Mycobacterium heckeshornense
| Mycobacterium heckeshornense | |
|---|---|
| Scientific classification | |
| Domain: | Bacteria |
| Phylum: | Actinomycetota |
| Class: | Actinomycetia |
| Order: | Mycobacteriales |
| Family: | Mycobacteriaceae |
| Genus: | Mycobacterium |
| Species: | M. heckeshornense |
| Binomial name | |
| Mycobacterium heckeshornense Roth et al. 2001, DSM 44428 | |
Mycobacterium heckeshornense is a species of the phylum Actinomycetota (Gram-positive bacteria with high guanine and cytosine content, one of the dominant phyla of all bacteria), belonging to the genus Mycobacterium.
Description
Gram-positive, nonmotile and acid-fast rods. Cells are typically rod-shaped, with some coccoid forms.
Colony characteristics Smooth, yellow scotochromogenic colonies appear after 4 weeks of culture.
- Slowly growing organism, colonies appear after 4 weeks of growth.
- Able to grow at 37 °C and 45 °C.
Differential characteristics
- The phylogenetic position of this species is within the cluster defined by M. xenopi and M. botniense.
- Key differentiating features are negative tests for arylsulfatase and pyrazinamidase and susceptibility to antimycobacterial drugs.
Type strain
- The type strain was isolated from human lung by bronchoscopy.
Strain S369 = CCUG 51897 = DSM 44428
Infection
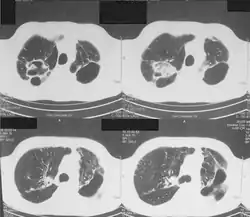
.png.webp)
Mycobacterium heckeshornense- Chest computed tomographic scan showing pulmonary infiltrates and cavities.
- Seems to be pathogenic in immunocompetent humans.
References
- Roth et al. 2000. Mycobacterium heckeshornense sp. nov., a new pathogenic slowly growing Mycobacterium sp. causing cavitary lung disease in an immunocompetent patient. J. Clin. Microbiol.,38, 4102–4107.
External links
- Type strain of Mycobacterium heckeshornense at BacDive - the Bacterial Diversity Metadatabase Archived 2017-02-02 at the Wayback Machine
This article is issued from Wmcloud. The text is licensed under Creative Commons - Attribution - Sharealike. Additional terms may apply for the media files.