Rib fracture

Rib fracture
Other names: Broken rib, cracked rib
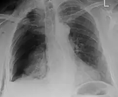
An X ray showing multiple old fractured ribs of the person's left side as marked by the oval.
SpecialtyEmergency medicine
SymptomsChest pain that is worse with breathing in[1]
ComplicationsPulmonary contusion, pneumothorax, pneumonia[1][2]
CausesChest trauma[2]
Diagnostic methodBased on symptoms, medical imaging[3]
MedicationParacetamol (acetaminophen), NSAIDs, opioids[2]
PrognosisPain improves over 6 weeks[3]
FrequencyCommon[2]

A rib fracture is a break in a rib bone.[1] This typically results in chest pain that is worse with breathing in.[1] Bruising may occur at the site of the break.[3] When several ribs are broken in several places a flail chest results.[4] Potential complications include a pneumothorax, pulmonary contusion, and pneumonia.[2][1]

Rib fractures usually occur from a direct blow to the chest such as during a motor vehicle collision or from a crush injury.[2][1] Coughing or metastatic cancer may also result in a broken rib.[1] The middle ribs are most commonly fractured.[5][1] Fractures of the first or second ribs are more likely to be associated with complications.[6] Diagnosis can be made based on symptoms and supported by medical imaging.[3]

Pain control is an important part of treatment.[7] This may include the use of paracetamol (acetaminophen), NSAIDs, or opioids.[2] A nerve block may be another option.[1] While fractured ribs have been wrapped, this may increase complications.[1] In those with a flail chest, surgery may improve outcomes.[8][9] They are a common injury following trauma.[10]

Signs and symptoms

This typically results in chest pain that is worse with breathing in.[1] Bruising may occur at the site of the break.[3]

Complications

When several ribs are broken in several places a flail chest results.[4] Potential complications include a pneumothorax, pulmonary contusion, and pneumonia.[2][1]

Causes

Rib fractures can occur with or without direct trauma during recreational activity. Cardiopulmonary resuscitation (CPR) has also been known to cause thoracic injury, including but not limited to rib and sternum fractures. They can also occur as a consequence of diseases such as cancer or rheumatoid arthritis. While for elderly individuals a fall can cause a rib fracture, in adults automobile accidents are a common event for such an injury.[11]

Diagnosis

Signs of a broken rib may include:[12]

  • Pain on inhalation
  • Swelling in chest area
  • Bruise in chest area
  • Increasing shortness of breath
  • Coughing up blood (rib may have damaged lung)

Plain X-rays often pick up displaced fractures but often miss undisplaced fractures.[13] CT scanning is generally able to pick up both types of fractures.[13]

Because children have more flexible chest walls than adults do, their ribs are more likely to bend than to break; therefore the presence of rib fractures in children is evidence of a significant amount of force and may indicate severe thoracic injuries such as pulmonary contusion.[4] Rib fractures are also a sign of more serious injury in elderly people.[14]

Treatment

There is no specific treatment for rib fractures, but various supportive measures can be taken. In simple rib fractures, pain can lead to reduced movement and cough suppression; this can contribute to formation of secondary chest infection.[15] Flail chest is a potentially life-threatening injury and will often require a period of assisted ventilation.[16] Flail chest and first rib fractures are high-energy injuries and should prompt investigation of damage to underlying viscera (e.g., lung contusion) or remotely (e.g., cervical spine injury).[17][18] Spontaneous fractures in athletes generally require a cessation of the cause, e.g., time off from whatever physical activity that may have caused it.[19]

Nerve blocks

Nerve blocks that may be used to help with pain related to rib fractures include epidural anesthesia, paravertebral block, erector spinae plane block and serratus anterior plane block.[20][21][22]

Surgery

Treatment options for internal fixation/repair of rib fractures include:

