Tillaux fracture

Tillaux fracture
Other names:
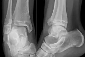
X-ray of a Tillaux fracture in an 11 year old female
SpecialtyOrthopedics

A Tillaux fracture is a Salter–Harris type III fracture through the anterolateral aspect of the distal tibial epiphysis.[1] It occurs in older adolescents between the ages of 12 and 15 when the medial epiphysis had closed but before the lateral side has done so,[2] due to an avulsion of the anterior inferior tibiofibular ligament, at the opposite end to a Wagstaffe-Le Fort avulsion fracture

Signs and symptoms

The presentation of Tillaux fracture is pain and swelling in anterior lateral part of ankle[3]

Mechanism

The fracture commonly results from an abduction-external rotation force, causing the anterior tibiofibular ligament to avulse the anterolateral corner of the distal tibial epiphysis resulting in a Salter Harris Type III fracture.

Pathology

It occurs in older children at the end of growth. Variability in fracture pattern is due to progression of physeal closure as anterolateral part of distal tibial physis is the last to close. When the lateral physis is the only portion not fused, external rotation may lead to Tillaux or Triplane fractures.[4]

Diagnosis

The diagnosis of Tillaux fracture is done via the following manner:[3]

  • X-ray ( Anteroposterior, lateral, and Mortise views)
  • CT scan

Treatment

If the displacement at fracture is less than 2 mm, it may be managed conservatively. However, displacement requires open reduction and internal fixation, especially when displacement is over 2 mm.[5]

Epidemiology

It occurs commonly in adolescents and older children. However, it does occur rarely in adults though it may be under reported because of difficulty in diagnosis.[6]

Name

This fracture pattern is named after Paul Jules Tillaux, a French Anatomist and Surgeon (1834-1904).

See also

References

  1. "Wheeless Online". Archived from the original on 31 December 2017. Retrieved 30 October 2014. {{cite web}}: More than one of |archivedate= and |archive-date= specified (help); More than one of |archiveurl= and |archive-url= specified (help)
  2. "Radiopaedia". Archived from the original on 16 October 2014. Retrieved 30 October 2014. {{cite web}}: More than one of |archivedate= and |archive-date= specified (help); More than one of |archiveurl= and |archive-url= specified (help)
  3. 1 2 Habusta, Steven F.; Ponnarasu, Subitchan; Mabrouk, Ahmed; Griffin, Edward E. (2023). "Tillaux Fracture". StatPearls. StatPearls Publishing. Archived from the original on 28 March 2023. Retrieved 28 March 2023. {{cite book}}: More than one of |archivedate= and |archive-date= specified (help); More than one of |archiveurl= and |archive-url= specified (help)
  4. Hirsch M, et al. Understanding triplane distal tibia fractures. http://dx.doi.org/10.1016/j.rchira.2016.09.002 Archived 2023-03-28 at the Wayback Machine
  5. Tiefenboeck, Thomas M.; Binder, Harald; Joestl, Julian; Tiefenboeck, Michael M.; Boesmueller, Sandra; Krestan, Christian; Schurz, Mark (2016). "Displaced juvenile Tillaux fractures". Wiener klinische Wochenschrift. 129 (5–6): 169–175. doi:10.1007/s00508-016-1059-9. ISSN 0043-5325. PMC 5346147.
  6. Kumar, Narinder; Prasad, Manish (2014). "Tillaux Fracture of the Ankle in an Adult: A Rare Injury". The Journal of Foot and Ankle Surgery. 53 (6): 757–8. doi:10.1053/j.jfas.2014.06.010. PMID 25128312.
Classification
External resources
This article is issued from Wmcloud. The text is licensed under Creative Commons - Attribution - Sharealike. Additional terms may apply for the media files.