclerosis, resulting in unusually solid bone structure with little to no marrow. It is often seen in aquatic vertebrates, especially those living in shallow waters,[8] providing ballast as an adaptation for an aquatic lifestyle. It makes bones heavier, but also more fragile. In those animal groups, osteosclerosis often occurs together with bone thickening (pachyostosis). This joint occurrence is called pachyosteosclerosis.[9]
See also
- Pachyostosis
- Pachyosteosclerosis
- Heinrich Albers-Schönberg
References
- 1 2 EL-Sobky TA, Elsobky E, Sadek I, Elsayed SM, Khattab MF (2016). "A case of infantile osteopetrosis: The radioclinical features with literature update". Bone Rep. 4: 11–16. doi:10.1016/j.bonr.2015.11.002. PMC 4926827. PMID 28326337.
{{cite journal}}: CS1 maint: multiple names: authors list (link) - 1 2 3 4 5 6 Ihde LL, Forrester DM, Gottsegen CJ, Masih S, Patel DB, Vachon LA; et al. (2011). "Sclerosing bone dysplasias: Review and differentiation from other causes of osteosclerosis". RadioGraphics. 31 (7): 1865–82. doi:10.1148/rg.317115093. PMID 22084176.
{{cite journal}}: CS1 maint: multiple names: authors list (link) - 1 2 EL-Sobky TA, El-Haddad A, Elsobky E, Elsayed SM, Sakr HM (2017). “Reversal of skeletal radiographic pathology in a case of malignant infantile osteopetrosis following hematopoietic stem cell transplantation” Archived 2021-08-29 at the Wayback Machine. Egypt J Radiol Nucl Med. 48 (1):237–43. http://doi.org/10.1016/j.ejrnm.2016.12.013 Archived 2021-08-29 at the Wayback Machine.
- ↑ Niederhauser, BD; Dingli, D; Kyle, RA; Ringler, MD (July 2014). "Imaging findings in 22 cases of Schnitzler syndrome: characteristic para-articular osteosclerosis, and the "hot knees" sign differential diagnosis". Skeletal Radiology. 43 (7): 905–15. doi:10.1007/s00256-014-1857-y. PMID 24652142. S2CID 1597002.
- ↑ Orsolini, Giovanni; Viapiana, Ombretta; Rossini, Maurizio; Bonifacio, Massimiliano; Zanotti, Roberta (August 2018). "Bone Disease in Mastocytosis". Immunology and Allergy Clinics of North America. 38 (3): 443–454. doi:10.1016/j.iac.2018.04.013. PMID 30007462. Archived from the original on 2022-06-20. Retrieved 2023-01-03.
- ↑ Soubrier, M; Dubost, JJ; Jouanel, P; Tridon, A; Flori, B; Leguille, C; Ristori, JM; Bussière, JL (1994). "[Multiple complications of monoclonal IgM]". La Revue de Médecine Interne. 15 (7): 484–6. doi:10.1016/s0248-8663(05)81474-2. PMID 7938961.
- ↑ Fiore CE, Riccobene S, Mangiafico R, Santoro F, Pennisi P (2005). "Hepatitis C-associated osteosclerosis (HCAO): report of a new case with involvement of the OPG/RANKL system" (PDF). Osteoporos Int. 16 (12): 2180–4. doi:10.1007/s00198-005-1858-8. PMID 15983730. S2CID 39008572. Archived (PDF) from the original on 2022-05-28. Retrieved 2023-01-03.
- ↑ Houssaye, A. (2009). "Pachyostosis" in aquatic amniotes: a review. Integrative Zoology 4(4): 325-340.
- ↑ Crowell, Madelyn Galimore; Rahmat, Sulman; Koretsky, Irina (2020). "Correlation of Bone Density in Semi‐Aquatic and Aquatic Animals with Ecological and Dietary Specializations". The FASEB Journal. Wiley. 34 (S1): 1. doi:10.1096/fasebj.2020.34.s1.01860. ISSN 0892-6638. S2CID 218789355.
External links
| Classification |
|---|
