Rolando fracture

Rolando fracture
Other names: Intra-articular thumb metacarpal base fracture with three or more segments; comminuted Bennett fracture[1]
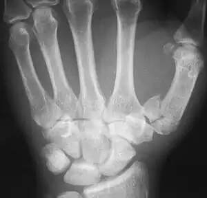
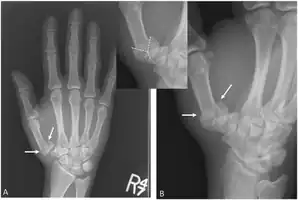
Rolando fracture - a comminuted intra-articular fracture of the first metacarpal bone.
SpecialtyPlastic surgery, orthopedics
SymptomsThumb pain and swelling[2]
ComplicationsStiffness, osteoarthritis[3]
Usual onsetSudden[2]
CausesForce along the long axis of the thumb[4]
Diagnostic methodMedical imaging: X-ray, CT scan, MRI[3]
Differential diagnosisBennett fracture, other first metacarpal fractures[3][4]
TreatmentGenerally surgery[4]
PrognosisGenerally some ongoing issues[5]
Frequency~2% of hand fractures[3]

Rolando fracture is a type of broken finger involving the base of the thumb, which extends into the knuckle joint.[6][1] Symptoms generally include sudden onset of pain and swelling of the thumb.[2] Movement worsens symptoms.[2] Complications can include long-term stiffness and osteoarthritis.[3]

The cause is generally a force along the long axis of the thumb, such as during a fight.[3][4] Diagnosis is by medical imaging; such as X-ray, CT scan, or MRI.[3] It results in at least three bone fragments, which often form a T- or Y-shaped pattern.[3][4] It differs from a Bennett fracture which only results in two bone fragments.[4]

Treatment generally requires surgery.[4] Options may include closed reduction with k-wire fixation or distraction with external fixation.[2] Function generally does not return completely to normal.[5]

Rolando fractures account for 1.4% to 4% of hand fractures and up to 20% base of thumb fractures.[3] Males are affected about 10 times more often than females.[4] The most common age of those affected is 20s to 30s.[4] It was first described in 1910 by Silvio Rolando.[3][7]

Diagnosis

Treatment

There are several proposed methods of treatment. The quality of reduction does not correlate with late symptoms and osteoarthritic changes. Despite this fact, the joint surface should be restored as close to its anatomical position as possible. Some advocate fixation with Kirschner wires, or plate and screw constructions. Another accepted treatment is an external fixator accompanied by the tension band wiring technique.[8]

Tension band wiring is a technique in which the bone fragments are transfixed by Kirschner wires, which are then also used as an anchor for a loop of flexible wire. As the loop is tightened the bone fragments are compressed together.

Epidemiology

The Rolando fracture is a common type of articular fracture.[6]

See also

References

  1. 1 2 Cadogan, Mike (1 August 2018). "Rolando fracture". Life in the Fast Lane • LITFL. Archived from the original on 27 March 2023. Retrieved 21 February 2024.
  2. 1 2 3 4 5 "Base of Thumb Fractures - Hand - Orthobullets". www.orthobullets.com. Archived from the original on 7 December 2023. Retrieved 21 February 2024.
  3. 1 2 3 4 5 6 7 8 9 10 Feletti, Francesco; Varacallo, Matthew (2022). "Rolando Fractures". StatPearls. StatPearls Publishing. PMID 31194364. Archived from the original on 2022-09-27. Retrieved 2022-09-08.
  4. 1 2 3 4 5 6 7 8 9 Gaillard, Frank. "Rolando fracture | Radiology Reference Article | Radiopaedia.org". Radiopaedia. Archived from the original on 25 October 2023. Retrieved 21 February 2024.
  5. 1 2 "Rolando fracture". fpnotebook.com. Archived from the original on 6 February 2023. Retrieved 21 February 2024.
  6. 1 2 White, Timothy O.; Mackenzie, Samuel P.; Gray, Alasdair J. (2016). "13. Hand". McRae's Orthopaedic Trauma and Emergency Fracture Management (3rd ed.). Elsevier. pp. 275–277. ISBN 978-0-7020-5728-1. Archived from the original on 2024-02-22. Retrieved 2022-09-08.
  7. Rolando, S (April 2006). "Fracture of the base of the first metacarpal and a variation that has not yet been described: 1910. (Translated by Roy A. Meals)". Clinical orthopaedics and related research. 445: 15–8. doi:10.1097/01.blo.0000205897.21233.11. PMID 16601408.
  8. Howard, FM (Jul 1987). "Fractures of the basal joint of the thumb". Clinical Orthopaedics and Related Research (220): 46–51. doi:10.1097/00003086-198707000-00007. PMID 3595009.
Classification
External resources
This article is issued from Wmcloud. The text is licensed under Creative Commons - Attribution - Sharealike. Additional terms may apply for the media files.