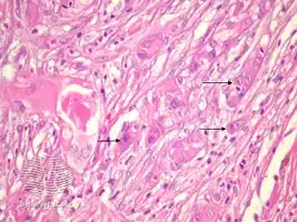
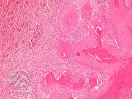
Proliferating trichilemmal cyst

Proliferating trichilemmal cyst
Other names: Proliferating pilar cyst [1]
Proliferating tricholemmal (pilar) cyst

Proliferating trichilemmal cysts (also known as a "Pilar tumor", "Proliferating follicular cystic neoplasm", "Proliferating pilar tumor", and "Proliferating trichilemmal tumor"[2]) are a cutaneous condition characterized by proliferations of squamous cells forming scroll-like structures.[2][3]:678

See also

References

  1. "Proliferating trichilemmal cyst | Genetic and Rare Diseases Information Center (GARD) – an NCATS Program". rarediseases.info.nih.gov. Archived from the original on 29 August 2021. Retrieved 16 May 2019.
  2. 1 2 Rapini, Ronald P.; Bolognia, Jean L.; Jorizzo, Joseph L. (2007). Dermatology: 2-Volume Set. St. Louis: Mosby. ISBN 1-4160-2999-0.
  3. James, William D.; Berger, Timothy G.; et al. (2006). Andrews' Diseases of the Skin: Clinical Dermatology. Saunders Elsevier. ISBN 0-7216-2921-0.
Classification
External resources


Template:Epidermal-growth-stub

This article is issued from Wmcloud. The text is licensed under Creative Commons - Attribution - Sharealike. Additional terms may apply for the media files.