Crus fracture
Crus fracture | |
---|---|
![]() | |
A tibial plateau fracture | |
![]() | |
Frequency | Lua error in Module:PrevalenceData at line 5: attempt to index field 'wikibase' (a nil value). |
A crus fracture is a fracture of the lower legs bones meaning either or both of the tibia and fibula. Template:Muller AO
Tibia fractures

A distal tibia fracture
Tibia fracture is common in up to 4 percent of seniors, and is a common long bone fracture[1]
- Pilon fracture
- Tibial plateau fracture
- Toddler's fracture - an undisplaced and spiral fracture of the distal third to distal half of the tibia[2]
- Tibia shaft fracture
- Bumper fracture - a fracture of the lateral tibial plateau caused by a forced valgus applied to the knee
- Segond fracture - an avulsion fracture of the lateral tibial condyle
- Gosselin fracture - a fractures of the tibial plafond into anterior and posterior fragments[3]
Fibular fracture
Ankle fractures are mainly represented by distal fibula fractures [4]
- Maisonneuve fracture - a spiral fracture of the proximal third of the fibula associated with a tear of the distal tibiofibular syndesmosis and the interosseous membrane.
- Le Fort fracture of ankle - a vertical fracture of the antero-medial part of the distal fibula with avulsion of the anterior tibiofibular ligament.[5]
- Bosworth fracture - a fracture with an associated fixed posterior dislocation of the proximal fibular fragment which becomes trapped behind the posterior tibial tubercle. The injury is caused by severe external rotation of the ankle.[6]
- Volkmann's fracture or Earle's fracture, a fracture of the postero-lateral rim of the distal fibula.[7]
Combined tibia and fibula fracture

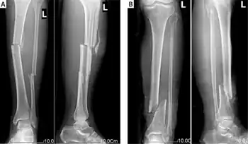
X-ray film of typical cases with open tibia and fibula fracture.
A tib-fib fracture is a fracture of both the tibia and fibula of the same leg in the same incident. Since the fibula is smaller and weaker than the tibia, a force strong enough to fracture the tibia often fractures the fibula as well. Types include:
- Trimalleolar fracture - involving the lateral malleolus, medial malleolus and the distal posterior aspect of the tibia
- Bimalleolar fracture - involving the lateral malleolus and the medial malleolus.
- Pott's fracture - an archaic term loosely applied to a variety of bimalleolar ankle fractures.[8]
References
- ↑ Thompson, Johnathan H.; Koutsogiannis, Petros; Jahangir, Alex (2023). "Tibia Fractures Overview". StatPearls. StatPearls Publishing. Archived from the original on 25 March 2022. Retrieved 13 April 2023.
- ↑ Mellick LB, Milker L, Egsieker E (October 1999). "Childhood accidental spiral tibial (CAST) fractures". Pediatr Emerg Care. 15 (5): 307–9. doi:10.1097/00006565-199910000-00001. PMID 10532655.
- ↑ Hunter, Tim B; Leonard F Peltier; Pamela J Lund (May 2000). "Musculoskeletal Eponyms: Who Are Those Guys?". RadioGraphics. 20 (3): 819–836. doi:10.1148/radiographics.20.3.g00ma20819. PMID 10835130.
- ↑ Canton, Gianluca; Sborgia, Andrea; Maritan, Guido; Fattori, Roberto; Roman, Federico; Tomic, Marko; Morandi, Massimo Max; Murena, Luigi (18 May 2021). "Fibula fractures management". World Journal of Orthopedics. 12 (5): 254–269. doi:10.5312/wjo.v12.i5.254. Archived from the original on 11 November 2022. Retrieved 13 April 2023.
- ↑ Tim B Hunter; Leonard F Peltier; Pamela J Lund (2000). "Musculoskeletal Eponyms: Who Are Those Guys?". RadioGraphics. 20: 829. doi:10.1148/radiographics.20.3.g00ma20819. PMID 10835130.
- ↑ Perry, CR; Rice S; Rao A; Burdge R. (Oct 1983). "Posterior fracture-dislocation of the distal part of the fibula. Mechanism and staging of injury". J Bone Joint Surg Am. 65 (8): 1149–57. doi:10.2106/00004623-198365080-00016. PMID 6630259. Archived from the original on 2010-11-01. Retrieved 2009-10-10.
- ↑ Müller ME, Allgöwer M, Schneider R, Willenegger H (1991). Manual of INTERNAL FIXATION: Techniques Recommended by the Ao-Asif Group. Springer Science & Business Media. pp. 148–. ISBN 978-3-540-52523-3. Archived from the original on 2023-04-13. Retrieved 2023-04-05.
- ↑ Hunter, T., Peltier, L.F. Lund, P. J. (2000). Radiographics. 20:819-736 Archived 2009-06-01 at the Wayback Machine.
This article is issued from Wmcloud. The text is licensed under Creative Commons - Attribution - Sharealike. Additional terms may apply for the media files.