Mycobacterium caprae
| Mycobacterium caprae | |
|---|---|
| Scientific classification | |
| Domain: | |
| Phylum: | |
| Class: | |
| Order: | |
| Family: | |
| Genus: | |
| Species: | M. caprae |
| Binomial name | |
| Mycobacterium caprae Aranaz et al. 2003,[1] ATCC BAA-824 | |
Mycobacterium caprae is a species of bacteria in the genus Mycobacterium and a member of the Mycobacterium tuberculosis complex. The species is named after the caprines, the organisms from which M. caprae was first isolated.[2] Prior to 2003, the species was referred to as Mycobacterium tuberculosis subsp. caprae.[1] It is also synonymous with the name Mycobacterium bovis subsp. caprae.
M. caprae is a causative agent of tuberculosis in humans.[3][4] The species has also been isolated from tuberculous lesions in cattle, pigs, deer, and wild boars,[5] as well as from camels and bison.[6]

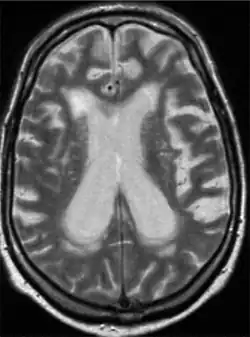
Individual infected with Mycobacterium caprae -Non-contrast MRI of brain shows slight atrophy, ventricular enlargement and cerebral microangiopathy
References
- 1 2 Aranaz A, Cousins D, Mateos A, Domínguez L (November 2003). "Elevation of Mycobacterium tuberculosis subsp. caprae Aranaz et al. 1999 to species rank as Mycobacterium caprae comb. nov., sp. nov". Int. J. Syst. Evol. Microbiol. 53 (Pt 6): 1785–9. doi:10.1099/ijs.0.02532-0. PMID 14657105.
- ↑ Aranaz, A.; Liebana, E.; Gomez-Mampaso, E.; Galan, J.C.; Cousins, D.; Ortega, A.; Blazquez, J.; Baquero, F.; Mateos, A.; Suarez, G.; Dominguez, L. (July 1, 1999). "Mycobacterium tuberculosis subsp. caprae subsp. nov.: A taxonomic study of a new member of the Mycobacterium tuberculosis complex isolated from goats in Spain". International Journal of Systematic Bacteriology.
- ↑ Rodríguez E, Sánchez LP, Pérez S, et al. (December 2009). "Human tuberculosis due to Mycobacterium bovis and M. caprae in Spain, 2004–2007". Int. J. Tuberc. Lung Dis. 13 (12): 1536–41. PMID 19919773.
- ↑ Kubica, T.; Rusch-Gerdes, S.; Niemann, S. (1 July 2003). "Mycobacterium bovis subsp. caprae Caused One-Third of Human M. bovis-Associated Tuberculosis Cases Reported in Germany between 1999 and 2001". Journal of Clinical Microbiology. 41 (7): 3070–3077. doi:10.1128/JCM.41.7.3070-3077.2003. PMC 165304. PMID 12843046.
- ↑ Rodríguez, Sabrina; Bezos, Javier; Romero, Beatriz; de Juan, Lucía; Álvarez, Julio; Castellanos, Elena; Moya, Nuria; Lozano, Francisco; Javed, M. Tariq; Sáez-Llorente, José L.; Liébana, Ernesto; Mateos, Ana; Domínguez, Lucas; Aranaz, Alicia; Tuberculosis, Monitoring of Animal (March 2011). "Mycobacterium caprae Infection in Livestock and Wildlife, Spain". Emerging Infectious Diseases. 17 (3): 532–535. doi:10.3201/eid1703.100618. PMC 3165998. PMID 21392452.
- ↑ Pate, M.; Švara, T.; Gombač, M.; Paller, T.; Žolnir-Dovč, M.; Emeršič, I.; Prodinger, W. M.; Bartoš, M.; Zdovc, I.; Krt, B.; Pavlik, I.; Cvetnić, Ž.; Pogačnik, M.; Ocepek, M. (October 2006). "Outbreak of Tuberculosis Caused by Mycobacterium caprae in a Zoological Garden". Journal of Veterinary Medicine, Series B. 53 (8): 387–392. doi:10.1111/j.1439-0450.2006.01000.x. PMID 17010043.
External links
- "Mycobacterium caprae". NCBI Taxonomy Browser. 115862. Archived from the original on 2023-08-08. Retrieved 2022-08-23.
This article is issued from Wmcloud. The text is licensed under Creative Commons - Attribution - Sharealike. Additional terms may apply for the media files.
