Mycobacterium triplex
| Mycobacterium triplex | |
|---|---|
| Scientific classification | |
| Domain: | Bacteria |
| Phylum: | Actinomycetota |
| Class: | Actinomycetia |
| Order: | Mycobacteriales |
| Family: | Mycobacteriaceae |
| Genus: | Mycobacterium |
| Species: | M. triplex |
| Binomial name | |
| Mycobacterium triplex Floyd, et al. 1997[1] | |
Mycobacterium triplex is a species of Mycobacterium.[2] It is closely related to Mycobacterium genavense.[3]
It causes disease in immunocompromised patients.[4]

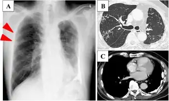
a) Chest X-ray image shows a reticular shadow in right upper lung b,c) high-resolution CT showed centrilobular micronodules in right upper lobe
References
- ↑ "Genus Mycobacterium". LPSN. Archived from the original on 7 July 2020. Retrieved 17 April 2018.
- ↑ Floyd, MM; Guthertz, LS; Silcox, VA; Duffey, PS; Jang, Y; Desmond, EP; Crawford, JT; Butler, WR (December 1996). "Characterization of an SAV organism and proposal of Mycobacterium triplex sp. nov". J. Clin. Microbiol. 34 (12): 2963–7. doi:10.1128/JCM.34.12.2963-2967.1996. PMC 229442. PMID 8940431.
- ↑ Tortoli, E (2005). "Mycobacterium florentinum sp. nov., isolated from humans". International Journal of Systematic and Evolutionary Microbiology. 55 (3): 1101–1106. doi:10.1099/ijs.0.63485-0. PMID 15879240.
- ↑ Piersimoni C, Zitti P, Mazzarelli G, Mariottini A, Nista D, Zallocco D. Mycobacterium triplex pulmonary disease in immunocompetent host. Archived 2009-11-05 at the Wayback Machine Emerg Infect Dis. 2004 Oct.
External links
- Type strain of Mycobacterium triplex at BacDive - the Bacterial Diversity Metadatabase Archived 2017-02-02 at the Wayback Machine
This article is issued from Wmcloud. The text is licensed under Creative Commons - Attribution - Sharealike. Additional terms may apply for the media files.