  • Judet and/or sanchez plates/struts are a metal plate with strips that bend around the rib and then is further secured with sutures.[23]
  • Synthes matrixrib fixation system has two options: a precontoured metal plate that uses screws to secure the plate to the rib; and/or an intramedullary splint which is tunneled into the rib and secured with a set screw.[24]
  • Anterior locking plates are metal plates that have holes for screws throughout the plate. The plate is positioned over the rib and screwed into the bone at the desired position. The plates may be bent to match the contour of the section.[25]
  • U-plates can also be used as they clamp on to the superior aspect of the ribs using locking screws.[26]

See also

References

  1. 1 2 3 4 5 6 7 8 9 10 11 12 Mosby's Medical Dictionary (E-Book). Elsevier Health Sciences. 2013. p. 1567. ISBN 978-0323112581. Archived from the original on 2017-10-13.
  2. 1 2 3 4 5 6 7 8 May, L; Hillermann, C; Patil, S (January 2016). "Rib fracture management". BJA Education. 16 (1): 26–32. doi:10.1093/bjaceaccp/mkv011.
  3. 1 2 3 4 5 Adams, James G. (2012). Emergency Medicine E-Book: Clinical Essentials (Expert Consult – Online). Elsevier Health Sciences. p. 682. ISBN 978-1455733941. Archived from the original on 2017-10-13.
  4. 1 2 3 Wanek, Sandra; Mayberry, John C (2004). "Blunt thoracic trauma: flail chest, pulmonary contusion, and blast injury". Critical Care Clinics. 20 (1): 71–81. doi:10.1016/S0749-0704(03)00098-8. PMID 14979330.
  5. Nanni, Christina (2012). PET-CT: Rare Findings and Diseases. Springer. p. 257. ISBN 978-3-642-24698-2.
  6. Murphy CE, 4th; Raja, AS; Baumann, BM; Medak, AJ; Langdorf, MI; Nishijima, DK; Hendey, GW; Mower, WR; Rodriguez, RM (27 May 2017). "Rib Fracture Diagnosis in the Panscan Era" (PDF). Annals of Emergency Medicine. 70 (6): 904–909. doi:10.1016/j.annemergmed.2017.04.011. PMID 28559032. Archived (PDF) from the original on 14 March 2020. Retrieved 30 August 2019.
  7. Brown, SD; Walters, MR (2012). "Patients with rib fractures: use of incentive spirometry volumes to guide care". Journal of Trauma Nursing. 19 (2): 89–91, quiz 92–03. doi:10.1097/JTN.0b013e31825629ee. PMID 22673074.
  8. Schuurmans, J; Goslings, JC; Schepers, T (April 2017). "Operative management versus non-operative management of rib fractures in flail chest injuries: a systematic review". European Journal of Trauma and Emergency Surgery. 43 (2): 163–68. doi:10.1007/s00068-016-0721-2. PMC 5378742. PMID 27572897.
  9. Coughlin, TA; Ng, JW; Rollins, KE; Forward, DP; Ollivere, BJ (August 2016). "Management of rib fractures in traumatic flail chest: a meta-analysis of randomised controlled trials". The Bone & Joint Journal. 98-B (8): 1119–25. doi:10.1302/0301-620X.98B8.37282. PMID 27482027.
  10. Senekjian, L; Nirula, R (January 2017). "Rib Fracture Fixation: Indications and Outcomes". Critical Care Clinics. 33 (1): 153–65. doi:10.1016/j.ccc.2016.08.009. PMID 27894495.
  11. Rib Fracture at eMedicine
  12. "Broken or bruised ribs". NHS.UK. 2015. Archived from the original on 20 August 2015. Retrieved 15 August 2015.
  13. 1 2 Dennis, BM; Bellister, SA; Guillamondegui, OD (October 2017). "Thoracic Trauma". The Surgical Clinics of North America. 97 (5): 1047–1064. doi:10.1016/j.suc.2017.06.009. PMID 28958357.
  14. Kent, Richard; Woods, William; Bostrom, Ola (2008-01-01). "Fatality Risk and the Presence of Rib Fractures". Annals of Advances in Automotive Medicine / Annual Scientific Conference. 52: 73–84. ISSN 1943-2461. PMC 3256783. PMID 19026224.
