Endometrioid carcinoma
| Endometrioid carcinoma | |
|---|---|
![]() | |
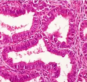
| Histopathology of a well-differentiated endometrioid adenocarcinoma in the ovary | |
| Specialty | Oncology, gynecology |
| Symptoms | Abnormal vaginal bleeding after menopause, pelvic pain, distended abdomen[1] |
| Types | Mesonephric adenocarcinoma, mesonephric-like adenocarcinoma, squamous cell carcinoma, mucinous carcinoma, intestinal type[2] |
| Frequency | 382,000 worldwide (2018)[1] |
Endometrioid carcinoma is a type of endometrial cancer.[1] It typically presents with abnormal vaginal bleeding after menopause, pelvic pain and a distended abdomen, similar to ovarian cancer symptoms.[1]
Four molecular subtypes exist; mesonephric adenocarcinoma, mesonephric-like adenocarcinoma, squamous cell carcinoma and mucinous carcinoma, intestinal type.[2]
Endometrioid carcinoma accounts for around 80% of all uterine cancers in Europe and 90% in the United States.[1] In 2018, 382,000 women worldwide were diagnosed with the condition, making it the sixth most commonly diagnosed cancer in females.[1]
See also
References
- 1 2 3 4 5 6 WHO Classification of Tumours Editorial Board, ed. (2020). "6. Tumours of the uterine corpus: Endometrioid carcinoma". Female genital tumours: WHO Classification of Tumours. Vol. 4 (5th ed.). Lyon (France): International Agency for Research on Cancer. pp. 252–255. ISBN 978-92-832-4504-9. Archived from the original on 2022-06-17. Retrieved 2022-07-31.
- 1 2 Masood, Mariam; Singh, Naveena (1 December 2021). "Endometrial carcinoma: changes to classification (WHO 2020)". Diagnostic Histopathology. 27 (12): 493–499. doi:10.1016/j.mpdhp.2021.09.003. ISSN 1756-2317. Archived from the original on 21 February 2024. Retrieved 19 March 2024.
External links
| Classification |
|---|
This article is issued from Wmcloud. The text is licensed under Creative Commons - Attribution - Sharealike. Additional terms may apply for the media files.
