Mycobacterium malmoense
| Mycobacterium malmoense | |
|---|---|
| Scientific classification | |
| Domain: | Bacteria |
| Phylum: | Actinomycetota |
| Class: | Actinomycetia |
| Order: | Mycobacteriales |
| Family: | Mycobacteriaceae |
| Genus: | Mycobacterium |
| Species: | M. malmoense |
| Binomial name | |
| Mycobacterium malmoense Schroder and Juhlin 1977, ATCC 29571 | |
Mycobacterium malmoense is a Gram-positive bacterium from the genus Mycobacterium.
Description
Gram-positive, nonmotile, acid-fast and coccoid to short rods.
- Environmental reservoir: soil and water.
Colony characteristics
- Smooth and nonpigmented colonies, growth below the surface of semisolid agar medium after deep inoculation (as seen with M. bovis), 0.9 - 1.7mm in diameter.
Physiology
- Growth on inspissated egg medium and oleic acid-albumin agar at a temperature range of 22 °C-37 °C requires over 1 week.
- Susceptible to ethambutol, ethionamide, kanamycin and cycloserine.
Differential characteristics
Type strain
Strain ATCC 29571 = CCUG 37761 = CIP 105775 = DSM 44163 = JCM 13391 = NCTC 11298.
Etymology
From the city of Malmö, Sweden where the strain used for the description was isolated from patients.
Infection

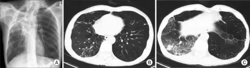
a-c)Lung disease due to Mycobacterium malmoense
- Usually infects young children with cervical lymphadenitis or adults with chronic pulmonary disease, (mostly with previously documented pneumoconiosis).
- Rarely causes extrapulmonary diseases and disseminated infections
- The first case of infectious endocarditis by M. malmoense was reported in 2020 in Cali, Colombia. The patient was a 61-year old woman with a history of biological mitral valve replacement due to rheumatic disease, dermatomyositis and rheumatoid arthritis in management with methotrexate, chloroquine, and prednisolone.[1]
References
- ↑ Posso-Osorio, Iván; Las Salas, Alejandra De; Tobón, Gabriel J.; Sierra-Ruiz, Melibea; Cañas, Carlos A.; Bravo, Juan Carlos; Moncada, Pablo A. (2020). "Mycobacterium malmoense: an unusual pathogen causing endocarditis, a case report and literature review". IDCases. 22: e00999. doi:10.1016/j.idcr.2020.e00999. PMC 7642850. PMID 33194551.
Further reading
- Schroder, K. H.; Juhlin, I. (1977-07-01). "Mycobacterium malmoense sp. nov". International Journal of Systematic Bacteriology. 27 (3): 241–246. doi:10.1099/00207713-27-3-241.
External links
- Type strain of Mycobacterium malmoense at BacDive - the Bacterial Diversity Metadatabase Archived 2016-09-17 at the Wayback Machine
This article is issued from Wmcloud. The text is licensed under Creative Commons - Attribution - Sharealike. Additional terms may apply for the media files.