  15. Morice, A H; McGarvey, L; Pavord, I (2006). "Recommendations for the management of cough in adults". Thorax. 61 (Suppl 1): i1–24. doi:10.1136/thx.2006.065144. PMC 2080754. PMID 16936230.
  16. Paul, Pauline; Williams, Beverly (2009-01-01). Brunner & Suddarth's Textbook of Canadian Medical-surgical Nursing. Lippincott Williams & Wil. p. 637. ISBN 9780781799898. Archived from the original on 2016-06-29.
  17. Perera, Thomas; King, Kevin. "Flail chest". StatPearls. NIH. Archived from the original on 29 August 2021. Retrieved 14 October 2020.
  18. Sammy, Ian Ayenga; Chatha, Hridesh; Lecky, Fiona; Bouamra, Omar; Fragoso-Iñiguez, Marisol; Sattout, Abdo; Hickey, Michael; Edwards, John E. (1 April 2017). "Are first rib fractures a marker for other life-threatening injuries in patients with major trauma? A cohort study of patients on the UK Trauma Audit and Research Network database". Emergency Medicine Journal. 34 (4): 205–211. doi:10.1136/emermed-2016-206077. ISSN 1472-0205. Archived from the original on 11 August 2020. Retrieved 15 October 2020.
  19. Wick, Jeannette Y. (1 February 2009). "Spontaneous Fracture: Multiple Causes". The Consultant Pharmacist. 24 (2): 100–112. doi:10.4140/tcp.n.2009.100. Archived from the original on 29 August 2021. Retrieved 14 October 2020.
  20. Wardhan, R (October 2013). "Assessment and management of rib fracture pain in geriatric population: an ode to old age". Current Opinion in Anesthesiology. 26 (5): 626–31. doi:10.1097/01.aco.0000432516.93715.a7. PMID 23995061.
  21. Grant, Stuart A.; Auyong, David B. (2016). Ultrasound Guided Regional Anesthesia. Oxford University Press. p. PT388. ISBN 9780190630478. Archived from the original on 2021-08-29. Retrieved 2020-05-12.
  22. Riley, B.; Malla, U.; Snels, N.; Mitchell, A.; Abi-Fares, C.; Basson, W.; Anstey, C.; White, L. (2020). "Erector spinae and serratus anterior blocks for the management of rib fractures: A retrospective exploratory matched study". The American Journal of Emergency Medicine: S0735675720300073. doi:10.1016/j.ajem.2020.01.007. PMID 31932127. Archived from the original on 2021-08-29. Retrieved 2020-05-06.
  23. Fitzpatrick, D. C.; Denard, P. J.; Phelan, D.; Long, W. B.; Madey, S. M.; Bottlang, M. (2010). "Operative stabilization of flail chest injuries: review of literature and fixation options". European Journal of Trauma and Emergency Surgery. 36 (5): 427–33. doi:10.1007/s00068-010-0027-8. PMC 3150812. PMID 21841954.
  24. Mathison, Douglas (2014). Master Techniques in Surgery: Thoracic Surgery: Transplantation, Tracheal Resections, Mediastinal Tumors, Extended Thoracic Resections. Walters-Kluwer Health. ISBN 978-1-46988-903-0. Archived from the original on 12 May 2016. Retrieved 15 August 2015.Rib fracture at Google Books
  25. Browner, Bruce D. (2009-01-01). Skeletal Trauma: Basic Science, Management, and Reconstruction. Elsevier Health Scien. p. 1418. ISBN 978-1416022206. Archived from the original on 2016-05-08.
  26. de Jong, M. B.; Kokke, M. C.; Hietbrink, F.; Leenen, L. P. H. (2014). "Surgical Management of Rib Fractures: Strategies and Literature Review". Scandinavian Journal of Surgery. 103 (2): 120–25. doi:10.1177/1457496914531928. PMID 24782038.
Classification
External resources
This article is issued from Wmcloud. The text is licensed under Creative Commons - Attribution - Sharealike. Additional terms may apply for the media files.